Найти в Дзене

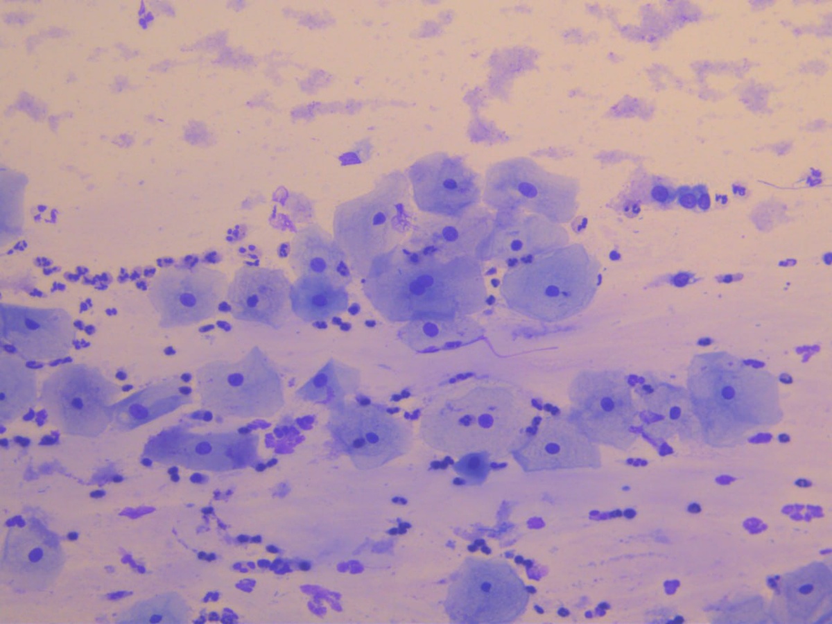
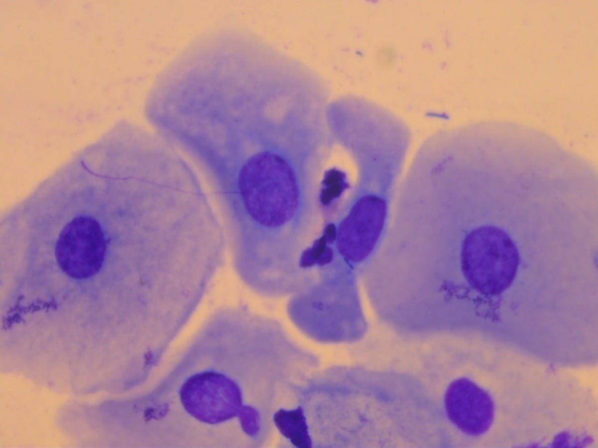
Традиционный цервикальный препарат от пациентки с LSIL и ВПЧ

Традиционный цервикальный препарат от пациентки с LSIL и ВПЧ #назаметку #цитология #цервикальнаяцитология

Традиционный цервикальный препарат от пациентки с LSIL и ВПЧ

#назаметку #цитология #цервикальнаяцитология

-2
-3
-4
-5
-6
-7
-8