Найти в Дзене

Что такое “бутылочный кариес” и как его избежать

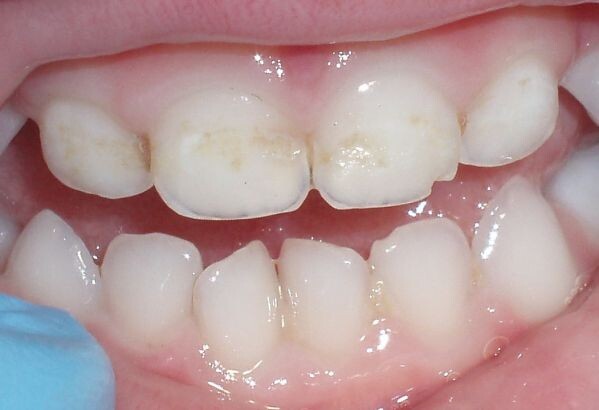
“Бутылочный кариес” — это форма раннего детского кариеса, которая поражает преимущественно передние верхние зубы у малышей в возрасте от 1 до 3 лет. Он получил своё название из-за главной причины появления — частого и длительного кормления из бутылочки, особенно с подслащёнными напитками или молочной смесью, в том числе ночью. Несмотря на то что молочные зубы временные, кариес на раннем этапе может быстро прогрессировать, разрушая зубную эмаль, вызывая боль, воспаление и даже нарушение формирования постоянных зубов. Основные причины: Во время сна выработка слюны снижается, а остатки сладких жидкостей дольше остаются на зубах. Это создаёт идеальные условия для развития бактерий, вызывающих кариес. Чтобы предотвратить появление кариеса у самых маленьких, важно соблюдать простые правила: Клиника Дентал Гуру специализируется на детской стоматологии и имеет большой опыт в профилактике и лечении раннего кариеса у малышей. Здесь создают максимально комфортные условия как для ребёнка, так и
Оглавление

“Бутылочный кариес” — это форма раннего детского кариеса, которая поражает преимущественно передние верхние зубы у малышей в возрасте от 1 до 3 лет. Он получил своё название из-за главной причины появления — частого и длительного кормления из бутылочки, особенно с подслащёнными напитками или молочной смесью, в том числе ночью.

Несмотря на то что молочные зубы временные, кариес на раннем этапе может быстро прогрессировать, разрушая зубную эмаль, вызывая боль, воспаление и даже нарушение формирования постоянных зубов.

Почему возникает “бутылочный кариес”

Основные причины:

  • частое кормление из бутылочки или груди ночью без последующей чистки зубов;
  • длительное использование бутылочки в течение дня как “успокоителя”;
  • наличие сахара в смесях, соках, компотах и даже грудном молоке;
  • отсутствие гигиенических процедур у малышей после кормления.

Во время сна выработка слюны снижается, а остатки сладких жидкостей дольше остаются на зубах. Это создаёт идеальные условия для развития бактерий, вызывающих кариес.

Как избежать “бутылочного кариеса”

Чтобы предотвратить появление кариеса у самых маленьких, важно соблюдать простые правила:

  • не приучать ребёнка засыпать с бутылочкой или грудью во рту;
  • ограничить сладкие напитки и смеси перед сном;
  • после кормления очищать дёсны и зубы — сначала марлевой салфеткой или силиконовым напальчником, позже — мягкой детской щёткой;
  • начинать регулярную гигиену полости рта с момента появления первого зуба;
  • посещать детского стоматолога не реже 1 раза в 6 месяцев, даже если видимых проблем нет.

-2

Почему стоит обратиться в детскую стоматологию Дентал Гуру

Клиника Дентал Гуру специализируется на детской стоматологии и имеет большой опыт в профилактике и лечении раннего кариеса у малышей. Здесь создают максимально комфортные условия как для ребёнка, так и для родителей. Врачи умеют работать с самыми маленькими пациентами без страха и боли, используя современные, щадящие методы.

Родители получают подробные рекомендации по гигиене полости рта, питанию и формированию правильных привычек. Дентал Гуру — это не просто лечение, а забота о здоровье ребёнка с первых месяцев жизни.

Заключение

“Бутылочный кариес” — серьёзная, но вполне предотвратимая проблема. Правильный уход, разумный подход к кормлению и регулярные визиты к стоматологу помогают сохранить здоровую улыбку малыша и избежать неприятных последствий. Начните заботиться о зубах ребёнка уже сегодня — и пусть поход к стоматологу станет привычным и позитивным опытом с самого детства.