Найти в Дзене

Разрыв глотки произошел при чихании у жителя Карелии

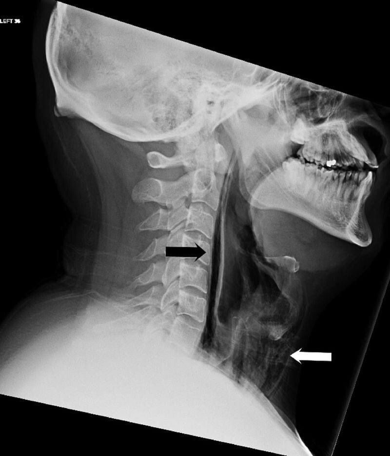
Разрыв глотки /
ГБУЗ "Суоярвская ЦРБ" / VK Мужчина поступил в Суоярвскую ЦРБ с жалобами на острую боль при глотании и на изменения в голосе после сильного чиха. Рентген показал, что у 34-летнего пациента произошел спонтанный разрыв пищевода. Об этом сообщили в паблике ГБУЗ «Суоярвская ЦРБ». «Он попытался сдержать позыв чихнуть, зажав ноздри пальцами, но когда чихнул, то почувствовал толчки в шее и затем обнаружил, что шея опухла. Пациенту сделали рентгенограмму, на которой видно чрезмерное скопление воздуха в мягких тканях шеи перед трахеей. Поставлен диагноз: спонтанный разрыв пищевода. Такая практика зажимать рот и нос, чтобы не чихать, является опасной, и делать этого не следует. К возможным последствиям такого маневра относится эмфизема средостения (аномальное скопление воздуха в анатомическом пространстве в средних отделах грудной полости), перфорация барабанной перепонки и даже разрыв аневризмы головного мозга», — сообщили врачи.

Разрыв глотки /
ГБУЗ "Суоярвская ЦРБ" / VK

Мужчина поступил в Суоярвскую ЦРБ с жалобами на острую боль при глотании и на изменения в голосе после сильного чиха. Рентген показал, что у 34-летнего пациента произошел спонтанный разрыв пищевода. Об этом сообщили в паблике ГБУЗ «Суоярвская ЦРБ».

«Он попытался сдержать позыв чихнуть, зажав ноздри пальцами, но когда чихнул, то почувствовал толчки в шее и затем обнаружил, что шея опухла. Пациенту сделали рентгенограмму, на которой видно чрезмерное скопление воздуха в мягких тканях шеи перед трахеей. Поставлен диагноз: спонтанный разрыв пищевода. Такая практика зажимать рот и нос, чтобы не чихать, является опасной, и делать этого не следует. К возможным последствиям такого маневра относится эмфизема средостения (аномальное скопление воздуха в анатомическом пространстве в средних отделах грудной полости), перфорация барабанной перепонки и даже разрыв аневризмы головного мозга», — сообщили врачи.