Добавить в корзинуПозвонить
Найти в Дзене
Два Дантиста

Самые интересные вопросы о винирах

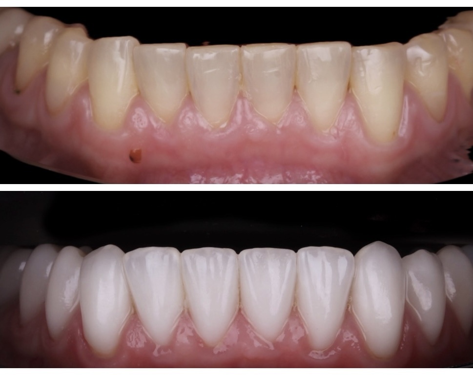
В этой статье мы собрали самые популярные вопросы о винирах, которые мы слышим от наших пациентов и подписчиков в социальных сетях.  Больно ли делать виниры? Во время установки реставраций не задевается нерв зуба, не травмируются мягкие ткани полости рта, а значит нет болезненных ощущений. Носить виниры тоже не доставляет дискомфорта, ведь они не исправляют прикус и не передвигают зубы в отличие от брекет-системы. Какие противопоказания к установке виниров? Качественной и долговечной установке виниров могут помешать: неправильный прикус, заболевания височно-нижнечелюстного сустава, возраст пациента, наличие вредных привычек (кусание ногтей, твердой пищи или предметов), эпилепсия, бруксизм. Коронки или виниры? Выбор конструкции зависит от клинического случая. При сильных повреждениях зуба: переломы, существенные сколы и трещины, разрушение более, чем 50% зуба — план лечения предполагает установку коронок, которая представляет собой колпачок, полностью повторяющий анатомическую форму ви

В этой статье мы собрали самые популярные вопросы о винирах, которые мы слышим от наших пациентов и подписчиков в социальных сетях. 

Больно ли делать виниры?

Во время установки реставраций не задевается нерв зуба, не травмируются мягкие ткани полости рта, а значит нет болезненных ощущений. Носить виниры тоже не доставляет дискомфорта, ведь они не исправляют прикус и не передвигают зубы в отличие от брекет-системы.

Какие противопоказания к установке виниров?

-2

Качественной и долговечной установке виниров могут помешать: неправильный прикус, заболевания височно-нижнечелюстного сустава, возраст пациента, наличие вредных привычек (кусание ногтей, твердой пищи или предметов), эпилепсия, бруксизм.

Коронки или виниры?

Выбор конструкции зависит от клинического случая. При сильных повреждениях зуба: переломы, существенные сколы и трещины, разрушение более, чем 50% зуба — план лечения предполагает установку коронок, которая представляет собой колпачок, полностью повторяющий анатомическую форму видимой части зуба. А виниры подходят при незначительных несовершенствах: цвет, форма, небольшие сколы, трещины. Пластинка защищает зуб только с внешней стороны.

Нужно ли обтачивать зубы под виниры?

В клинике «Два Дантиста» перед обработкой зубов всегда делается макет будущей улыбки. Такая процедура позволяет сделать препарирование точно следуя форме. Обработка получается минимальной и атравматичной.

Меняют ли виниры со временем свой цвет?

-3

Керамика — материал, из которого изготавливаются реставрации, не меняет ни цвет, ни форму. Если человек не пытается испытывать свои виниры на прочность, следит за общим состоянием полости рта, проходит профессиональную гигиену раз в полгода, то состояние виниров будет радовать всю жизнь.

Может ли под винирами образовываться кариес? 

Использование современных протоколов установки виниров исключает возможность возникновения кариеса, так как при фиксации зубная единица герметично закрывается и не дает слюне или бактериям проникать под винир. Под самим виниром кариес возникнуть не может, но при неправильной или недостаточной гигиены такой риск имеет место перехода винира в ткани зуба.

Записаться в клинику «Два Дантиста» можно через сайт или по тел. 8 (812) 223-43-29