Добавить в корзинуПозвонить
Найти в Дзене
Naked Science

Проказа существовала в Америке задолго до прибытия европейцев

В учебниках истории говорится, что в Новый Свет проказу завезли европейские колонизаторы. Произошло это после открытия Америки Христофором Колумбом в результате так называемого Колумбового обмена — когда между Америкой, Африкой и Старым Светом происходили перемещения растений, животных, культур, человеческих популяций, технологий и болезней. Однако анализ древней ДНК показал, что одна из форм проказы распространилась по двум континентам задолго до экспедиции испанского мореплавателя. Проказа, или лепра, — одно из древнейших инфекционных заболеваний, известных человечеству. Упоминания о нем встречаются в литературных памятниках Китая, Индии, Египта еще до нашей эры. Согласно распространенному мнению, проказой в Америке стали болеть только после прибытия европейцев в XV веке. Именно на колонизаторов возлагали вину за распространение заболевания среди коренных народов. Однако авторы нового исследования, опубликованного в журнале Science, показали, что это не совсем так. Подавляющее больши
   Долгое время считалось, что проказа появилась в Америке только после прибытия европейцев, но авторы нового исследования опровергли это мнение / © Juan Sebastián Gómez-García, MA in Dance Knowledge, Practice and Heritage
Долгое время считалось, что проказа появилась в Америке только после прибытия европейцев, но авторы нового исследования опровергли это мнение / © Juan Sebastián Gómez-García, MA in Dance Knowledge, Practice and Heritage

В учебниках истории говорится, что в Новый Свет проказу завезли европейские колонизаторы. Произошло это после открытия Америки Христофором Колумбом в результате так называемого Колумбового обмена — когда между Америкой, Африкой и Старым Светом происходили перемещения растений, животных, культур, человеческих популяций, технологий и болезней. Однако анализ древней ДНК показал, что одна из форм проказы распространилась по двум континентам задолго до экспедиции испанского мореплавателя.

Проказа, или лепра, — одно из древнейших инфекционных заболеваний, известных человечеству. Упоминания о нем встречаются в литературных памятниках Китая, Индии, Египта еще до нашей эры.

Согласно распространенному мнению, проказой в Америке стали болеть только после прибытия европейцев в XV веке. Именно на колонизаторов возлагали вину за распространение заболевания среди коренных народов. Однако авторы нового исследования, опубликованного в журнале Science, показали, что это не совсем так.

Подавляющее большинство случаев проказы во всем мире вызвано бактерией Mycobacterium leprae. Но в 2008 году команда ученых под руководством профессора медицины Сян-Ян Хана (Xiang-Yang Han) из Техасского университета в США обнаружила второй возбудитель — Mycobacterium lepromatosis — у двух человек из Мексики. Позже эту бактерию находили у жителей США, Канады, Бразилии, Кубы, а также у людей в Сингапуре и Мьянме.

Хан задался вопросом: как давно Mycobacterium lepromatosis существует в Америке и не мог ли патоген присутствовать там еще до прибытия на материки европейских колонизаторов?

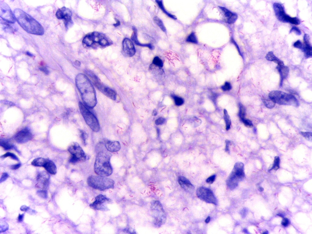
   На синем фоне четко видны розовые палочки – это и есть Mycobacterium leprae, вызывающие болезнь / © Wikimedia
На синем фоне четко видны розовые палочки – это и есть Mycobacterium leprae, вызывающие болезнь / © Wikimedia

Чтобы ответить на вопрос, Хан объединил свои усилия с генетиками из других стран и представителями коренных народов. Исследователи проанализировали древнюю ДНК 389 человек, которые жили на территории Америки до контакта с европейцами. Ученые выявили ДНК Mycobacterium lepromatosis в останках одного человека недалеко от границы Аляски и Канады и двух других на юго-восточном побережье Аргентины. Все эти люди, по данным радиоуглеродного анализа, умерли примерно 1000 лет назад.

Расстояние между находками составило 12 тысяч километров. Геномы бактерий, обнаруженные в разных регионах, немного различались. Это значит, что патоген появился не в одном месте, а затем медленно распространился по континентам (Северная и Южная Америки), а существовал сразу в нескольких местах. То есть проказой болели в разных частях Америки независимо друг от друга.

Хан и его коллеги изучили образцы ДНК людей, которые болеют проказой сегодня, в основном из США и Мексики. После чего данные сравнили с ДНК бактерии Mycobacterium lepromatosis, извлеченной из останков. Таким образом исследователи пытались узнать, насколько сильно изменилась болезнь и какие штаммы продолжают заражать людей прямо сейчас.

Анализ выявил любопытную деталь. Оказалось, что почти все нынешние штаммы Mycobacterium lepromatosis — практически точные копии древнего варианта, с минимальными изменениями. Однако команда Хана нашла и один редкий, более древний штамм у пациента в США. Его не было в образцах, с которыми работали исследователи. Это означает, что в Северной Америке до сих пор циркулируют по крайней мере две разные линии Mycobacterium lepromatosis, которые сосуществуют с Mycobacterium leprae, действительно завезенной европейцами.

Сравнив все имеющиеся данные, команда Хана выяснила, что бактерии типа Mycobacterium lepromatosis стали эволюционировать в Америке почти 10 тысяч лет назад. Примерно три тысячи лет назад одна из линий патогена мутировала и теперь заражает обыкновенных белок (Sciurus vulgaris) в Великобритании и Ирландии. Болезнь вызывает у животных воспаление кожи и язвы.

Кроме того, генетики узнали, что Mycobacterium lepromatosis и Mycobacterium leprae отделились от общего предка 700 тысяч лет назад, но где именно произошло расхождение, пока неизвестно.

Ученые объяснили ключевую разницу между бактериями Mycobacterium lepromatosis и Mycobacterium leprae. Первая поражает кровеносные сосуды, особенно на ногах. В отличие от классической формы проказы, которая бьет по периферической нервной системе и оставляет следы на костях, Mycobacterium lepromatosis вызывает закупорку сосудов, из-за чего кожа начинает отмирать. Это может привести к некрозу, заражению крови и смерти. Патоген способен проникать в печень и селезенку.

Из-за Mycobacterium lepromatosis люди иногда умирают раньше, чем кости успевают проявить типичные для проказы повреждения. Вот почему археологи десятилетиями не могли обнаружить следы проказы на костях жителей доколумбовой Америки.

Во время исследования Хан с коллегами нашли лишь слабо выраженные поражения челюсти жителя Канады, которые могли быть вызваны другими болезнями. На останках из Аргентины ученые вообще не нашли признаков проказы. Установить причину удалось только с помощью ДНК самой бактерии.