Добавить в корзинуПозвонить
Найти в Дзене

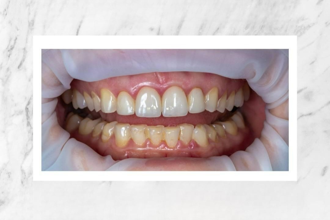
Этим винирам 20 лет!

К нам обратилась пациентка, которая ранее проходила ортопедическое лечение у главврача нашей клиники Узунян Наринэ Адольфовны, когда она еще только закончила ординатуру на кафедре университета. Очень интересно наблюдать за динамикой пациентов спустя десятилетия. А здесь прошло целых 20 лет! Все зубы пациентки за это время разрушились и подверглись износу, а виниры стоят, как в первый день. Но с чем же пришла пациентка на этот раз? Давайте рассмотрим подробнее этот клинический случай и поймем, какой вызов мы приняли. Когда пациентка обратилась к Наринэ Адольфовне в первый раз, она морально не была готова к большой ортопедии, был лишь запрос на эстетику улыбки. Перед врачом стояла задача: защитить только центральные зубы от стирания и решить эстетический вопрос. Все эти годы после установки виниров пациентка ходила с красивыми внешне зубами, но только сейчас созрела для того, чтобы более серьезно заниматься своей зубочелюстной системой. Что мы увидели, когда пациентка пришла к нам в клин
Оглавление

К нам обратилась пациентка, которая ранее проходила ортопедическое лечение у главврача нашей клиники Узунян Наринэ Адольфовны, когда она еще только закончила ординатуру на кафедре университета.

Очень интересно наблюдать за динамикой пациентов спустя десятилетия. А здесь прошло целых 20 лет! Все зубы пациентки за это время разрушились и подверглись износу, а виниры стоят, как в первый день.

Но с чем же пришла пациентка на этот раз? Давайте рассмотрим подробнее этот клинический случай и поймем, какой вызов мы приняли.

Этим винирам 20 лет!
Этим винирам 20 лет!

Все зубы разрушились, а виниры остались

Когда пациентка обратилась к Наринэ Адольфовне в первый раз, она морально не была готова к большой ортопедии, был лишь запрос на эстетику улыбки.

Перед врачом стояла задача: защитить только центральные зубы от стирания и решить эстетический вопрос.

Все эти годы после установки виниров пациентка ходила с красивыми внешне зубами, но только сейчас созрела для того, чтобы более серьезно заниматься своей зубочелюстной системой.

Ситуация до лечения

Что мы увидели, когда пациентка пришла к нам в клинику?

  • Нижний левый клык выходит за зубной ряд.
  • Несовпадение центров нижней и верхней челюстей.
  • Заднее положение нижней челюсти.
  • Одностороннее сужение челюсти.
  • Несоответствие верхней и нижней челюстных дуг.
  • Неправильные наклоны зубов.
Качественно проведенная ортодонтическая работа видна даже спустя десятки лет
Качественно проведенная ортодонтическая работа видна даже спустя десятки лет

Обратите внимание, что в этом клиническом случае собственные ткани вокруг зубов с винирами подверглись эрозии и были очень сильно изношены, а наши виниры на протяжении 20 лет остались без изменений.

Этапы лечения

На первом этапе пациентка прошла полный сет диагностики, затем мы сделали восковое моделирование, после чего провели ортодонтическое лечение.

Восковое моделирование

По завершении диагностики нами был изготовлен макет на все зубы, чтобы начать работу с учетом правильной высоты зубного ряда, положения внутрисуставных элементов и анатомии зубов.

С этим макетом мы вошли в ортодонтическое лечение
С этим макетом мы вошли в ортодонтическое лечение

На фото вы видите, как мы достроили с помощью воскового моделирования то, что стерлось и чего не хватало (зоны истирания и дефицит твердых тканей зубных рядов).

Реставрация зубов

Непосредственно до начала ортодонтического лечения мы провели реставрацию зубов:

  • восстановили потерянную высоту зубных рядов;
  • восстановили морфологию зубов и начали лечение на элайнерах;
  • после восстановления пациентка была в ортодонтическом лечении на элайнерах.
На этих до/после можно увидеть, как мы восстановили архитектуру и форму зубов, достроили то, что было стерто
На этих до/после можно увидеть, как мы восстановили архитектуру и форму зубов, достроили то, что было стерто

Ортодонтическое лечение

Небольшим сетом элайнеров мы решили все наши ортодонтические задачи.

Какой результат мы получили?

  • Выстроили симметрию верхней и нижней зубных дуг.
  • Расширили челюсть.
  • Поставили на место нижний левый клык.
  • Сопоставили центры нижней и верхней челюстей.
  • Вернули нижнюю челюсть в правильное положение.
  • Выровняли наклоны зубов.

По результатам комплексной диагностики был также выявлен вывих суставного диска — это задачу мы также решили, вправили суставной диск.

Самое главное — антеризировали (выдвинули вперед в правильную позицию) нижнюю челюсть, создав хорошие условия работы ВНЧС.

Пациентка была в ортодонтическом лечении 20 месяцев. На этих фото вы видите, какие хорошие результаты мы получили.

Этот клинический случай показывает, как небольшим сетом элайнеров можно вернуть пациенту функциональную улыбку, а качественной ортопедической работой — добавить к функциональности еще и эстетический элемент.

Мы очень благодарны нашим пациентам, которые даже спустя 20 лет возвращаются к нам в клинику, чтобы доверить свое здоровье и получить красивую функциональную зубочелюстную систему.

Когда лучше входить в ортодонтическое лечение?

Сразу, как только вы почувствуете, что ваша зубочелюстная система нуждается в помощи профессионалов. Просто запишитесь на диагностику к врачу сейчас, и вы избежите серьезных осложнений.

*****

Запись на прием по телефону: +7 (926) 281-85-41 или по ссылке.

Москва, ст.м. Селигерская, Дмитровское ш., д. 90, корп. 2 (вход в клинику со двора)

Подписывайтесь на телеграм-канал Узунян Наринэ Адольфовны, главврача и основателя нашей клиники. Кейсы, полезные ролики, советы по уходу за полостью рта и многое другое уже ждут вас!

Узунян наринэ Адольфовна, стоматолог-ортодонт, гнатолог. Стаж > 25 лет. Профессор РУДН, доктор медицинских наук. Автор 110 научных работ
Узунян наринэ Адольфовна, стоматолог-ортодонт, гнатолог. Стаж > 25 лет. Профессор РУДН, доктор медицинских наук. Автор 110 научных работ