Добавить в корзинуПозвонить
Найти в Дзене
Александр Токарев

История о том, как у йоркширского терьера внутренние органы отправились в путешествие

В сегодняшнем посте я расскажу вам случай, который произошел с чудесной представительницей породы йоркширский терьер - Аделиной.
Аделина всегда была активной, веселой, жизнерадостной собакой.
В целом, ничего не предвещало беды и не указывало на наличие каких-либо проблем.
И вот недавно она резко приняла неестественную позу и стала тяжело дышать.
Владельцы привезли ее к нам в клинику.
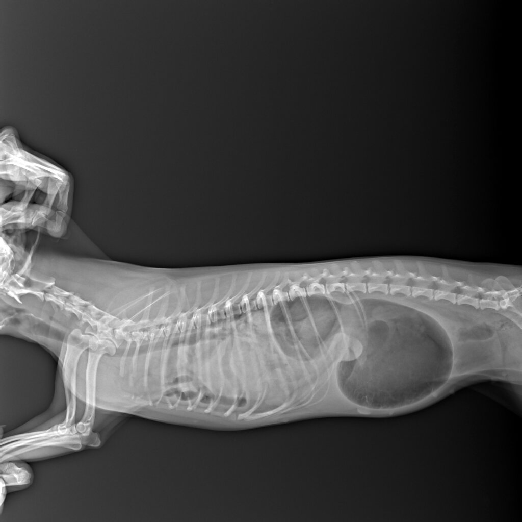
Мы сделали рентген и увидели следующее: на снимке даже не видно легких, так как немалая часть внутренних органов мигрировала в грудную клетку.
Спойлер: во время операции мы обнаружили к грудной клетке 1/3 часть желудка, сложенную пополам селезенку, левую почку, левый яичник, часть кишечника.
Исходя из той картины, которая предстала перед нами во время хирургического вмешательства, то, что произошло с Аделиной является врожденной диафрагмальной грыжей.
Дело в том, что в области левой почки было небольшое отверстие в диафрагме, ставшее воротами для миграции внутренних органов.
Селезенка, левый яи
источник фото: https://i.pinimg.com/736x/26/6f/c1/266fc18d1754275364b792f0e3f87e49.jpg
источник фото: https://i.pinimg.com/736x/26/6f/c1/266fc18d1754275364b792f0e3f87e49.jpg



В сегодняшнем посте я расскажу вам случай, который произошел с чудесной представительницей породы йоркширский терьер - Аделиной.

Аделина всегда была активной, веселой, жизнерадостной собакой.

В целом, ничего не предвещало беды и не указывало на наличие каких-либо проблем.

И вот недавно она резко приняла неестественную позу и стала тяжело дышать.

Владельцы привезли ее к нам в клинику.

Мы сделали рентген и увидели следующее: на снимке даже не видно легких, так как немалая часть внутренних органов мигрировала в грудную клетку.

Спойлер: во время операции мы обнаружили к грудной клетке 1/3 часть желудка, сложенную пополам селезенку, левую почку, левый яичник, часть кишечника.

фото автора
фото автора
фото автора
фото автора


Исходя из той картины, которая предстала перед нами во время хирургического вмешательства, то, что произошло с Аделиной является врожденной диафрагмальной грыжей.

Дело в том, что в области левой почки было небольшое отверстие в диафрагме, ставшее воротами для миграции внутренних органов.

Селезенка, левый яичник и левая почка находятся в грудной клетке достаточно давно.

Это абсолютно не беспокоило питомца.

Острое же состояние, скорее всего, возникло на фоне попадания 1/3 части желудка в отверстие.

Данный случай уникален не только благодаря обилию внутренних органов в грудной клетке, но и тем, что Аделина выжила, стойко перенесла операцию и недавно мы ей сняли швы.

На моей практике это вторая собака, которая не погибла на фоне диафрагмальной грыжи.