Найти в Дзене

💎 Идеальная улыбка за 3 приёма на элайнерах — за 8 месяцев! 💥

Оглавление

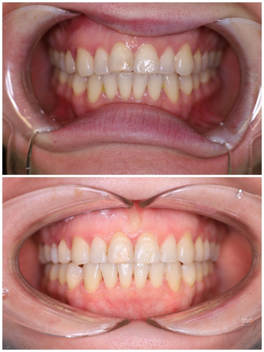
👧 Пациентка обратилась к нам с открытым прикусом — передние зубы не смыкались, а улыбка казалась неестественной.

Мы составили индивидуальный план лечения, и уже через 8 месяцев результат говорит сам за себя!

📸 На фото — до и после. Разница впечатляет, правда?

Что сделали:

  • ✅ 1 приём — диагностика, 3D-сканирование, план лечения, выдача элайнеров и подробный инструктаж.
  • ✅ 2 приём — контроль результата
  • ✅ 3 приём — фиксация результата, финальные фото и, конечно, счастливая улыбка!

✨ Элайнеры справились там, где раньше были нужны только брекеты.

💯 Без боли, без комплексов, без лишних визитов.

Что получили за 8 месяцев:

  • — Ровные зубы
  • — Закрытый прикус
  • — Уверенность в себе и открытая, искренняя улыбка

🌟 Удобно. Быстро. Эффективно.

А главное — почти незаметно для окружающих.

📩 Хочешь такой же результат? Сделай первый шаг навстречу улыбке своей мечты!

  • ☎️ 8 (495) 134-50-90
  • 📞 8 (916) 000-85-53

👪 С любовью и заботой о вас и ваших детях, ваш любимый ортодонт и главный врач клиники СИЛК-СМАЙЛ, Елена Лещук❣️

#силксмаил #советотеленылещук #советотсилксмаил #еленалещук