Найти в Дзене

Сколько стоит лечить зубы в Москве и как сэкономить?

Очередное посещение стоматолога мне обошлось в 30500 рублей, дорого это или дешёво для Москвы, давайте разбираться. Я был во многих стоматологиях Москвы — как и многие, искал, где дешевле. Но гораздо выгоднее найти своего стоматолога, к которому вы будете всегда ходить, кто делает свою работу качественно, чтобы не пришлось перелечивать один и тот же зуб по сто раз. Поэтому я постоянно хожу в стоматологическую клинику рядом с домом, в районе Вешняки. Световая пломба в этой клинике с обезболивающим уколом стоит около 8 тысяч рублей, в 20 тысяч обошлось переделать зуб, где отошла пломба и выяснилось, что удалённые каналы были некачественно обработаны в государственной поликлинике, куда я пошёл, пытаясь сэкономить... Можно ли бесплатно вылечить кариес в Москве? Да, но... Световая пломба, которая подходит под цвета стоит в государственной поликлинике около 4 тысяч, бесплатно вам поставят пломбу из цемента и вот как она выглядит⬇️ Такая пломба официально прослужит до 3-х лет, тогда как свето
Оглавление

Очередное посещение стоматолога мне обошлось в 30500 рублей, дорого это или дешёво для Москвы, давайте разбираться.

На что ушли деньги?
На что ушли деньги?

Я был во многих стоматологиях Москвы — как и многие, искал, где дешевле. Но гораздо выгоднее найти своего стоматолога, к которому вы будете всегда ходить, кто делает свою работу качественно, чтобы не пришлось перелечивать один и тот же зуб по сто раз. Поэтому я постоянно хожу в стоматологическую клинику рядом с домом, в районе Вешняки.

Световая пломба в этой клинике с обезболивающим уколом стоит около 8 тысяч рублей, в 20 тысяч обошлось переделать зуб, где отошла пломба и выяснилось, что удалённые каналы были некачественно обработаны в государственной поликлинике, куда я пошёл, пытаясь сэкономить...

Стоит ли обращаться в государственную поликлинику?

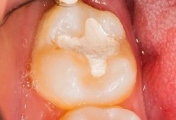
Можно ли бесплатно вылечить кариес в Москве? Да, но... Световая пломба, которая подходит под цвета стоит в государственной поликлинике около 4 тысяч, бесплатно вам поставят пломбу из цемента и вот как она выглядит⬇️

Цементная пломба
Цементная пломба

Такая пломба официально прослужит до 3-х лет, тогда как световая пломба может служить и 10 лет. Цементную пломбу не поставишь на передние зубы и вообще туда, где её будет хорошо видно, ведь она будет сильно выделяться. Да и из-за того, что цементная пломба не очень плотно фиксируется в зубе, смысла ставить её на передние зубы или на внешнюю поверхность зуба нет — она быстро отлетит, и года не пройдёт.

Ещё нужно упомянуть, что если захотите бесплатную анестезию, то её будут вводить толстой иглой, а если платно (стоит около 400 рублей), то уже нормальной маленькой иглой. Как будто намекают, что за бесплатно пациенты должны страдать. Ах, и ещё, чтобы попасть на прием к врачу вы должны заранее взять талончик (онлайн или через терминал), на каждого пациента отводится целых 15 минут, вы только вдумайтесь, что за это время можно сделать? Поэтому врач работает с несколькими пациентами сразу: одному ставит анестезию, пока тот ждёт, когда укол подействует, другому он уже ставит пломбу. О каком качестве тут можно говорить?

Это мы ещё говорим о самом простом лечении, а что если потребуется сделать что-то более серьёзное? Я бы не рисковал лечиться бесплатно в государственной поликлинике, да и платно особо не лучше будет, ведь очередь платных и бесплатных пациентов одна и врачу нужно успеть помочь каждому.

Сколько стоят световые пломбы в Москве?

