Добавить в корзинуПозвонить
Найти в Дзене

Релаксация диафрагмы

Релаксация диафрагмы — это патологическое состояние, при котором один из куполов диафрагмы (чаще левый) истончается и поднимается вверх, теряя свою тоническую сократительную способность. Это не связано с параличом диафрагмального нерва, а обусловлено врожденной или приобретенной атрофией мышечных волокон.   Релаксация диафрагмы может быть:   У многих пациентов релаксация диафрагмы протекает бессимптомно и обнаруживается случайно при рентгенографии. Однако при выраженном смещении органов возможны:   Основные методы выявления релаксации диафрагмы:   Специфической профилактики не существует. Рекомендуется:   - Избегать травм грудной клетки и живота.   - Своевременно лечить заболевания легких и плевры.   - Регулярно проходить медосмотры при врожденных аномалиях.   Релаксация диафрагмы — редкое, но потенциально опасное состояние, требующее внимания при появлении симптомов. Современные хирургические методы позволяют эффективно корректировать патологию и улучшать качество жизни пациен
Оглавление

Что такое релаксация диафрагмы?  

Релаксация диафрагмы — это патологическое состояние, при котором один из куполов диафрагмы (чаще левый) истончается и поднимается вверх, теряя свою тоническую сократительную способность.

Это не связано с параличом диафрагмального нерва, а обусловлено врожденной или приобретенной атрофией мышечных волокон.  
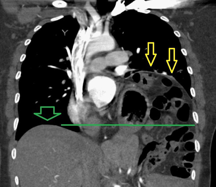
Желтые стрелки подъем левого купола диафрагмы, зеленая и линия это нормальный уровень правого купола
Желтые стрелки подъем левого купола диафрагмы, зеленая и линия это нормальный уровень правого купола

Причины  

Релаксация диафрагмы может быть:  

  1. Врожденной — из-за недоразвития мышечного слоя диафрагмы во внутриутробном периоде.  
  2. Приобретенной — вследствие травм, воспалительных процессов (плеврит, абсцесс), повреждения диафрагмального нерва или возрастных дегенеративных изменений.  

Симптомы  

У многих пациентов релаксация диафрагмы протекает бессимптомно и обнаруживается случайно при рентгенографии. Однако при выраженном смещении органов возможны:  

  • Одышка (особенно при физической нагрузке).  
  • Чувство тяжести в верхней части живота или груди.  
  • Изжога, отрыжка (из-за смещения желудка).  
  • Нарушения сердечного ритма (при давлении на сердце).  
  • Рецидивирующие пневмонии (из-за застоя в легких).  

Диагностика  

Основные методы выявления релаксации диафрагмы:  

  1. Рентгенография грудной клетки — показывает высокое стояние купола диафрагмы.  
  2. Флюороскопия — выявляет парадоксальные движения диафрагмы (подъем при вдохе).  
  3. УЗИ и КТ — уточняют степень смещения органов брюшной полости.  
  4. Функциональные дыхательные тесты (спирография) — оценивают снижение жизненной емкости легких.  

Лечение

  • Бессимптомные случаи:
  1. Требуют наблюдения без активного вмешательства.  

  • Клинические проявления  
  1. Хирургическое лечение (диафрагмопластика) — ушивание или пластика диафрагмы для восстановления ее положения.  
  2. Лапароскопические методы — малотравматичные операции с использованием сетчатых имплантов.  
  3. Симптоматическая терапия, при невозможности проведения операции — при изжоге назначают антациды, при дыхательной недостаточности — кислородотерапию.  

Профилактика  

Специфической профилактики не существует. Рекомендуется:  

- Избегать травм грудной клетки и живота.  

- Своевременно лечить заболевания легких и плевры.  

- Регулярно проходить медосмотры при врожденных аномалиях.  

Релаксация диафрагмы — редкое, но потенциально опасное состояние, требующее внимания при появлении симптомов. Современные хирургические методы позволяют эффективно корректировать патологию и улучшать качество жизни пациентов.  

Где получить консультацию специалиста?

Вы можете записаться на консультацию к Андрею Владимировичу Никулину – кандидату медицинских наук, торакальному хирургу, онкологу.

Андрей Владимирович Никулин – один из ведущих специалистов в области хирургического лечения заболеваний легких, средостения, грудной стенки и диафрагмы. Он поможет разобраться в вашей ситуации и предложит наиболее эффективный путь решения проблемы.

Главное – внимательное отношение к своему здоровью и своевременное обращение к врачу.