Найти в Дзене
Parodoctor

Когда человек накопил на зубы - от кариеса на грани пульпита и плохой гигиены, до элайнеров и нескольких вариантов щёток

Терапевт разговаривает с женой пациента, которая тоже у неё проходит лечение: - А как получилось, что (пусть будет) Геннадий решил так лихо зубами заняться? Даже на ортодонтию согласился. Это, ведь, Ваша заслуга? Молодая женщина отвечает: - Да нет, это только его желание и решение. Вы знаете, мы ведь когда познакомились, он год скрывал состояние зубов. Не представляю, как ему удавалось, но факт остаётся фактом. Просто не было финансовой возможности. Зубы - дорого. А его зубы... Он всё понимал. Как только появились деньги, занялся плостью рта. Этой историей я начала делиться ещё в ноябре 2024 года в своём ТГ канале: Сложно было поверить, что зубы с глубокими кариозными полостями удалось оставить живыми. Однако, оценим КТ до лечения и поймём, дошла ли проблема до пульпы: До лечения зубы были живыми. Далеко не факт, что в процессе лечения они такими и останутся. Или после оного. И это - нормально, врач всегда предупреждает о том, что может случиться потеря нерва. Кариозные процессы убраны

Терапевт разговаривает с женой пациента, которая тоже у неё проходит лечение:

- А как получилось, что (пусть будет) Геннадий решил так лихо зубами заняться? Даже на ортодонтию согласился. Это, ведь, Ваша заслуга?

Молодая женщина отвечает:

- Да нет, это только его желание и решение. Вы знаете, мы ведь когда познакомились, он год скрывал состояние зубов. Не представляю, как ему удавалось, но факт остаётся фактом. Просто не было финансовой возможности. Зубы - дорого. А его зубы... Он всё понимал. Как только появились деньги, занялся плостью рта.

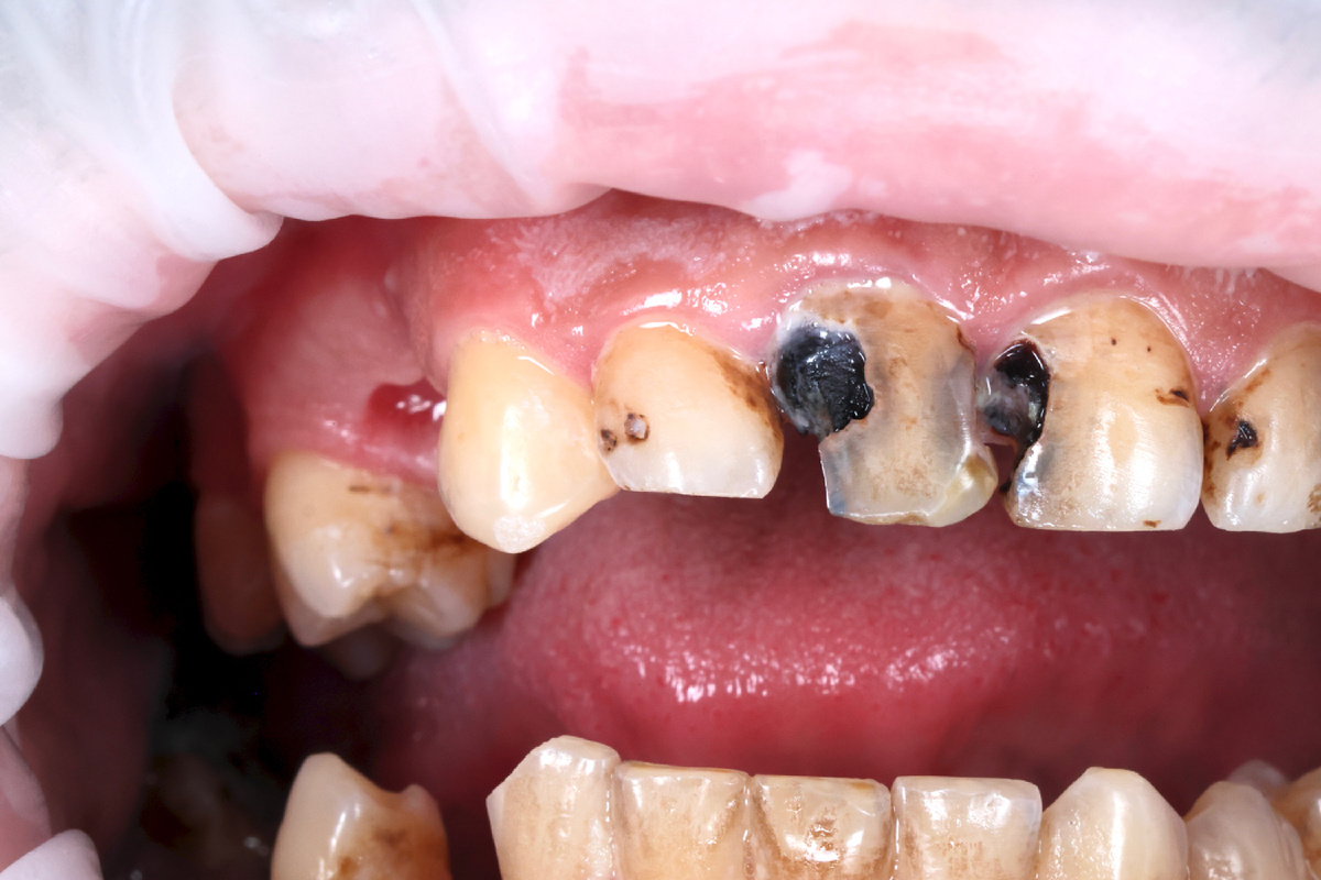
Состояние зубов до лечения
Состояние зубов до лечения

