Найти в Дзене

От диагностики до идеала

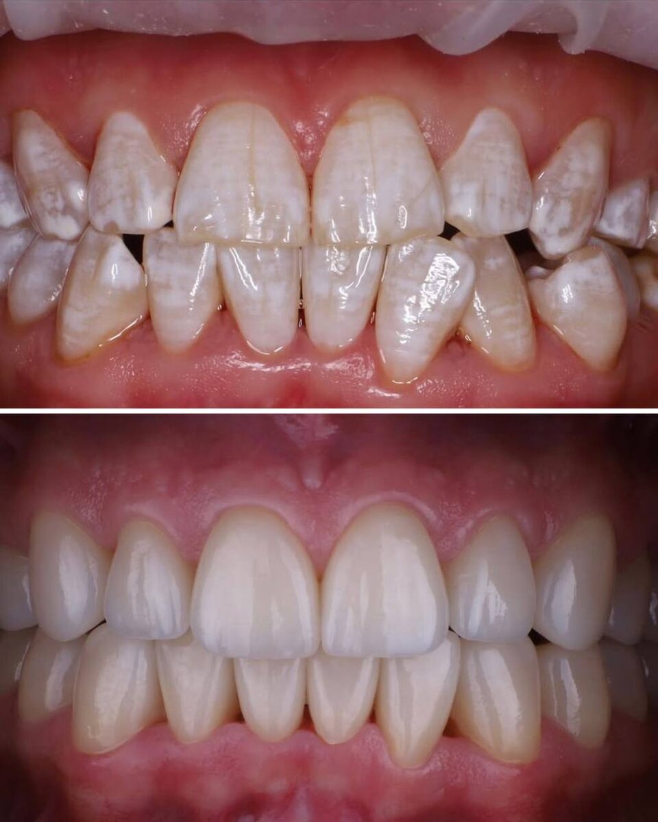
От диагностики до идеала! Пациент столкнулся с двумя серьезными проблемами: - Неровность зубных рядов, - Флюорозные пятна на передних поверхностях всех зубов. Чтобы вернуть красивую и здоровую улыбку, был разработан индивидуальный план лечения, состоящий из двух этапов: 1. Ортодонтия: Исправление положения зубов на элайнерах Invisalign. За два года пациент получил функциональный правильный прикус. Это подготовило основу для следующего этапа. 2. Эстетика и функциональность: После ортодонтии установили керамические виниры на все зубы, чтобы достичь идеального результата как в эстетике, так и в функции. Весь процесс занял около 2,5 лет. Однако конечный результат превзошел ожидания. Преобразим вашу улыбку с мастерством и заботой. 📍Мичуринский проспект, д.56 📞 +7 (495) 271 92 62 📞+7 (995) 797 94 94 #кейс@imclinic_dental #стоматологиямосква #стоматологиявМоскве #стоматология #эстетическаястоматология #стоматологияраменки Имеются противопоказания. Необходима консультация специалис

От диагностики до идеала!

Пациент столкнулся с двумя серьезными проблемами:

- Неровность зубных рядов,

- Флюорозные пятна на передних поверхностях всех зубов.

Чтобы вернуть красивую и здоровую улыбку, был разработан индивидуальный план лечения, состоящий из двух этапов:

1. Ортодонтия:

Исправление положения зубов на элайнерах Invisalign. За два года пациент получил функциональный правильный прикус. Это подготовило основу для следующего этапа.

2. Эстетика и функциональность:

После ортодонтии установили керамические виниры на все зубы, чтобы достичь идеального результата как в эстетике, так и в функции.

Весь процесс занял около 2,5 лет. Однако конечный результат превзошел ожидания.

Преобразим вашу улыбку с мастерством и заботой.

📍Мичуринский проспект, д.56

📞 +7 (495) 271 92 62

📞+7 (995) 797 94 94

#кейс@imclinic_dental #стоматологиямосква #стоматологиявМоскве #стоматология #эстетическаястоматология #стоматологияраменки

Имеются противопоказания. Необходима консультация специалиста.

-2
-3
-4
-5