Световые пломбы абсолютно незаметны на зубах
Световые пломбы абсолютно незаметны на зубах

По данным ГигаЧат средняя стоимость в Москве колеблется от 3000 до 12000 рублей. Минимальная цена в бюджетных стоматологиях стартует от 3000 рублей. Максимальная стоимость отмечается в премиум-клиниках и составляет до 12000 рублей, что обусловлено использованием высококачественных материалов и индивидуального подхода к каждому пациенту.

Но нужно не забывать, что, например, если увидели, что в клинике световая пломба стоит 3000 рублей, а у вас кариес на зубе с двух сторон, то вам могут посчитать лечение как за две пломбы, и вы заплатите уже 6000 рублей. А на запущенном зубе кариес может находиться и в четырёх местах, поэтому уточняйте эту деталь заранее.

Как реально сэкономить на услугах стоматолога?

1) Устраиваемся на работу, где есть расширенный ДМС со стоматологией и забываем о тратах на лечение зубов.

На hh.ru 5266 вакансий за неделю где обещают ДМС с стоматологией
На hh.ru 5266 вакансий за неделю где обещают ДМС с стоматологией

2) Покупаем сами ДМС со стоматологией. Стоимость среднестатистического полиса в 2025 году — 30–70 тыс. руб./год, премиальные варианты — 80–150 тыс. руб. Внимательно читайте условия полисов, там могут быть подвохи. Чем больше видов медицинских услуг включено в страховку, тем выше её стоимость. Например, программа, покрывающая лишь базовые стоматологические процедуры, будет дешевле, чем та, что включает хирургическое вмешательство, протезирование и ортодонтические услуги.

3) Ставим брекеты. Неправильный прикус повышает риск возникновения кариеса. Чем раньше начнёте его исправлять, тем больше сэкономите на лечении зубов.

4) Получаем вычет за лечение зубов.

Вычет 13% (максимум 120 тысяч рублей за год) за лечение зубов могут получить граждане РФ, официально трудоустроенные и уплачивающие налог НДФЛ. Если сам пациент не платит НДФЛ, вычет могут получить его родственники, которые платят НДФЛ (супруги, родители, дети и подопечные лица, находящиеся под опекой).

5) Ходим хотя бы раз в год на профессиональную чистку зубов, которая снижает риск возникновения кариеса (стоит около 8 тысяч в Москве).

Профессиональная чистка зубов — это удаление зубного камня и налёта специалистом-стоматологом с помощью специальных инструментов и аппаратов.

И самое главное, дешевле сразу вылечить маленький кариес на зубе, чем потом платить за несколько пломб или чего ещё похуже. За свои 27 лет я потратил около миллиона на зубы, у меня был неправильный прикус, я поставил брекеты, но поздно, почти на каждом зубе был кариес, который пришлось лечить...

И цифры на закуску, чтобы вы не забывали лечить зубы, пока кариес ещё маленький, цены на лечение в Москве...

Простое лечение:

- Установка простой светоотверждаемой пломбы: 5000–10000₽

Средней сложности лечение:

- Удаление нерва и лечение каналов одного зуба: 8000–15000₽

- Повторное эндодонтическое лечение (перелечивание каналов): 15000–25000₽

- Установить керамический винир: 20000–40000₽

Сложное лечение:

- Микроскопическое лечение сложных случаев: 20000–40000₽

- Изготовление индивидуальной вкладки или штифта: 15000–30000₽

- Имплантация одного зуба: 40000–100000₽, в зависимости от марки имплантата и метода установки.

Очень сложное лечение:

- Протезирование коронкой металлокерамической: 15000–30000₽

- Эстетичная керамическая коронка E-max или Zirconia: 30000–60000₽

- Все виды съемных протезов: 20000–60000₽

- Полностью съёмный протез All-on-4: 300000–600000₽

И это цены ещё в самых бюджетных стоматологиях, другие обычным работягам не светят.