Добавить в корзинуПозвонить
Найти в Дзене
Стоматология InLine

Рецессия десны

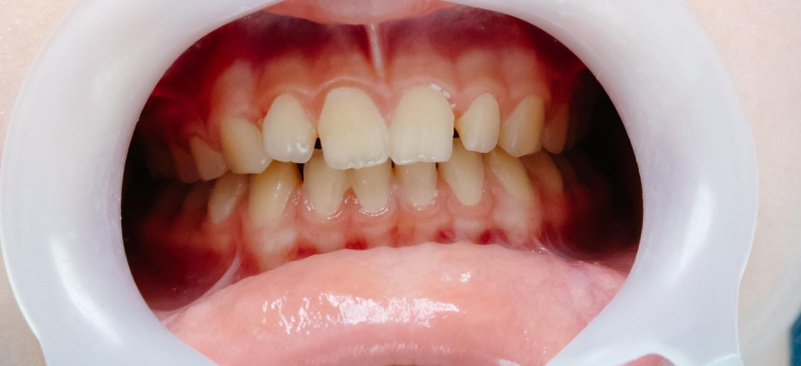
Рецессия десны -это хроническое патологическое изменение десны, которое влияет не только на внешний вид улыбки, но и на здоровье полости рта в любом возрасте. рецессия десны начинается с краевой десны, и со временем атрофия уже может переходить на связочный аппарат зуба. В зависимости от степени выраженности нарушения выделяют следующие классы: Помимо основных симптомов, существует ряд заболеваний пародонта, из-за которых рецессия сопровождается: Обычно речь идет о заболеваниях десен и пародонтальных тканей: гингивите, пародонтите или пародонтозе. Как правило, рецессия постепенно прогрессирует и способна преобразоваться в тяжёлое осложнение, важно при появлении первых признаков сразу обратиться к стоматологу. Это поможет предупредить дальнейшее ухудшение состояния и сохранить здоровье зубов. Безусловно. Аналогично вредному влиянию алкоголя. Десневые ткани первыми страдают от воздействия токсинов, содержащихся в табачном дыме и спиртных напитках. Никотин и высокая температура разрушают
Оглавление
Рецессия десны -это хроническое патологическое изменение десны, которое влияет не только на внешний вид улыбки, но и на здоровье полости рта в любом возрасте. рецессия десны начинается с краевой десны, и со временем атрофия уже может переходить на связочный аппарат зуба.

Основные причины

  1. неправильная установка ортодонтической конструкции, из-за чего десны постоянно испытывают давление. металлические брекеты или элайнеры способствуют движению кости, что вызывает образование натяжения устройства. ортодонт и пародонтолог могут исправить прикус до или во время устранения рецессии;
  2. неудовлетворительная гигиена, травмирование десны щеткой с жесткой щетиной, зубочисткой или зубной нитью, полное отсутствие ухода за полостью рта (образуется налет и зубной камень) и недостаточное внимание к состоянию десен способствуют убыли мягких тканей;
  3. аномалии прикуса жевательных зубов;
  4. механическое воздействие пирсинга на языке или губе приводит к повреждению десен и слизистой нижней и верхней челюсти;
  5. анатомические особенности у взрослых и у детей - тонкая десневая ткань, аномальное строение альвеолярного отростка, слишком короткая уздечка губ;
  6. вредные привычки - курение и чрезмерное употребление алкоголя;
  7. гормональные изменения могут оказывать негативное влияние на здоровье десен. Например, проблемы с деснами часто возникают у женщин в период беременности, при диабете или других эндокринных заболеваниях, а также в климактерический период;
  8. естественные возрастные изменения. С возрастом обменные процессы в организме замедляются, что может стать причиной постепенного опущения десневой ткани, после 45 лет рецессия встречается практически у всех пациентов. Однако опущение десны развивается и в молодом возрасте из-за индивидуальных особенностей человека. иногда при наличии массивной корневой системы имеет место истончение слоя костной ткани;
  9. травмы зубов и повреждения мягких тканей, в том числе вывих или перелом клыков. это связано с тем, что они находятся в средней трети улыбки, могут травмироваться при ударах или падениях.

