Найти в Дзене

В ответ на пост

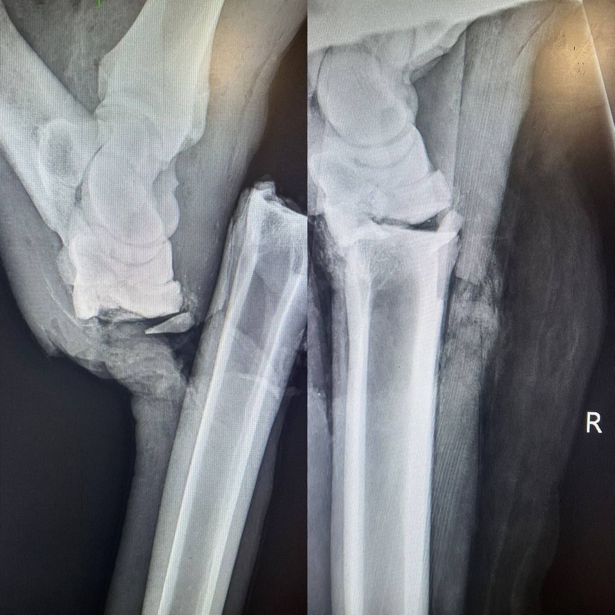
В ответ на пост Новости по лосяшу из Истры. Вчера лосенок Илюша, так назвали его участники спасения, до Лосиного острова не доехал. Врачи осмотрели его еще раз и решили везти в специальную ветклинику в Дмитрове. После долгого лежания на обочине у него развилось воспаление и возможны также повреждения внутренних органов. Ножки уже загипсовали и готовят к операции. Если все пройдет успешно, то лося отвезут на реабилитацию в Лосиный остров. Прокуратура проверит работу ответственных служб в связи с неоказанием своевременной помощи животному! P.S. Пишут что операцию уже оплатили, если увидите сборы на лечение, скорее всего это мошенники. Фото: Прокуратура МО

В ответ на пост

Новости по лосяшу из Истры.

Вчера лосенок Илюша, так назвали его участники спасения, до Лосиного острова не доехал.

Врачи осмотрели его еще раз и решили везти в специальную ветклинику в Дмитрове. После долгого лежания на обочине у него развилось воспаление и возможны также повреждения внутренних органов.

Ножки уже загипсовали и готовят к операции. Если все пройдет успешно, то лося отвезут на реабилитацию в Лосиный остров.

Прокуратура проверит работу ответственных служб в связи с неоказанием своевременной помощи животному!

P.S. Пишут что операцию уже оплатили, если увидите сборы на лечение, скорее всего это мошенники.

Фото: Прокуратура МО

-2