Добавить в корзинуПозвонить
Найти в Дзене

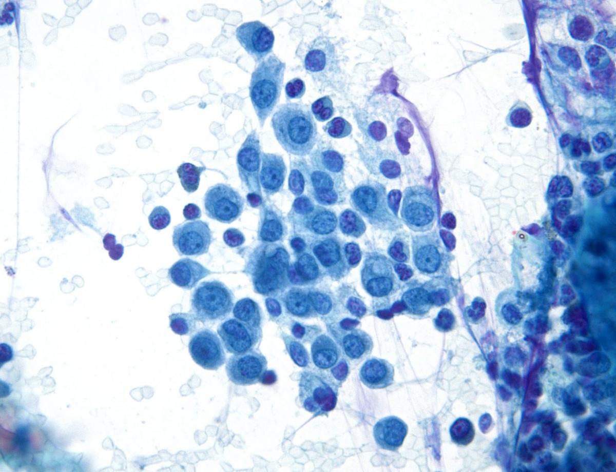
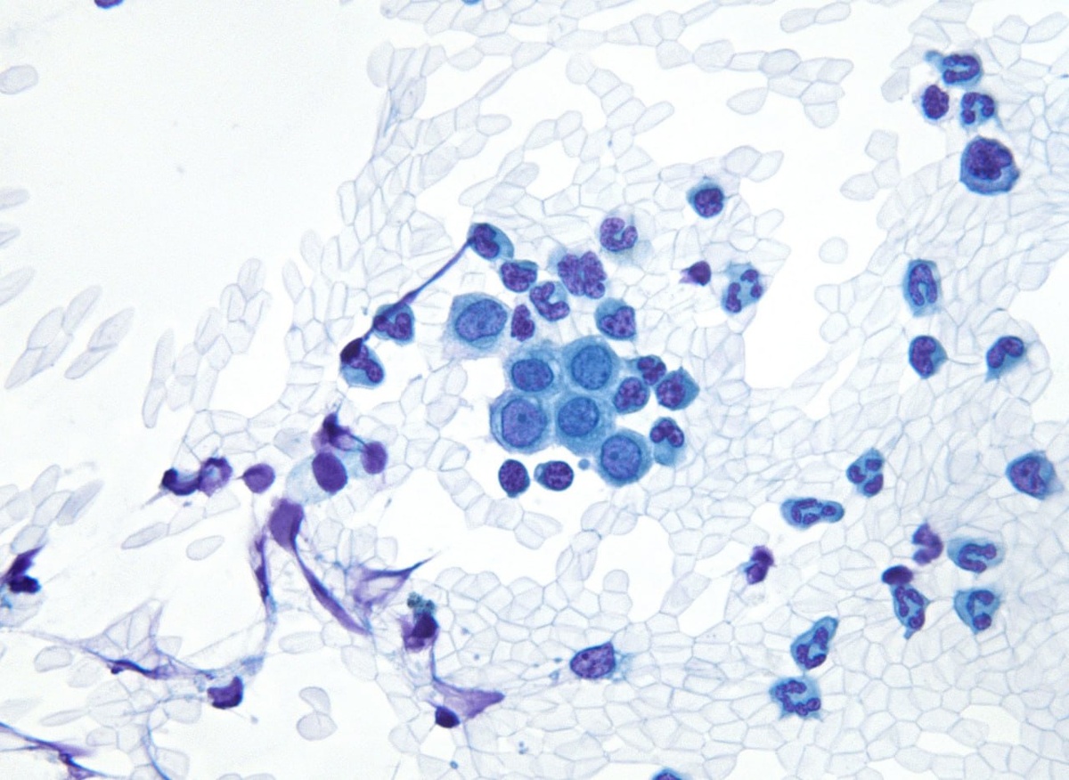
Отнюдь НЕ доброкачественные остеобласты в препарате ТАБ при склерозном поражении позвоночника

Отнюдь НЕ доброкачественные остеобласты в препарате ТАБ при склерозном поражении позвоночника. Несмотря на безобидный вид, эти клетки представляют собой метастаз известного пациентке лобулярного рака молочной железы. #цитология #метастаз

Отнюдь НЕ доброкачественные остеобласты в препарате ТАБ при склерозном поражении позвоночника.

Несмотря на безобидный вид, эти клетки представляют собой метастаз известного пациентке лобулярного рака молочной железы.

#цитология #метастаз

-2