Π”ΠΎΠ±Π°Π²ΠΈΡ‚ΡŒ Π² ΠΊΠΎΡ€Π·ΠΈΠ½ΡƒΠŸΠΎΠ·Π²ΠΎΠ½ΠΈΡ‚ΡŒ
Найти Π² Π”Π·Π΅Π½Π΅
Π”Π½Π΅Π²Π½ΠΈΠΊ ДСсантника

πŸ“† Π•ΠΆΠ΅Π½Π΅Π΄Π΅Π»ΡŒΠ½Π°Ρ авторская ΠΊΠΎΠ»ΠΎΠ½ΠΊΠ°

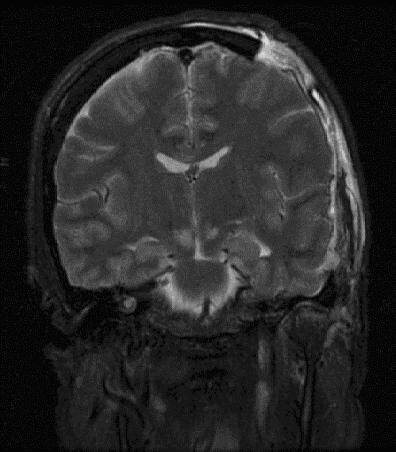
πŸ“† Π•ΠΆΠ΅Π½Π΅Π΄Π΅Π»ΡŒΠ½Π°Ρ авторская ΠΊΠΎΠ»ΠΎΠ½ΠΊΠ°; ⚑️ РуководитСля ΠΏΡ€ΠΎΠ΅ΠΊΡ‚Π° "ΠšΡƒΡ€ΡΡ‹ тактичСской ΠΌΠ΅Π΄ΠΈΡ†ΠΈΠ½Ρ‹" с ΠΏΠΎΠ·Ρ‹Π²Π½Ρ‹ΠΌ "Π›Π°Ρ‚Ρ‹Ρˆ"; πŸͺ‚ Π‘ΠΏΠ΅Ρ†ΠΈΠ°Π»ΡŒΠ½ΠΎ для ΠΊΠ°Π½Π°Π»Π° Π”Π½Π΅Π²Π½ΠΈΠΊ Π”Π΅ΡΠ°Π½Ρ‚Π½ΠΈΠΊΠ°πŸ‡·πŸ‡Ί Π’ΠΊΠ»ΠΈΠ½Π΅Π½ΠΈΠ΅ Π³ΠΎΠ»ΠΎΠ²Π½ΠΎΠ³ΠΎ ΠΌΠΎΠ·Π³Π° β€” это ΠΆΠΈΠ·Π½Π΅ΡƒΠ³Ρ€ΠΎΠΆΠ°ΡŽΡ‰Π΅Π΅ состояниС, Π²ΠΎΠ·Π½ΠΈΠΊΠ°ΡŽΡ‰Π΅Π΅ ΠΏΡ€ΠΈ смСщСнии структур ΠΌΠΎΠ·Π³Π° Ρ‡Π΅Ρ€Π΅Π· СстСствСнныС отвСрстия Ρ‡Π΅Ρ€Π΅ΠΏΠ° вслСдствиС Ρ€Π΅Π·ΠΊΠΎΠ³ΠΎ ΠΏΠΎΠ²Ρ‹ΡˆΠ΅Π½ΠΈΡ Π²Π½ΡƒΡ‚Ρ€ΠΈΡ‡Π΅Ρ€Π΅ΠΏΠ½ΠΎΠ³ΠΎ давлСния (Π’Π§Π”). Оно развиваСтся ΠΏΡ€ΠΈ Ρ‡Π΅Ρ€Π΅ΠΏΠ½ΠΎ-ΠΌΠΎΠ·Π³ΠΎΠ²Ρ‹Ρ… Ρ‚Ρ€Π°Π²ΠΌΠ°Ρ…, опухолях, кровоизлияниях ΠΈΠ»ΠΈ ΠΎΡ‚Π΅ΠΊΠ΅ ΠΌΠΎΠ·Π³Π° ΠΈ Ρ‚Ρ€Π΅Π±ΡƒΠ΅Ρ‚ Π½Π΅ΠΌΠ΅Π΄Π»Π΅Π½Π½ΠΎΠ³ΠΎ Π²ΠΌΠ΅ΡˆΠ°Ρ‚Π΅Π»ΡŒΡΡ‚Π²Π° для прСдотвращСния Π½Π΅ΠΎΠ±Ρ€Π°Ρ‚ΠΈΠΌΡ‹Ρ… ΠΏΠΎΠ²Ρ€Π΅ΠΆΠ΄Π΅Π½ΠΈΠΉ ствола ΠΌΠΎΠ·Π³Π° ΠΈ смСрти. ΠšΠ»ΡŽΡ‡Π΅Π²Ρ‹ΠΌΠΈ ΠΏΡ€ΠΈΠ·Π½Π°ΠΊΠ°ΠΌΠΈ вклинСния ΡΠ²Π»ΡΡŽΡ‚ΡΡ ΠΏΡ€ΠΎΠ³Ρ€Π΅ΡΡΠΈΡ€ΡƒΡŽΡ‰Π΅Π΅ ΡƒΠ³Π½Π΅Ρ‚Π΅Π½ΠΈΠ΅ сознания: ΠΎΡ‚ спутанности Π΄ΠΎ ΠΊΠΎΠΌΡ‹, ΡΠΎΠΏΡ€ΠΎΠ²ΠΎΠΆΠ΄Π°ΡŽΡ‰Π΅Π΅ΡΡ Π°Π½ΠΈΠ·ΠΎΠΊΠΎΡ€ΠΈΠ΅ΠΉ (Π½Π΅Ρ€Π°Π²Π½ΠΎΠΌΠ΅Ρ€Π½Ρ‹ΠΌ Ρ€Π°ΡΡˆΠΈΡ€Π΅Π½ΠΈΠ΅ΠΌ Π·Ρ€Π°Ρ‡ΠΊΠΎΠ²), ΠΏΡ€ΠΈΡ‡Π΅ΠΌ Π·Ρ€Π°Ρ‡ΠΎΠΊ Π½Π° сторонС пораТСния пСрСстаСт Ρ€Π΅Π°Π³ΠΈΡ€ΠΎΠ²Π°Ρ‚ΡŒ Π½Π° свСт. Π₯Π°Ρ€Π°ΠΊΡ‚Π΅Ρ€Π½Ρ‹ патологичСскиС Ρ‚ΠΈΠΏΡ‹ дыхания (Π§Π΅ΠΉΠ½Π°-Бтокса, апнСйстичСскоС), брадикардия Π½Π° Ρ„ΠΎΠ½Π΅ Π³ΠΈΠΏΠ΅Ρ€Ρ‚Π΅Π½Π·ΠΈΠΈ (Β«Ρ‚Ρ€ΠΈΠ°Π΄Π° ΠšΡƒΡˆΠΈΠ½Π³Π°Β»), Π° Ρ‚Π°ΠΊΠΆΠ΅ Ρ€ΠΈΠ³ΠΈΠ΄Π½ΠΎΡΡ‚ΡŒ Π·Π°Ρ‚Ρ‹Π»ΠΎΡ‡Π½Ρ‹Ρ… ΠΌΡ‹ΡˆΡ† ΠΈ дСкортикационная/дСцСрСбрационная ΠΏΠΎΠ·Π° (нССстСствСнноС ΠΏΠΎΠ»ΠΎΠΆΠ΅Π½ΠΈ

