Добавить в корзинуПозвонить
Найти в Дзене
Два Дантиста

Какие возможности современных брекет-систем позволяют ускорить лечение?

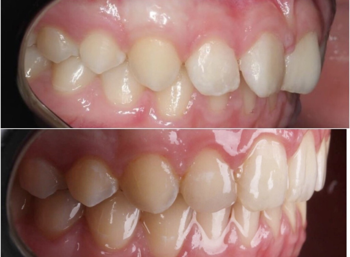
Пациентка обратилась в клинику «Два Дантиста» для исправления прикуса. Не устраивала эстетика, хотелось ровные зубы и гармоничную улыбку. После диагностики и консультации у стоматолога-ортодонта Джексенбаевой Зарины Касымкановны был поставлен диагноз: План лечения предполагал восстановление прикуса на брекет-системе Damon Q. Что такое Damon Q? Damon Q — это брекет-система, которая используется для исправления аномального прикуса. Она представляет собой металлические брекеты с самолигирующей технологией. Это означает, что дужка (проволока, которая помогает двигать зубы) не фиксируется резиновыми кольцами или лигатурами, как в традиционных брекетах. Вместо этого, она вставляется и удерживается специальной крышкой в брекете, что уменьшает трение и делает лечение более эффективным. В чем преимущества брекетов Damon Q? Продолжительность лечения нашей пациентки составила один год. По итогу получилось достичь превосходных результатов, а именно восстановительные манипуляции: Зарина Касымканов

Пациентка обратилась в клинику «Два Дантиста» для исправления прикуса. Не устраивала эстетика, хотелось ровные зубы и гармоничную улыбку.

После диагностики и консультации у стоматолога-ортодонта Джексенбаевой Зарины Касымкановны был поставлен диагноз:

План лечения предполагал восстановление прикуса на брекет-системе Damon Q.

Что такое Damon Q?

Damon Q — это брекет-система, которая используется для исправления аномального прикуса. Она представляет собой металлические брекеты с самолигирующей технологией.

Это означает, что дужка (проволока, которая помогает двигать зубы) не фиксируется резиновыми кольцами или лигатурами, как в традиционных брекетах. Вместо этого, она вставляется и удерживается специальной крышкой в брекете, что уменьшает трение и делает лечение более эффективным.

В чем преимущества брекетов Damon Q?

  • Более быстрое лечение:
  •  Самолигирующая технология позволяет быстрее двигать зубы, что сокращает время лечения в среднем на 6-8 месяцев по сравнению с традиционными брекетами. 
  • Более комфортное лечение:
  •  Отсутствие резиновых колец и лигатур снижает дискомфорт и боль во время лечения. 
  • Уменьшение частоты посещений врача:
  •  Из-за меньшего трения и более эффективного движения зубов, брекеты Damon Q позволяют реже посещать врача для регулировки и замены дужек. 
  • Упрощение гигиены:
  •  Брекеты Damon Q меньше по размеру и имеют гладкую поверхность, что упрощает чистку зубов и снижает риск образования налета. 
  • Более эстетичный вид:
  •  Металлические брекеты Damon Q имеют более тонкий профиль и компактный размер, что делает их менее заметными.
-2

Продолжительность лечения нашей пациентки составила один год. По итогу получилось достичь превосходных результатов, а именно восстановительные манипуляции:

  • скорректировали глубину перекрытия в переднем отделе;
  • сформировали правильные и плотные контакты между верхней и нижней челюстью;
  • закрыли все промежутки между зубов.
-3

Зарина Касымкановна завершила ортодонтическое лечение установкой ретейнеров на нижней и верхней челюсти. Эти специальные полоски в виде проволочки фиксируют положение зубов и удерживают результат в течение долгого времени.

Вот так ортодонтическое лечение улучшает эстетику и исправляет прикус, что уменьшает риск возникновения кариеса, травм, заболеваний десен. А новые технологии в производстве брекет-систем позволяют делать восстановительный процесс быстрее. 

Записаться в клинику «Два Дантиста» можно через сайт или по тел. 8 (812) 223-43-29