Добавить в корзинуПозвонить
Найти в Дзене
Зубная забота 🫧✨

Элайнеры от А до Я. Ответы на актуальные вопросы

Сегодня рассказываю всё самое важное про элайнеры в рубрике «вопрос – ответ» ✨ Вопрос: Как двигаются зубы? Ответ: Когда на зуб действует постоянное давление, запускается биологический процесс: С одной стороны костная ткань рассасывается (это делают остеокласты), С другой — нарастает новая ткань (здесь работают остеобласты). Так зуб постепенно перемещается.  А после — остеобласты продолжают укреплять его в новом положении. Магия? А вот и нет! Гистология 😉 Вопрос: Как работают элайнеры? Ответ: Они работают по плану. Каждая каппа — это небольшой шаг. На ней двигаются только те зубы, которые нужно переместить именно в этот момент. Врач заранее моделирует путь движения зубов, основываясь на 3D-сканировании и индивидуальном плане лечения. Вопрос: Какие ощущения после установки? Ответ: Обычно дискомфорт ощущается в первые 1-3 дня после установки или смены каппы. Постепенно он уходит, когда зубы адаптируются. Вопрос: Как часто носить? Ответ: Каждую пару капп следует носить в течение 2 н

Сегодня рассказываю всё самое важное про элайнеры в рубрике «вопрос – ответ» ✨

Вопрос: Как двигаются зубы?

Ответ: Когда на зуб действует постоянное давление, запускается биологический процесс:

С одной стороны костная ткань рассасывается (это делают остеокласты),

С другой — нарастает новая ткань (здесь работают остеобласты).

Так зуб постепенно перемещается. 

А после — остеобласты продолжают укреплять его в новом положении.

Магия?

А вот и нет!

Гистология 😉

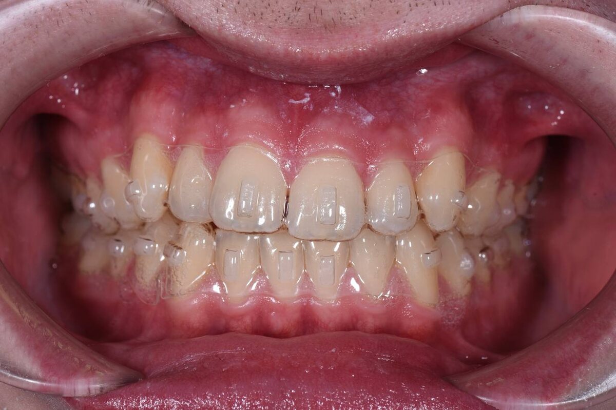
Вопрос: Как работают элайнеры?

Ответ: Они работают по плану.

Каждая каппа — это небольшой шаг. На ней двигаются только те зубы, которые нужно переместить именно в этот момент.

Врач заранее моделирует путь движения зубов, основываясь на 3D-сканировании и

индивидуальном плане лечения.

Вопрос: Какие ощущения после установки?

Ответ: Обычно дискомфорт ощущается в первые 1-3 дня после установки или смены каппы.

Постепенно он уходит, когда зубы адаптируются.

Вопрос: Как часто носить?

Ответ: Каждую пару капп следует носить в течение 2 недель, по 22 часа в сутки, снимая только на время еды и чистки зубов. 

Вопрос: Что происходит после установки?

Ответ: Контрольные визиты обычно раз в 2-3 месяца, но частота может варьироваться в зависимости от рекомендаций ортодонта.

На приёмах обычно оценивается посадка элайнеров и динамика лечения, в соответствии с планом.

Может понадобиться сепарация процедура, состоящая в микрошлифовке контактных поверхностей зубов для создания небольшого пространства между ними. 

Это необходимо, чтобы обеспечить достаточное место для перемещения зубов в процессе ортодонтического лечения.

Что выдаётся пациенту с собой?

Набор крутого элайнероносца:

• Кейс для хранения 

• Крючок для снятия каппы (чаще не нужен — пациенты быстро приспосабливаются)

• Мягкий валик — помогает плотнее зафиксировать каппу

• Подробные рекомендации по ношению и уходу

• И, конечно же, сами элайнеры!

Интересно, а вы знали, что выдаются не все элайнеры, а только несколько штук?

Я обычно выдаю по 6-8 пар. 

Всё зависит от обстоятельств!

Вопрос: С какого возраста можно носить элайнеры? 

Ответ: С 6 лет, в период сменного прикуса. Существуют специальные элайнеры (например, у компании FlexiLigner они называются «Флексики»), которые предназначены для деток с 6 до 11 лет.

Они помогают создать место для роста постоянных зубов и направить их в нужную позицию, предотвращая скученность или неровности в будущем. Это своего рода профилактика, о которой я часто пишу в своем блоге 😉

Вопрос: Можно ли носить элайнеры во взрослом возрасте?

Ответ: Да, конечно!

Нет возрастных ограничений для лечения с помощью элайнеров.

Однако важно учитывать несколько факторов:

• Объем костной ткани зубов;

• Состояние дёсен и зубов (пародонтологический статус);

• Наличие ретинированных (непрорезавшихся) зубов, которые частично или полностью находятся в десне;

• И другие особенности.

Для того чтобы понять, возможно ли корректировать эти нюансы и начать лечение, нужно проконсультироваться с врачом-ортодонтом и пройти диагностику.

Если что-то стало для вас открытием — буду рада прочитать об этом в комментариях.

А если остались вопросы — не стесняйтесь, задавайте. 

Всё объясню максимально понятно 😊