Этой историей я начала делиться ещё в ноябре 2024 года в своём ТГ канале:

Parodoctor

Сложно было поверить, что зубы с глубокими кариозными полостями удалось оставить живыми. Однако, оценим КТ до лечения и поймём, дошла ли проблема до пульпы:

Нет, не добрался кариес до пульпы
Нет, не добрался кариес до пульпы

До лечения зубы были живыми. Далеко не факт, что в процессе лечения они такими и останутся. Или после оного. И это - нормально, врач всегда предупреждает о том, что может случиться потеря нерва.

Кариозные процессы убраны, пульпарные камеры не вскрыты.

Препарирование зубов
Препарирование зубов

Готовая работа выглядела так:

Зубы запломбированы
Зубы запломбированы

И зубы остались живы - наблюдение ведётся с ноября 2024, а сейчас уже май 2025.

КТ от февраля 2025 года - перед ортодонтией
КТ от февраля 2025 года - перед ортодонтией

По итогу, необходимо будет установить коронки. Но сейчас рано - пациент проходит ортодонтическое лечение на элейнерах и его ничего не беспокоит! Фото от февраля 2025 года - только начали исправление прикуса:

В апреле пациент был пойман на приёме у ортодонта. Интересно было, что там у него с домашней гигиеной происходит. А всё не так уж и плохо:

Пациент признался, что очень тщательно подошёл к вопросу чистки зубов, закупил несколько щёток, даже отдельную для очистки элайнеров. Старается! Не пропускает сеансы.

Молодец! Вот бы и раньше так) Но да ладно, прошлым умом жить бесполезно. Важен момент настоящий. А в настоящем - победа.

Май 2025 - профессиональная гигиена. Вычищено всё, что вычищается.

Впереди ещё ОЧЕНЬ долгий путь! Но пациент точно знает, зачем он его проходит вместе с нами. Всё будет не просто хорошо, а великолепно. Потому что настрой решает.

Больше ортодонтических материалов - в подборке:

Ортодонтические варианты | Parodoctor | Дзен

Тг канал, в котором собираю всё самое интересное и где мы с докторами оперативно отвечаем на вопросы - см выше.

С уважением, Лежачёва Наталия Александровна, хирург-пародонтолог и главный врач стоматологии Parodent, СПб.

Продолжение, декабрь 2025: