Добавить в корзинуПозвонить
Найти в Дзене
КЛИНИКА САРЕНКО

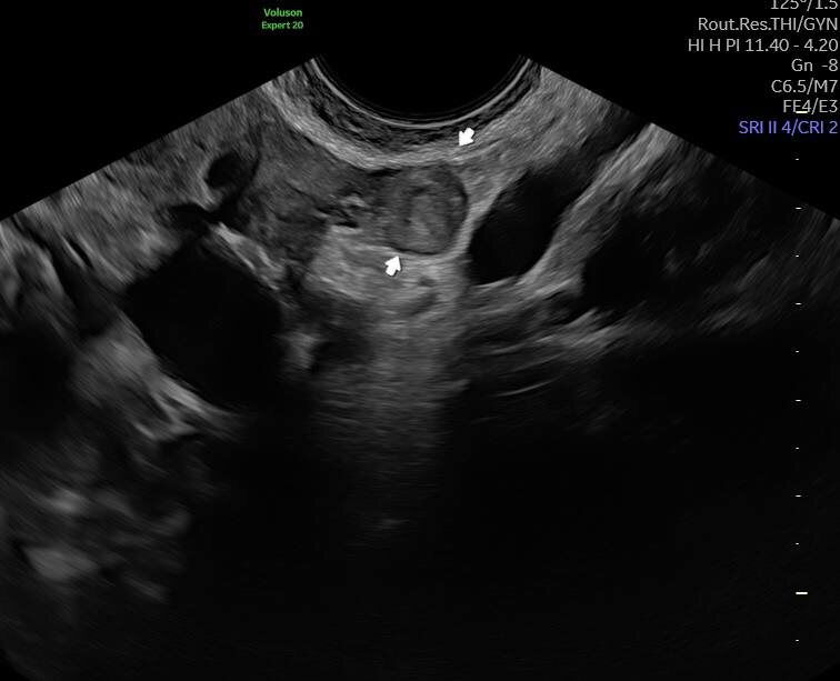
Внематочная беременность

Внематочная беременность ⠀ ✅ Вчера в одной из клиник города возникло подозрение на внематочную беременность ⠀ ✅ Сегодня в «КЛИНИКА САРЕНКО»диагноз установлен ⠀ ✅ Отправил к гинекологу на лечение ⠀ 🟢 Спасибо аппарату Voluson Expert 20 и десятилетнему опыту работы в МПЦ ⠀ ✅ Берегите себя ⠀ #саренко

Внематочная беременность

✅ Вчера в одной из клиник города возникло подозрение на внематочную беременность

✅ Сегодня в «КЛИНИКА САРЕНКО»диагноз установлен

✅ Отправил к гинекологу на лечение

🟢 Спасибо аппарату Voluson Expert 20 и десятилетнему опыту работы в МПЦ

✅ Берегите себя

#саренко

-2
-3