Добавить в корзинуПозвонить
Найти в Дзене
Прайм-Стоматология

Почему подростки выбирают невидимое исправление прикуса

Подростковый возраст – особый период, когда внешность становится особенно важной. Поэтому многие подростки стремятся к красивой улыбке, ведь ровные зубы – это тренд, которому следуют кумиры современной молодёжи. Не все хотят исправлять прикус с помощью модных брекетов: они заметны и, как правило, требуют особо тщательной гигиены. В таком случае наши врачи-ортодонты предлагают незаметную альтернативу – прозрачные элайнеры. Что такое элайнеры - читайте в этом материале, какие у них есть ещё преимущества – смотрите здесь. Так случилось и с нашей пациенткой: Анастасия, 14 лет, обратилась к ведущему врачу-ортодонту Инне Валерьевне Муранчик с жалобами на эстетику улыбки. При осмотре доктор диагностировала сужение верхнего и нижнего рядов, обратное перекрытие жевательных зубов. Для ортодонтического лечения были выбраны элайнеры, так как они невидимы, безопасны и атравматичны. Эти критерии были очень важны для нашей пациентки. Спустя год был получен идеальный результат: безупречная улыбка, о к

Подростковый возраст – особый период, когда внешность становится особенно важной. Поэтому многие подростки стремятся к красивой улыбке, ведь ровные зубы – это тренд, которому следуют кумиры современной молодёжи.

Не все хотят исправлять прикус с помощью модных брекетов: они заметны и, как правило, требуют особо тщательной гигиены. В таком случае наши врачи-ортодонты предлагают незаметную альтернативу – прозрачные элайнеры.

Что такое элайнеры - читайте в этом материале, какие у них есть ещё преимущества – смотрите здесь.

Прозрачные и незаметные капы – элайнеры.
Прозрачные и незаметные капы – элайнеры.

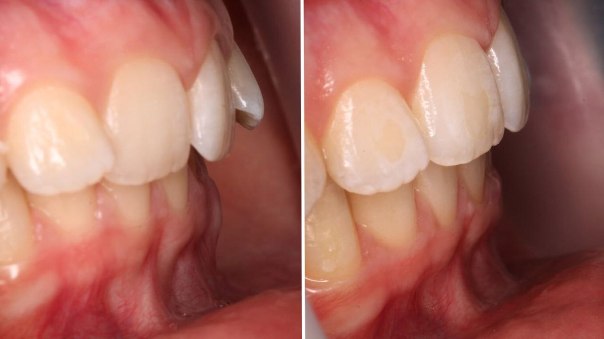
Так случилось и с нашей пациенткой: Анастасия, 14 лет, обратилась к ведущему врачу-ортодонту Инне Валерьевне Муранчик с жалобами на эстетику улыбки. При осмотре доктор диагностировала сужение верхнего и нижнего рядов, обратное перекрытие жевательных зубов.

До/после ортодонтического лечения.
До/после ортодонтического лечения.

Для ортодонтического лечения были выбраны элайнеры, так как они невидимы, безопасны и атравматичны. Эти критерии были очень важны для нашей пациентки.

Спустя год был получен идеальный результат: безупречная улыбка, о которой так мечтала Анастасия!

На фото слева: результат спустя год, на фото справа вверху - до лечения, внизу - после лечения.
На фото слева: результат спустя год, на фото справа вверху - до лечения, внизу - после лечения.
На фото слева - до лечения, на фото справа - после лечения на элайнерах.
На фото слева - до лечения, на фото справа - после лечения на элайнерах.

Давно мечтаете о красивой и здоровой улыбке?

Не откладывайте мечты на потом, запишитесь уже сегодня на консультацию по исправлению прикуса к врачам-ортодонтам ПРАЙМа!

Номер для записи – (4912)292-000.

__________________________________

Наши клиники в г. Рязань:

Есенина, 110

Советской армии, 9

Бирюзова, 28а

Интернациональная, 23

Полетаева, 34 (клиника корпоративного университета)

https://www.prime-med.ru/