Классификация

В зависимости от степени выраженности нарушения выделяют следующие классы:

  • первый – незначительная рецессия, не требует специального лечения;
  • второй - клинически наблюдается апикальное (в сторону корня зуба) смещение прикрепленной десны. При этом структура и высота кости межзубных перегородок остаются нормальными и не нарушаются;
  • третий - происходит незначительная апикальная убыль десневого края на апроксимальных поверхностях зубов (в области, где зубы касаются друг друга), что ведет к ухудшению состояния десны;
  • четвертый - наблюдается значительная убыль десны, атрофия костной и межзубной ткани, нарушение положения зубов. Это является самой тяжелой формой;
  • симптоматическая – локализованная рецессия десны развивается на фоне заболеваний десен только у некоторых зубов, например передних; если же снижение десны затрагивает весь зубной ряд — это генерализованная рецессия десны.

Признаки

  • понижение уровня десны, из-за чего оголяется значительная часть зуба, он становится более чувствительным;
  • оголение зубного корня может сделать улыбку менее привлекательной, а если атрофия выражена сильно, зубы выглядят непропорционально высокими и видна желтоватая часть зуба (корень);
  • увеличение чувствительности зубов из-за повышенной реакции эмали к перепадам температуры (горячее или холодное) и химическим веществам (кислым или острым продуктам);
  • развитие кариеса из-за оголённого корня зуба. Заметно появление гнойных выделений у шейки кости;
  • дискомфорт, подвижность зубов и болезненность чаще всего появляются при приёме пищи.

Помимо основных симптомов, существует ряд заболеваний пародонта, из-за которых рецессия сопровождается:

  • белесоватым оттенком десен в связи с ухудшением кровообращения и состояния тканей;
  • кровоточивостью десен из-за воспаления тканей, что приводит к их повреждению и слабости сосудов.

Обычно речь идет о заболеваниях десен и пародонтальных тканей: гингивите, пародонтите или пародонтозе.

Как правило, рецессия постепенно прогрессирует и способна преобразоваться в тяжёлое осложнение, важно при появлении первых признаков сразу обратиться к стоматологу. Это поможет предупредить дальнейшее ухудшение состояния и сохранить здоровье зубов.

Может ли курение провоцировать рецессию десны?

Безусловно. Аналогично вредному влиянию алкоголя. Десневые ткани первыми страдают от воздействия токсинов, содержащихся в табачном дыме и спиртных напитках. Никотин и высокая температура разрушают сосуды в деснах, нарушая кровоснабжение. В свою очередь, алкоголь способствует вымыванию важных витаминов и минералов из тканей. В совокупности эти факторы ухудшают обмен веществ в деснах, вызывая их истончение и потерю объёма. Кроме того, никотин усиливает образование зубного налёта, что провоцирует воспалительные процессы и дальнейшую деградацию десневой ткани.

Как плохая гигиена рта связана с заболеваниями десен?

Причина напрямую связана с гигиеническими привычками. Использование слишком жёсткой зубной щётки или неправильная техника чистки травмируют слизистую. Пропуски в гигиенических процедурах способствуют накоплению налёта и зубного камня, что становится причиной воспаления. Воспалительный процесс, в свою очередь, ведёт к рецессии десны.

Зубной налёт и камень под десной — путь к рецессии

После возникновения рецессии зубная чистка часто вызывает болезненные ощущения, что связано с воспалением и оголёнными корнями. Но это не повод пренебрегать уходом — наоборот, налёт после еды образуется постоянно и без своевременного удаления постепенно минерализуется, проникая в десневые пространства. Камень служит средой для размножения патогенных бактерий, поддерживающих воспаление и провоцирующих развитие кариеса на оголённых участках. Отказ от гигиены лишь усугубляет боль и ухудшает состояние.

Почему после установки имплантов тоже бывает рецессия десны?

Снижение уровня десны возможно и вокруг дентальных имплантов, оголяя их верхнюю часть. Причины связаны как с особенностями конструкции импланта, так и с техникой установки и дальнейшим уходом.