πŸ“† Π•ΠΆΠ΅Π½Π΅Π΄Π΅Π»ΡŒΠ½Π°Ρ авторская ΠΊΠΎΠ»ΠΎΠ½ΠΊΠ°;

⚑️ РуководитСля ΠΏΡ€ΠΎΠ΅ΠΊΡ‚Π° "ΠšΡƒΡ€ΡΡ‹ тактичСской ΠΌΠ΅Π΄ΠΈΡ†ΠΈΠ½Ρ‹" с ΠΏΠΎΠ·Ρ‹Π²Π½Ρ‹ΠΌ "Π›Π°Ρ‚Ρ‹Ρˆ";

πŸͺ‚ Π‘ΠΏΠ΅Ρ†ΠΈΠ°Π»ΡŒΠ½ΠΎ для ΠΊΠ°Π½Π°Π»Π° Π”Π½Π΅Π²Π½ΠΈΠΊ Π”Π΅ΡΠ°Π½Ρ‚Π½ΠΈΠΊΠ°πŸ‡·πŸ‡Ί

Π’ΠΊΠ»ΠΈΠ½Π΅Π½ΠΈΠ΅ Π³ΠΎΠ»ΠΎΠ²Π½ΠΎΠ³ΠΎ ΠΌΠΎΠ·Π³Π° β€” это ΠΆΠΈΠ·Π½Π΅ΡƒΠ³Ρ€ΠΎΠΆΠ°ΡŽΡ‰Π΅Π΅ состояниС, Π²ΠΎΠ·Π½ΠΈΠΊΠ°ΡŽΡ‰Π΅Π΅ ΠΏΡ€ΠΈ смСщСнии структур ΠΌΠΎΠ·Π³Π° Ρ‡Π΅Ρ€Π΅Π· СстСствСнныС отвСрстия Ρ‡Π΅Ρ€Π΅ΠΏΠ° вслСдствиС Ρ€Π΅Π·ΠΊΠΎΠ³ΠΎ ΠΏΠΎΠ²Ρ‹ΡˆΠ΅Π½ΠΈΡ Π²Π½ΡƒΡ‚Ρ€ΠΈΡ‡Π΅Ρ€Π΅ΠΏΠ½ΠΎΠ³ΠΎ давлСния (Π’Π§Π”). Оно развиваСтся ΠΏΡ€ΠΈ Ρ‡Π΅Ρ€Π΅ΠΏΠ½ΠΎ-ΠΌΠΎΠ·Π³ΠΎΠ²Ρ‹Ρ… Ρ‚Ρ€Π°Π²ΠΌΠ°Ρ…, опухолях, кровоизлияниях ΠΈΠ»ΠΈ ΠΎΡ‚Π΅ΠΊΠ΅ ΠΌΠΎΠ·Π³Π° ΠΈ Ρ‚Ρ€Π΅Π±ΡƒΠ΅Ρ‚ Π½Π΅ΠΌΠ΅Π΄Π»Π΅Π½Π½ΠΎΠ³ΠΎ Π²ΠΌΠ΅ΡˆΠ°Ρ‚Π΅Π»ΡŒΡΡ‚Π²Π° для прСдотвращСния Π½Π΅ΠΎΠ±Ρ€Π°Ρ‚ΠΈΠΌΡ‹Ρ… ΠΏΠΎΠ²Ρ€Π΅ΠΆΠ΄Π΅Π½ΠΈΠΉ ствола ΠΌΠΎΠ·Π³Π° ΠΈ смСрти. ΠšΠ»ΡŽΡ‡Π΅Π²Ρ‹ΠΌΠΈ ΠΏΡ€ΠΈΠ·Π½Π°ΠΊΠ°ΠΌΠΈ вклинСния ΡΠ²Π»ΡΡŽΡ‚ΡΡ ΠΏΡ€ΠΎΠ³Ρ€Π΅ΡΡΠΈΡ€ΡƒΡŽΡ‰Π΅Π΅ ΡƒΠ³Π½Π΅Ρ‚Π΅Π½ΠΈΠ΅ сознания: ΠΎΡ‚ спутанности Π΄ΠΎ ΠΊΠΎΠΌΡ‹, ΡΠΎΠΏΡ€ΠΎΠ²ΠΎΠΆΠ΄Π°ΡŽΡ‰Π΅Π΅ΡΡ Π°Π½ΠΈΠ·ΠΎΠΊΠΎΡ€ΠΈΠ΅ΠΉ (Π½Π΅Ρ€Π°Π²Π½ΠΎΠΌΠ΅Ρ€Π½Ρ‹ΠΌ Ρ€Π°ΡΡˆΠΈΡ€Π΅Π½ΠΈΠ΅ΠΌ Π·Ρ€Π°Ρ‡ΠΊΠΎΠ²), ΠΏΡ€ΠΈΡ‡Π΅ΠΌ Π·Ρ€Π°Ρ‡ΠΎΠΊ Π½Π° сторонС пораТСния пСрСстаСт Ρ€Π΅Π°Π³ΠΈΡ€ΠΎΠ²Π°Ρ‚ΡŒ Π½Π° свСт. Π₯Π°Ρ€Π°ΠΊΡ‚Π΅Ρ€Π½Ρ‹ патологичСскиС Ρ‚ΠΈΠΏΡ‹ дыхания (Π§Π΅ΠΉΠ½Π°-Бтокса, апнСйстичСскоС), брадикардия Π½Π° Ρ„ΠΎΠ½Π΅ Π³ΠΈΠΏΠ΅Ρ€Ρ‚Π΅Π½Π·ΠΈΠΈ (Β«Ρ‚Ρ€ΠΈΠ°Π΄Π° ΠšΡƒΡˆΠΈΠ½Π³Π°Β»), Π° Ρ‚Π°ΠΊΠΆΠ΅ Ρ€ΠΈΠ³ΠΈΠ΄Π½ΠΎΡΡ‚ΡŒ Π·Π°Ρ‚Ρ‹Π»ΠΎΡ‡Π½Ρ‹Ρ… ΠΌΡ‹ΡˆΡ† ΠΈ дСкортикационная/дСцСрСбрационная ΠΏΠΎΠ·Π° (нССстСствСнноС ΠΏΠΎΠ»ΠΎΠΆΠ΅Π½ΠΈΠ΅ конСчностСй). ΠŸΡ€ΠΈ Ρ‚Ρ€Π°Π½ΡΡ‚Π΅Π½Ρ‚ΠΎΡ€ΠΈΠ°Π»ΡŒΠ½ΠΎΠΌ Π²ΠΊΠ»ΠΈΠ½Π΅Π½ΠΈΠΈ часто Π½Π°Π±Π»ΡŽΠ΄Π°Π΅Ρ‚ΡΡ Π³Π΅ΠΌΠΈΠΏΠ°Ρ€Π΅Π· Π½Π° сторонС, ΠΏΡ€ΠΎΡ‚ΠΈΠ²ΠΎΠΏΠΎΠ»ΠΎΠΆΠ½ΠΎΠΉ ΠΏΠΎΡ€Π°ΠΆΠ΅Π½ΠΈΡŽ, Π° ΠΏΡ€ΠΈ Π²ΠΊΠ»ΠΈΠ½Π΅Π½ΠΈΠΈ ΠΌΠΈΠ½Π΄Π°Π»ΠΈΠ½ ΠΌΠΎΠ·ΠΆΠ΅Ρ‡ΠΊΠ° Π² большоС Π·Π°Ρ‚Ρ‹Π»ΠΎΡ‡Π½ΠΎΠ΅ отвСрстиС β€” остановка дыхания ΠΈΠ·-Π·Π° компрСссии ΠΏΡ€ΠΎΠ΄ΠΎΠ»Π³ΠΎΠ²Π°Ρ‚ΠΎΠ³ΠΎ ΠΌΠΎΠ·Π³Π°.

