Добавить в корзинуПозвонить
Найти в Дзене
Два Дантиста

Как брекет-система исправляет прикус?

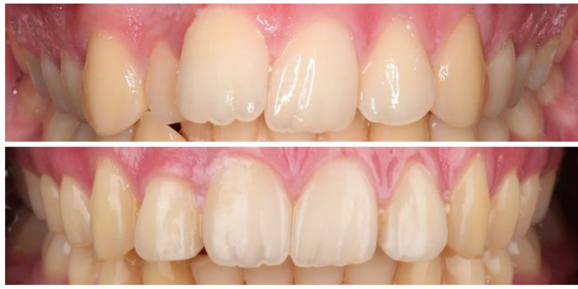
Пациент обратился к нам в клинику с эстетической проблемой внешнего вида зубов. После диагностики у врача-ортодонта клиническая картина показала:  Восстановление неправильного прикуса происходило с помощью брекет-ситемы. Установка брекет-системы Перед началом ортодонтического лечения врач осматривает ротовую полость на наличие кариеса, оценивает уровень гигиены, состояние зубов мудрости. И при необходимости направляет на лечение, удаление восьмерок или на профессиональную гигиену полости рта. Наш пациент прошел подготовительный этап, а также визуальный осмотр пропорций лица, расположения зубов в челюсти. На основе этой информации врач создал фотопротокол — серию снимков в разных ракурсах, чтобы оценить симметрию и учесть данные при формировании плана лечения. В исследование полости рта также входили: Сама установка конструкции может быть прямой и непрямой. При прямом методе врач приклеивает брекеты на каждый зуб, что было сделано нашему пациенту. При непрямом — часть манипуляций ортод

Пациент обратился к нам в клинику с эстетической проблемой внешнего вида зубов. После диагностики у врача-ортодонта клиническая картина показала: 

  • сужение зубных рядов, 
  • дефицит места, 
  • скученность зубов на верхней и нижней челюсти.

Восстановление неправильного прикуса происходило с помощью брекет-ситемы.

Установка брекет-системы

Перед началом ортодонтического лечения врач осматривает ротовую полость на наличие кариеса, оценивает уровень гигиены, состояние зубов мудрости. И при необходимости направляет на лечение, удаление восьмерок или на профессиональную гигиену полости рта.

Наш пациент прошел подготовительный этап, а также визуальный осмотр пропорций лица, расположения зубов в челюсти. На основе этой информации врач создал фотопротокол — серию снимков в разных ракурсах, чтобы оценить симметрию и учесть данные при формировании плана лечения. В исследование полости рта также входили:

  • рентгеновские снимки;
  • панорамный снимок челюсти;
  • слепки челюстей для моделирования системы на компьютере;
  • исследования артикуляции.

Сама установка конструкции может быть прямой и непрямой. При прямом методе врач приклеивает брекеты на каждый зуб, что было сделано нашему пациенту. При непрямом — часть манипуляций ортодонт выполняет вне полости рта. Он рассчитывает точки крепежа, располагает замки, соединяет их дугой из металла. Далее систему помещают в каппу и размещают на зубах.

Продолжительность такой процедуры — 1-1,5 часа.

Действие ортодонтической конструкции

-2

По данному случаю лечение на брекет-системе заняло чуть больше года. В этот период работа брекетов происходила с помощью двух элементов — дуги и замочков. Брекеты, зафиксированные на единицах, держали металлическую дугу с памятью формы. Дуга стремилась вернуться в правильное положение, оказывая тягу на зубы и двигая их при этом.

Чтобы создать правильный зубной ряд и правильный прикус, стоматолог-ортодонт клиники «Два Дантиста» перед началом лечения рассчитал типы дуг, их количество и срок ношения. Делается это для того, чтобы перемещение было постепенным и не травмировало связочный аппарат и костную ткань.

-3

Лечение закончилось эффективным результатом. Скученность была устранена, зубные ряды расширились, в боковых отделах сформировались плотные контакты между зубами, получилась гармоничная арка улыбки.

Пациент получил красивый и ровный внешний вид линии зубов и правильную работу челюстей. 

Записаться в клинику «Два Дантиста» можно через сайт или по тел. 8 (812) 223-43-29