Основные факторы

  • дизайн импланта: производители постоянно совершенствуют модели, чтобы минимизировать естественную убывающую резорбцию кости и десны после установки. При этом небольшое снижение (до 1,5 мм за 5 лет) считается нормой, поскольку верхний слой кости теряет нагрузку после имплантации. Импланты Nobel, Straumann и Astra Tech показывают наилучшие результаты;
  • ошибки при установке: импланты должны располагаться ниже уровня кости, чтобы не контактировать с десной. При планировании врач учитывает плотность, объём и качество костной ткани, а также нагрузки. Некоторые модели специально предназначены для контакта с десной и имеют антибактериальные покрытия или особенности для сращивания с мягкими тканями;
  • неправильный уход: механические травмы десны при использовании щёток, зубочисток или нити, а также отсутствие регулярной гигиены вызывают накопление налёта и воспаление.

Опасность рецессии десны при имплантах

При установке 1–2 зубов рецессия особенно опасна, так как оголяются абатменты и образуются щели между десной и коронками. В них скапливаются остатки пищи и налёт, что повышает риск воспаления и возможного отторжения имплантов.

Последствия

Если проблему рецессии десны не диагностировать и не начать лечить вовремя, могут возникнуть:

  • потеря эстетики улыбки: с течением времени десна будет опускаться, что ухудшит внешний вид;
  • чрезмерное скопление зубного налета в образующихся щелях в межзубных промежутках увеличивает риск возникновения воспалительных и пародонтальных заболеваний;
  • формирование пародонтальных карманов и клиновидных дефектов;
  • распространение атрофических процессов. при рецессии происходит не только убыль мягкой ткани десны, но и кости, в конечном счете в самых запущенных случаях может привести к потере зубов.

Поэтому обратиться в медицинский центр и записаться на прием к стоматологу лучше при первых признаках, пока дефект не увеличился настолько, что придется делать операцию.

Диагностика

Для правильной оценки состояния десен стоматолог должен провести визуальный и инструментальный осмотр ротовой полости, чтобы учесть не только качество и плотность кости, но и много других параметров.

Оценка локального статуса. Врач проверяет следующие параметры:

  • заполненность межзубных промежутков;
  • целостность зубоэпителиального соединения;
  • ширина и зона прикрепленной кератинизированной десны;
  • биотип пародонта (толщина и структура тканей).

Эти показатели помогают оценить степень поражения и подобрать оптимальный курс лечения для каждого пациента.

Заболевание проходит несколько стадий

  • легкая — глубина десневого края до 3 мм;
  • средняя — глубина рецессии в пределах 3-5 мм;
  • тяжелая — уменьшение мягких тканей составляет более 5 мм.

Пародонтограмма включает в себя оценку состояния тканей пародонта, анализ объема зубных отложений и измерение глубины зубодесневых карманов, что помогает точно установить диагноз. Компьютерная томография помогает специалисту выбрать наиболее эффективную терапию. Снимок КТ используется, чтобы определить стадию патологического процесса и выявить повреждения костной ткани. Для обследования зубодесневых карманов используют специальные стоматологические зонды. Комплексная диагностика болезни помогает понять нужна ли костная пластика.

-2

Методы лечения

Современные технологии позволяют качественно вылечить даже самые сложные стоматологические патологии. В зависимости от степени повреждения десневой ткани и причины убыли слизистой заниматься решением проблемы могут такие специалисты, как терапевт, хирург, имплантолог, ортопед.

Консервативное лечение

Объем десны можно частично или полностью восстановить с помощью инъекционной терапии. Также стоматолог может проводить лазерную обработку пораженных участков десны. Препараты на основе гиалуроновой кислоты способствуют восстановлению тканей. Мази, стимулирующие обновление клеток, помогают активизировать процессы регенерации. Противовоспалительные гели используются для заживления слизистой, если имеется опущение десен на фоне гингивита, периодонтита, пульпита или пародонтита.

Кроме того, необходимо снятие зубных отложений, устранение провоцирующих факторов из-за плохой гигиены полости рта. Нужно отметить, что применение специальных средств, которые запускают естественные восстановления и рост мягкой ткани возможно только на начальном этапе рецессии, когда изменения в тканях еще не являются необратимыми.