ЭкстрСнныС ΠΌΠ΅Ρ€Ρ‹ Π½Π°ΠΏΡ€Π°Π²Π»Π΅Π½Ρ‹ Π½Π° сниТСниС Π’Π§Π” ΠΈ ΡΡ‚Π°Π±ΠΈΠ»ΠΈΠ·Π°Ρ†ΠΈΡŽ Π²ΠΈΡ‚Π°Π»ΡŒΠ½Ρ‹Ρ… Ρ„ΡƒΠ½ΠΊΡ†ΠΈΠΉ. Π’ ΠΏΠΎΠ»Π΅Π²Ρ‹Ρ… условиях, Π²ΠΊΠ»ΡŽΡ‡Π°Ρ Π·ΠΎΠ½Ρƒ Π‘Π’Πž, Π½Π΅ΠΌΠ΅Π΄Π»Π΅Π½Π½ΠΎ ΠΏΡ€ΠΈΠ΄Π°ΡŽΡ‚ ΠΏΠ°Ρ†ΠΈΠ΅Π½Ρ‚Ρƒ ΠΏΠΎΠ»ΠΎΠΆΠ΅Π½ΠΈΠ΅ с приподнятым Π³ΠΎΠ»ΠΎΠ²Π½Ρ‹ΠΌ ΠΊΠΎΠ½Ρ†ΠΎΠΌ Π½Π° 30 градусов, ΠΎΠ±Π΅ΡΠΏΠ΅Ρ‡ΠΈΠ²Π°ΡŽΡ‚ ΠΏΡ€ΠΎΡ…ΠΎΠ΄ΠΈΠΌΠΎΡΡ‚ΡŒ Π΄Ρ‹Ρ…Π°Ρ‚Π΅Π»ΡŒΠ½Ρ‹Ρ… ΠΏΡƒΡ‚Π΅ΠΉ ΠΈ ΠΎΠΊΡΠΈΠ³Π΅Π½Π°Ρ†ΠΈΡŽ (цСлСвая сатурация β‰₯95%). ΠŸΡ€ΠΈ отсутствии ΠΏΡ€ΠΎΡ‚ΠΈΠ²ΠΎΠΏΠΎΠΊΠ°Π·Π°Π½ΠΈΠΉ вводят осмотичСскиС Π΄ΠΈΡƒΡ€Π΅Ρ‚ΠΈΠΊΠΈ: ΠΌΠ°Π½Π½ΠΈΡ‚ΠΎΠ» 1–1,5 Π³/ΠΊΠ³ Π²Π½ΡƒΡ‚Ρ€ΠΈΠ²Π΅Π½Π½ΠΎ капСльно Π² Ρ‚Π΅Ρ‡Π΅Π½ΠΈΠ΅ 20 ΠΌΠΈΠ½ΡƒΡ‚ ΠΈΠ»ΠΈ гипСртоничСский раствор NaCl 3% (5 ΠΌΠ»/ΠΊΠ³). Π­Ρ‚ΠΈ ΠΏΡ€Π΅ΠΏΠ°Ρ€Π°Ρ‚Ρ‹ ΡƒΠΌΠ΅Π½ΡŒΡˆΠ°ΡŽΡ‚ ΠΎΡ‚Π΅ΠΊ Π·Π° счСт вывСдСния Тидкости ΠΈΠ· ΠΌΠΎΠ·Π³Π° Π² сосудистоС русло. ΠŸΠ°Ρ€Π°Π»Π»Π΅Π»ΡŒΠ½ΠΎ ΠΏΡ€ΠΈΠΌΠ΅Π½ΡΡŽΡ‚ Π³Π»ΡŽΠΊΠΎΠΊΠΎΡ€Ρ‚ΠΈΠΊΠΎΠΈΠ΄Ρ‹ (дСксамСтазон 8–16 ΠΌΠ³) ΠΏΡ€ΠΈ ΠΏΠΎΠ΄ΠΎΠ·Ρ€Π΅Π½ΠΈΠΈ Π½Π° ΠΎΠΏΡƒΡ…ΠΎΠ»Π΅Π²Ρ‹ΠΉ Π³Π΅Π½Π΅Π· вклинСния. Для купирования судорог вводят Π»ΠΎΡ€Π°Π·Π΅ΠΏΠ°ΠΌ (4 ΠΌΠ³) ΠΈΠ»ΠΈ Π΄ΠΈΠ°Π·Π΅ΠΏΠ°ΠΌ (10 ΠΌΠ³).

