Добавить в корзинуПозвонить
Найти в Дзене
#GlowCook

😱 Опасно для здоровья! Попытка сдержать чих закончилась разрывом пищевода

Не пытайтесь сдержать чих! 😰 34-летний мужчина из Карелии поплатился за это своим здоровьем, получив спонтанный разрыв пищевода. Неудачная Попытка: 🤕 Мужчина попытался сдержать чих, зажав нос пальцами. Диагноз: 🩺 Врачи диагностировали разрыв пищевода. Предупреждение Медиков: ⚠️ Медики категорически не советуют зажимать нос во время чихания. Почему Это Опасно?: 🤯 Сдерживание чихания может привести к: Берегите Себя: 🙏 Не рискуйте своим здоровьем! Позвольте своему телу избавляться от раздражителей естественным путем. Приходилось ли вам сталкиваться с негативными последствиями сдерживания чихания или других естественных процессов в организме? Поделитесь своим опытом в комментариях! 👇

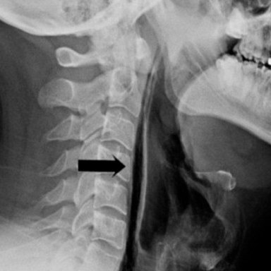
Не пытайтесь сдержать чих! 😰 34-летний мужчина из Карелии поплатился за это своим здоровьем, получив спонтанный разрыв пищевода.

Неудачная Попытка: 🤕

Мужчина попытался сдержать чих, зажав нос пальцами.

  • После чиха он почувствовал резкие толчки в шее и заметил, что она начала опухать.

Диагноз: 🩺

Врачи диагностировали разрыв пищевода.

Предупреждение Медиков: ⚠️

Медики категорически не советуют зажимать нос во время чихания.

  • Это может вызвать серьёзные последствия, включая разрыв аневризмы головного мозга.

Почему Это Опасно?: 🤯

Сдерживание чихания может привести к:

  • Повреждению барабанной перепонки.
  • Разрыву кровеносных сосудов в глазах.
  • Повреждению диафрагмы.
  • Проблемам с сердцем.

Берегите Себя: 🙏

Не рискуйте своим здоровьем! Позвольте своему телу избавляться от раздражителей естественным путем.

Приходилось ли вам сталкиваться с негативными последствиями сдерживания чихания или других естественных процессов в организме? Поделитесь своим опытом в комментариях! 👇