Добавить в корзинуПозвонить
Найти в Дзене
Оля Чешева

Как подготовиться к установке брекетов

Итак после того как вы оценили стоимость ортодонтического лечения и всех дополнительных расходов. Можно начинать подготовку к установке брекетов. Я бы даже рекомендовала сделать это до консультации с врачом ортодонтом. Наличие снимков уже не первой консультации (панорамный, ТРГ, КТ), поможет ортодонту провести более точную диагностику и составить детальный план лечения. Эти же снимки помогут вам в дальнейшей подготовке. Любой грамотный врач ортодонт порекомендует вам перед установкой брекетов пролечить все зубы, с которыми есть проблемы, например кариес, пульпит, кисты. Конечно же лечить зубы можно и в процессе ортодонтического лечения, так как часто бывают случаи, когда в полностью здоровых зубах в процессе лечения возникает кариес или другие воспаления, и это придется лечить даже с брекетами, но лучше такого не допускать. Хочу заметить, что лечить зубы вы можете у любого стоматолога-терапевта, в той клинике где вам удобно, а не только в той где принимает ваш врач-ортодонт. И тут вам
Оглавление

Итак после того как вы оценили стоимость ортодонтического лечения и всех дополнительных расходов. Можно начинать подготовку к установке брекетов.

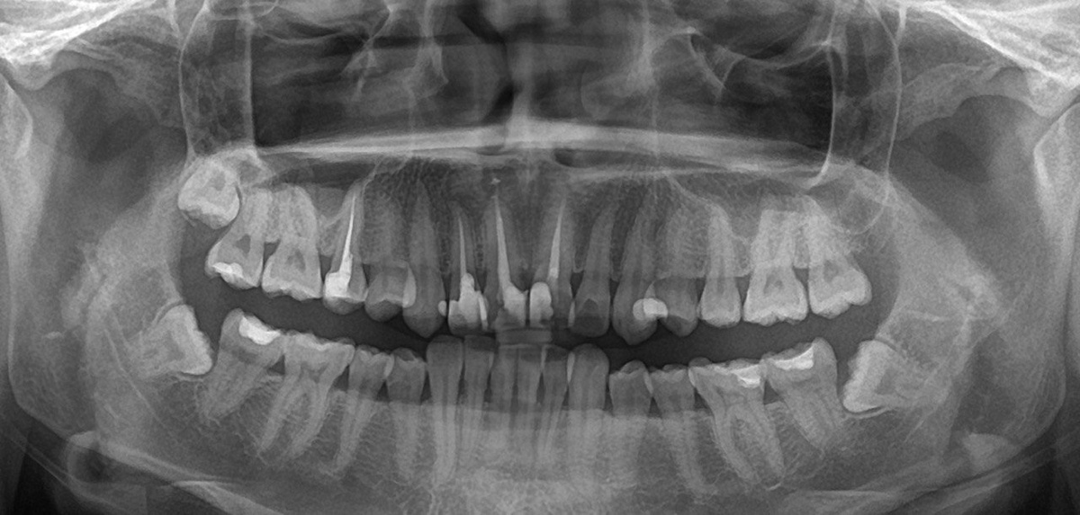
Шаг 1 – диагностические снимки

Я бы даже рекомендовала сделать это до консультации с врачом ортодонтом. Наличие снимков уже не первой консультации (панорамный, ТРГ, КТ), поможет ортодонту провести более точную диагностику и составить детальный план лечения. Эти же снимки помогут вам в дальнейшей подготовке.

-2

Шаг 2 – лечение зубов

Любой грамотный врач ортодонт порекомендует вам перед установкой брекетов пролечить все зубы, с которыми есть проблемы, например кариес, пульпит, кисты. Конечно же лечить зубы можно и в процессе ортодонтического лечения, так как часто бывают случаи, когда в полностью здоровых зубах в процессе лечения возникает кариес или другие воспаления, и это придется лечить даже с брекетами, но лучше такого не допускать.

Хочу заметить, что лечить зубы вы можете у любого стоматолога-терапевта, в той клинике где вам удобно, а не только в той где принимает ваш врач-ортодонт.

-3

Шаг 3 – удаление восьмерок (зубов мудрости)

И тут вам опять же пригодятся снимки, которые вы сделали на первом этапе. На личном опыте я вам порекомендую с вопросом удаления зубов обратиться в первую очередь к хирургу-стоматологу в государственную поликлинику. В некоторых случаях зубы мудрости вам могут удалить по полису ОМС, это поможет сэкономить круглую сумму денег. Хочу предупредить, что не все государственные стоматологии, оказывают такие услуги, но узнать все же стоит.

Шаг 4 – покупка гигиенического инвентаря

Уход за брекетами, требует тщательной гигиены с самого первого дня, и одной зубной щеткой тут не справиться. Постарайтесь перед установкой брекет системы, приобрести все необходимые средства для гигиены зубов, а именно: новая зубная щетка, монопучок, межзубные ёршики разной толщины, объемная вощенная зубная нить, ирригатор и индикатор налета.

И лично от себя добавлю еще одну позицию в список покупок – погружной блендер для готовки пюре и смузи. Сразу, после того как вам установят брекеты, вы будете чувствовать боль в зубах и дискомфорт в челюсти. Эти ощущения продляться несколько дней и будут повторяться после каждого визита к ортодонту. Мягкая пища станет спасением в такие дни.

-4

Шаг 5 – гигиена полости рта

Желательно за день – два, перед установкой брекетов сделать профессиональную чистку зубов у гигиениста. Это необходимо, потому что сцепка брекетов будет лучше на идеально чистой эмали, а это уменьшит риск, что брекет отклеится. Гигиена усилит санацию полости рта, снизит причины возникновения заболевания зубов на ближайшие месяцы.

Это базовые этапы подготовки к началу ортодонтического лечения. Желаю вам легкого ношения брекетов и красивой, здоровой улыбки.