ΠšΡ€Π°ΠΉΠ½Π΅ Π²Π°ΠΆΠ½Π° быстрая эвакуация Π² нСйрохирургичСский стационар. Π’ ΠΏΡƒΡ‚ΠΈ ΠΏΡ€ΠΎΠ΄ΠΎΠ»ΠΆΠ°ΡŽΡ‚ ΠΌΠΎΠ½ΠΈΡ‚ΠΎΡ€ΠΈΠ½Π³ АД (Ρ†Π΅Π»Π΅Π²ΠΎΠ΅ систоличСскоС 110–150 ΠΌΠΌ Ρ€Ρ‚. ст.), Π§Π‘Π‘ ΠΈ уровня сознания ΠΏΠΎ шкалС Π“Π»Π°Π·Π³ΠΎ. Π˜Π·Π±Π΅Π³Π°ΡŽΡ‚ гипСрвСнтиляции β€” ΠΎΠ½Π° допустима Ρ‚ΠΎΠ»ΡŒΠΊΠΎ ΠΊΡ€Π°Ρ‚ΠΊΠΎΠ²Ρ€Π΅ΠΌΠ΅Π½Π½ΠΎ (PaCO2 28–32 ΠΌΠΌ Ρ€Ρ‚. ст.) ΠΏΡ€ΠΈ ΠΏΡ€ΠΈΠ·Π½Π°ΠΊΠ°Ρ… дислокации ствола ΠΌΠΎΠ·Π³Π°. ΠŸΡ€ΠΎΡ‚ΠΈΠ²ΠΎΠΏΠΎΠΊΠ°Π·Π°Π½Ρ‹ сСдативныС ΠΏΡ€Π΅ΠΏΠ°Ρ€Π°Ρ‚Ρ‹, ΠΌΠ°ΡΠΊΠΈΡ€ΡƒΡŽΡ‰ΠΈΠ΅ Π½Π΅Π²Ρ€ΠΎΠ»ΠΎΠ³ΠΈΡ‡Π΅ΡΠΊΡƒΡŽ симптоматику, ΠΈ избыточная инфузионная Π½Π°Π³Ρ€ΡƒΠ·ΠΊΠ°, ΡƒΡΠΈΠ»ΠΈΠ²Π°ΡŽΡ‰Π°Ρ ΠΎΡ‚Π΅ΠΊ.