Хирургическое вмешательство

В более сложных случаях устранение рецессии десневой ткани проводят с помощью хирургического лечения. Перед операцией необходима консультация хирурга, поскольку имеются противопоказания проведения некоторых операций. В зависимости от ситуации могут применяться следующие методы:

  • вестибулопластика: закрытие рецессии десны проводится амбулаторно под местным обезболиванием;
  • лоскутная операция: техника подразумевает перемещение небольшого лоскута из собственных тканей неба, чтобы закрыть им открытый корень. Этот способ эффективен при незначительной рецессии, когда еще имеется здоровая десневая ткань. Лоскутная операция имеет несколько преимуществ: она занимает относительно короткое время и дает хороший эстетический результат;
  • регенерация тканей: в этой методике используется фибриновая мембрана, которая имплантируется в проблемную область. Мембрана стимулирует рост тканей и помогает восстановить десневую структуру. это наиболее щадящая методика, обеспечивает быстрое восстановление десневого контура без риска рецидива;
  • лечение коллагеном: в ходе операции внедряются коллагеновые импланты, которые способствуют восстановлению тканей десны. Такой подход очень успешно борется с дефектом, когда физиологическая рецессия: ткань ослаблена и требуется дополнительная поддержка.

Выбор метода лечения зависит от степени рецессии, состояния десен и общего здоровья пациента.

Возможно ли обойтись без хирургического вмешательства?

Частичное или даже полное восстановление объема десны сегодня возможно с помощью инъекционных методов, используя современные препараты. В некоторых случаях операция не требуется, хотя это зависит от конкретной ситуации. Такие средства вводятся непосредственно в поражённые участки или наносятся на них. Основу этих препаратов составляют факторы роста и питательные вещества, которые способствуют активному восстановлению и размножению здоровых клеток.

К примеру, для регенерации десны и окружающих тканей периодонта применяется биогель Emdogain® от компании Straumann. Под его воздействием происходит восстановление цемента зуба и периодонтальных связок. Научные исследования показывают, что через год после процедуры глубина десневого кармана уменьшается до 5 мм. Таким образом, здоровая десна постепенно заполняет дефект, обходясь без хирургии.

Для восстановления костной ткани под десной используются другие специализированные препараты, такие как костнозамещающие материалы BoneCeramic® или Bio-Oss® от Straumann, а также барьерные коллагеновые мембраны Creos™ производства Nobel.

Тем не менее, при значительных и обширных дефектах подобные методы будут эффективны лишь в комбинации с хирургическими процедурами.

Можно ли обойтись народными средствами?

Несмотря на желание избежать визита к стоматологу, при развитии рецессии десны домашние средства, такие как травяные отвары, мази и полоскания, не смогут справиться с проблемой. Они способны лишь временно облегчить воспаление, но вернуть опущенный край десны невозможно без комплексного профессионального лечения.

Кроме того, без консультации специалиста невозможно точно определить причину проблемы, а значит, и подобрать адекватное лечение.

Однако и полностью переложить ответственность на врача не стоит. Для надежного результата важен регулярный и правильный уход за полостью рта:

Чистить зубы два раза в день, используя зубную щетку и пасту, которые рекомендует стоматолог, и обязательно соблюдая правильную технику чистки.

Аккуратно очищать межзубные пространства с помощью зубной нити, ершиков и ирригатора.

Применять специальные ополаскиватели для рта, которые назначает врач с учётом состояния ваших зубов и десен.

Профилактика

Профилактика имеет большое значение.

  • корректная гигиена полости рта: чтобы не травмировать десны, чистить зубы в течение 2-3 минут следует мягкой зубной щеткой, а для эффективного очищения труднодоступных мест - применять ирригатор. для ежедневной чистки подойдут пасты со средней степенью абразивности;
  • регулярные визиты к стоматологу: обязательно посещать врача не реже чем раз в 6 месяцев для профессиональной чистки зубов и осмотра состояния десен. Это позволит выявить проблемные пломбы, коронки и предотвратить серьезные осложнения.
  • коррекция бруксизма: если вы скрежетаете зубами, используйте защитные каппы, чтобы снизить нагрузку на зубы и десны;
  • исправление глубокого прикуса: неправильное распределение нагрузки на зубы может вызвать их износ и проблемы с деснами. Если боль вызвана неправильным прикусом, то пациенту показано своевременно пройти ортодонтическое лечение, которое позволит устранить неприятные ощущения;
  • здоровое питание: употребляйте достаточное количество витаминов C и D, а также кальций, чтобы поддерживать здоровье десен и зубов. Также избегайте воздействия твердой пищи, которая может повредить десны и зубы.

Если выполнять эти простые рекомендации, то возможно не только поддерживать здоровье десен, но и предотвратить повторное возникновение рецессии.