Найти в Дзене
Два Дантиста

Как происходит имплантация при уменьшении объема десны?

В клинику «Два Дантиста» обратился пациент, молодой парень, для восстановления отсутствующего зуба и с жалобой на эстетику улыбки.  Диагностика показала некоторую убыль десневых тканей в месте недостающей единицы, поэтому вместе с протезированием на имплантате план лечения также предполагал процедуру пластики десны. После подготовительных терапевтических манипуляций, а именно профессиональной гигиены, лечения зубов от кариеса, а также g, стоматолог-хирург приступил к проведению имплантации и процедур пластики десны. Как проводилась пластика десны? Пластика десны может быть проведена до, во время или после имплантации. Так как у нашего пациента изначально был диагностирован дефицит десневой ткани, то хирург-имплантолог скорректировал десну одновременно с процессом установки имплантата. Сама операция предполагала лоскутный метод пластики: хирург создает лоскут десневой ткани и перемещает его на область, где нужно увеличить объем или восстановить контур.  Почему важна пластика десны п

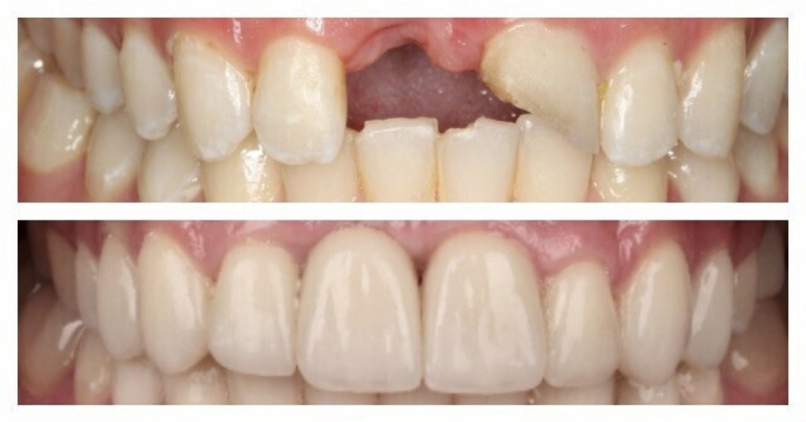
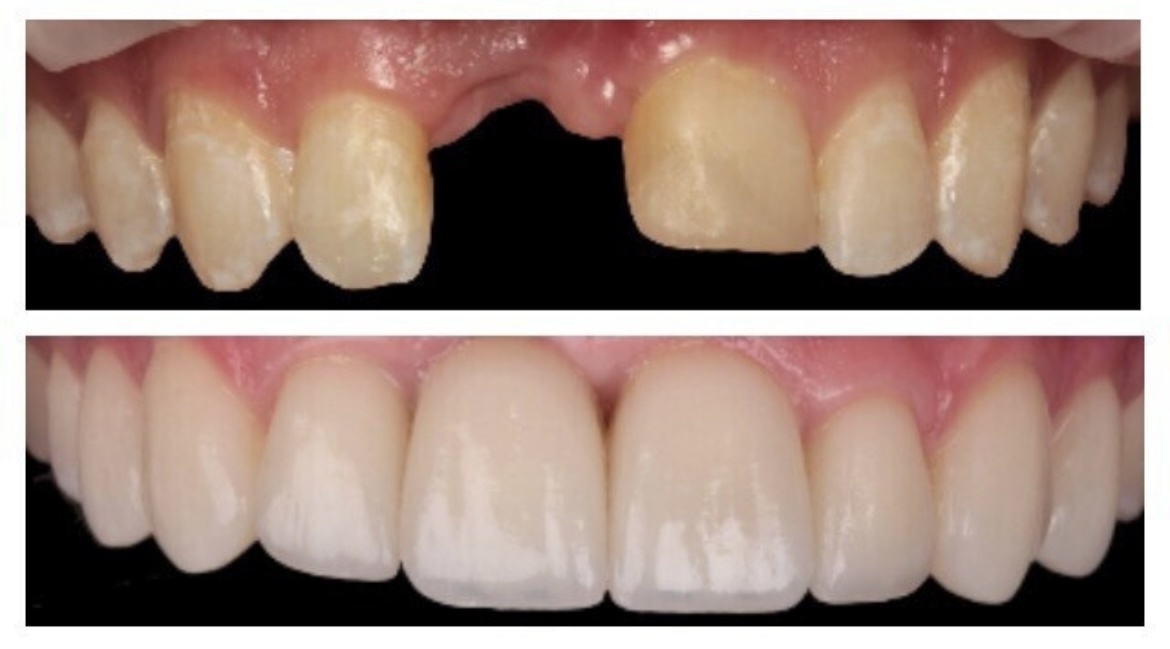
В клинику «Два Дантиста» обратился пациент, молодой парень, для восстановления отсутствующего зуба и с жалобой на эстетику улыбки. 

Диагностика показала некоторую убыль десневых тканей в месте недостающей единицы, поэтому вместе с протезированием на имплантате план лечения также предполагал процедуру пластики десны.

После подготовительных терапевтических манипуляций, а именно профессиональной гигиены, лечения зубов от кариеса, а также g, стоматолог-хирург приступил к проведению имплантации и процедур пластики десны.

Как проводилась пластика десны?

Пластика десны может быть проведена до, во время или после имплантации. Так как у нашего пациента изначально был диагностирован дефицит десневой ткани, то хирург-имплантолог скорректировал десну одновременно с процессом установки имплантата.

Сама операция предполагала лоскутный метод пластики: хирург создает лоскут десневой ткани и перемещает его на область, где нужно увеличить объем или восстановить контур. 

Почему важна пластика десны при имплантации?

-2

 ❗️Пластика десны помогает сформировать естественный десневой контур вокруг имплантата, делая его незаметным и обеспечивая гармоничный вид улыбки.

 ❗️Операция обеспечивает плотное прилегание десны к имплантату, что предотвращает развитие инфекций и воспалений, а также улучшает жевательную функцию.

 ❗️Пластика десны обеспечивает здоровое и эстетически привлекательное состояние десны вокруг имплантата. 

❗️Также такая коррекция тканей улучшает стабильность имплантата и его приживление.

-3

Следующим этапом в лечении было протезирование. Пациент продолжил его со стоматологом-ортопедом. После установки имплантата и пластики десны была установлена временная коронка на имплантат до момента приживления. Позже пациенту были установлены 16 постоянных керамических реставраций: на верхней челюсти 2 коронки и 6 виниров, на нижней челюсти 8 виниров.

Записаться в клинику «Два Дантиста» можно через сайт или по тел. 8 (812) 223-43-29