ΠžΠΏΡ‹Ρ‚ Π‘Π’Πž ΠΏΠΎΠΊΠ°Π·Ρ‹Π²Π°Π΅Ρ‚, Ρ‡Ρ‚ΠΎ ΠΏΡ€ΠΈ своСврСмСнном Π²Π²Π΅Π΄Π΅Π½ΠΈΠΈ ΠΌΠ°Π½Π½ΠΈΡ‚ΠΎΠ»Π° ΠΈ экстрСнной эвакуации Π²Ρ‹ΠΆΠΈΠ²Π°Π΅ΠΌΠΎΡΡ‚ΡŒ ΠΏΠΎΠ²Ρ‹ΡˆΠ°Π΅Ρ‚ΡΡ Π½Π° 35%. Однако Π² 2023 Π³ΠΎΠ΄Ρƒ 40% Π»Π΅Ρ‚Π°Π»ΡŒΠ½Ρ‹Ρ… исходов Π±Ρ‹Π»ΠΈ связаны с Π·Π°Π΄Π΅Ρ€ΠΆΠΊΠΎΠΉ диагностики ΠΈΠ·-Π·Π° схоТСсти симптомов с Π΄Ρ€ΡƒΠ³ΠΈΠΌΠΈ состояниями (Π½Π°ΠΏΡ€ΠΈΠΌΠ΅Ρ€, Π³ΠΈΠΏΠΎΠ³Π»ΠΈΠΊΠ΅ΠΌΠΈΠ΅ΠΉ). ΠŸΠΎΡΡ‚ΠΎΠΌΡƒ Π°Π»Π³ΠΎΡ€ΠΈΡ‚ΠΌΡ‹ тактичСской ΠΌΠ΅Π΄ΠΈΡ†ΠΈΠ½Ρ‹ Ρ‚Ρ€Π΅Π±ΡƒΡŽΡ‚ Π½Π΅ΠΌΠ΅Π΄Π»Π΅Π½Π½ΠΎΠ³ΠΎ ΠΈΡΠΊΠ»ΡŽΡ‡Π΅Π½ΠΈΡ вклинСния ΠΏΡ€ΠΈ любой ЧМВ с ΠΏΠΎΡ‚Π΅Ρ€Π΅ΠΉ сознания. Π’Π½Π΅Π΄Ρ€Π΅Π½ΠΈΠ΅ ΠΏΠΎΡ€Ρ‚Π°Ρ‚ΠΈΠ²Π½Ρ‹Ρ… Π½Π΅ΠΉΡ€ΠΎΠΌΠΎΠ½ΠΈΡ‚ΠΎΡ€ΠΎΠ², ΠΈΠ·ΠΌΠ΅Ρ€ΡΡŽΡ‰ΠΈΡ… Π’Π§Π”, Π² экипировку ΠΌΠ΅Π΄ΠΈΠΊΠΎΠ² Π’Π‘ Π Π€ сократило врСмя Π΄ΠΎ Π½Π°Ρ‡Π°Π»Π° Ρ‚Π΅Ρ€Π°ΠΏΠΈΠΈ Π΄ΠΎ 15 ΠΌΠΈΠ½ΡƒΡ‚, Ρ‡Ρ‚ΠΎ критичСски Π²Π°ΠΆΠ½ΠΎ: ΠΊΠ°ΠΆΠ΄Ρ‹Π΅ 30 ΠΌΠΈΠ½ΡƒΡ‚ Π·Π°Π΄Π΅Ρ€ΠΆΠΊΠΈ ΡƒΠ²Π΅Π»ΠΈΡ‡ΠΈΠ²Π°ΡŽΡ‚ ΡΠΌΠ΅Ρ€Ρ‚Π½ΠΎΡΡ‚ΡŒ Π½Π° 50%.

⚑️⚑️⚑️⚑️

Π”Π½Π΅Π²Π½ΠΈΠΊ ДСсантника

ΠŸΠΎΠ΄ΠΏΠΈΡΠ°Ρ‚ΡŒΡΡ