Найти в Дзене

От керамической вкладки до удаления зуба

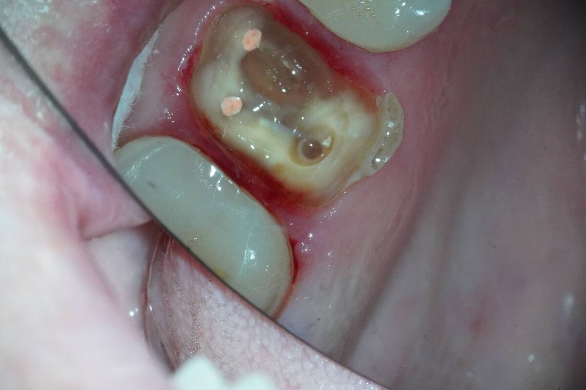
🦷 От керамической вкладки до удаления зуба... Клинический случай: пациентка обратилась с жалобами на изменение цвета 2.6 зуба. По словам пациентки, более 10 лет назад на этом зубе была установлена керамическая вкладка E.max. 🔍 В ходе осмотра выявлены следующие изменения: - Нарушение прилегания вкладки по границе «зуб–вкладка»; - После удаления вкладки обнаружены деструктивные изменения тканей зуба — некротизированные массы, напоминающие резиноподобную консистенцию; - Особенно выраженные изменения между мезиобуккальным 1 и мезиобуккальным 2 каналами (имеются визуальные различия по цвету); - Разрушение твердых тканей ниже уровня краевой кости — сохранить зуб невозможно. 💔 Прогноз — неблагоприятный. Зуб подлежит удалению. В дальнейшем планируется имплантация после достаточной остеорегенерации и подготовки ложа. 📌 Что можно извлечь из этого случая? — Даже качественно установленные керамические вкладки требуют постоянного наблюдения и контроля; — Скрытые изменения внутри зуба могут

🦷

От керамической вкладки до удаления зуба...

Клинический случай: пациентка обратилась с жалобами на изменение цвета 2.6 зуба.

По словам пациентки, более 10 лет назад на этом зубе была установлена керамическая вкладка E.max.

🔍 В ходе осмотра выявлены следующие изменения:

- Нарушение прилегания вкладки по границе «зуб–вкладка»;

- После удаления вкладки обнаружены деструктивные изменения тканей зуба — некротизированные массы, напоминающие резиноподобную консистенцию;

- Особенно выраженные изменения между мезиобуккальным 1 и мезиобуккальным 2 каналами (имеются визуальные различия по цвету);

- Разрушение твердых тканей ниже уровня краевой кости — сохранить зуб невозможно.

💔 Прогноз — неблагоприятный.

Зуб подлежит удалению. В дальнейшем планируется имплантация после достаточной остеорегенерации и подготовки ложа.

📌 Что можно извлечь из этого случая?

— Даже качественно установленные керамические вкладки требуют постоянного наблюдения и контроля;

— Скрытые изменения внутри зуба могут развиваться бессимптомно годами;

— Регулярный рентген-контроль — ключ к раннему выявлению патологии;

— При малейших признаках неадекватного состояния реставрации — необходимо провести диагностику и принять решение своевременно.

💬 Как часто вы сталкиваетесь с такими запущенными случаями под старыми вкладками?

Какие методы диагностики используете в подобных ситуациях?

#стоматология #терапевтическаястоматология #эндодонтия #вкладки #керамическиевкладки #Emax #удалениезуба #имплантация #клиническиеслучаи

В этом посте есть большое видео, которое не загрузилось в Дзен. Откройте оригинал поста в телеграме, чтобы его посмотреть

-2
-3
-4
-5
-6
-7
-8