Добавить в корзинуПозвонить
Найти в Дзене
Два Дантиста

Как исключить риск плохого результата после ортодонтического лечения?

В клинику «Два Дантиста» обратилась пациентка с жалобой на результат ортодонтического лечения, которое она проходила в другой клинике. На консультации у Джексенбаевой Зарины Касымкановны, стоматолога-ортодонта, диагностика показала, что при прошлом лечении на брекетах не удалось нормализовать оклюзивную плоскость — показатель в виде условной плоскости, проходящей по жевательным поверхностям зубов верхнего и нижнего рядов при их смыкании. Какие могли быть причины неудачного лечения?  Последствия могут быть связаны с пациентом или врачом. Врачу необходимо составить корректный план лечения, учитывая факторы риска, а пациенту соблюдать все рекомендации. Возможно, изначально был выбран не самый оптимальный метод восстановления, или план требовал корректировки в процессе. Также, если план лечения не учитывает все особенности и не предназначен для решения конкретных проблем пациента, то итог может быть неполным или даже неэффективным Игнорирование указаний врача во время ортодонтического леч

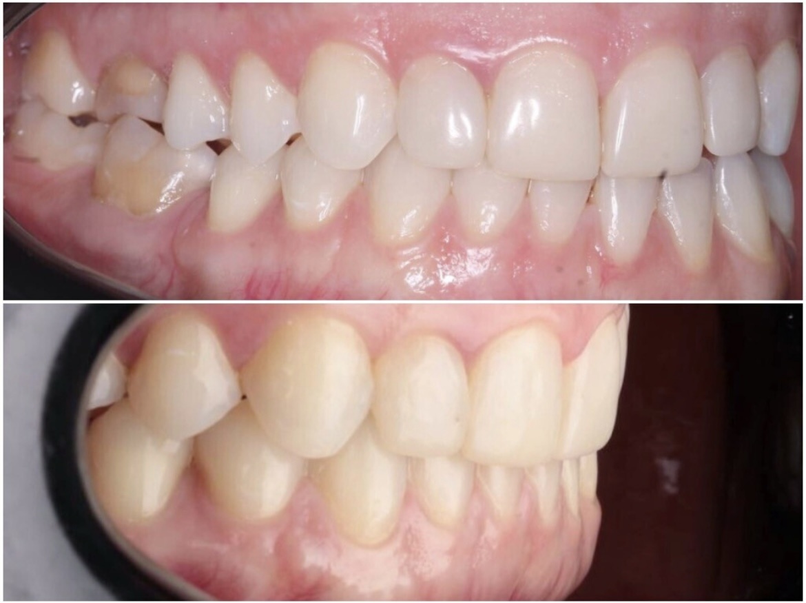
В клинику «Два Дантиста» обратилась пациентка с жалобой на результат ортодонтического лечения, которое она проходила в другой клинике. На консультации у Джексенбаевой Зарины Касымкановны, стоматолога-ортодонта, диагностика показала, что при прошлом лечении на брекетах не удалось нормализовать оклюзивную плоскость — показатель в виде условной плоскости, проходящей по жевательным поверхностям зубов верхнего и нижнего рядов при их смыкании.

Какие могли быть причины неудачного лечения? 

Последствия могут быть связаны с пациентом или врачом. Врачу необходимо составить корректный план лечения, учитывая факторы риска, а пациенту соблюдать все рекомендации.

  • Несоответствие плана лечения:

Возможно, изначально был выбран не самый оптимальный метод восстановления, или план требовал корректировки в процессе.

Также, если план лечения не учитывает все особенности и не предназначен для решения конкретных проблем пациента, то итог может быть неполным или даже неэффективным

  • Невыполнение рекомендаций пациентом:

Игнорирование указаний врача во время ортодонтического лечения может привести к снижению эффективности и увеличению срока лечения, а также к различным осложнениям. 

  • Физиологические особенности:

У некоторых пациентов рост челюстей может влиять на результат ортодонтического лечения. Стоматологу-ортодонту необходимо учитывать этот момент в ходе лечения.

  • Проблемы с зубами или деснами: 

Кариес, пародонтит или другие проблемы с зубами и деснами могут усложнить успешное лечение. Восстановительный процесс станет сложным и болезненным, а также заболевания увеличат риск необходимости удаления зубов.

-2

По данному кейсу Зарина Касымкановна провела лечение с помощью элайнеров и одного мини-винта за 2 года.

Усилия нашего врача и серьезный подход пациентки к лечению: соблюдение всех рекомендаций и исправное ношение эластиков— позволили добиться превосходных результатов:

- правильного перекрытия передних зубов;

- плотных контактов единиц в боковых отделах.

Ортодонты должны иметь специализированную подготовку и образование для практики. Обычно это включает в себя стоматологическую степень и программу ординатуры по ортодонтии. Если у выбранного врача нет соответствующих полномочий, это может быть признаком плохого ортодонта, а значит и итог лечения будет неудовлетворительным.

Записаться в клинику «Два Дантиста» можно через сайт или по тел. 8 (812) 223-43-29