Добавить в корзинуПозвонить
Найти в Дзене

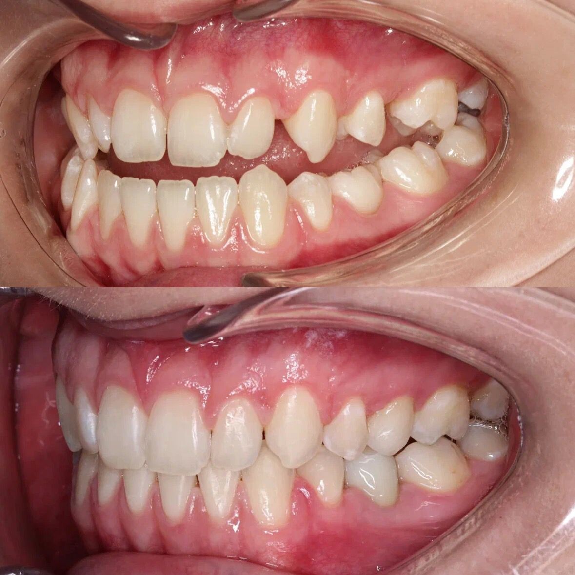
Разбор ортодонтического кейса

Доктор: Хачатрян Лариса Рубеновна Пациент: Сироткина М.Ю Проблема : Дисфункция височно-нижнечелюстного сустава. Мезиальная окклюзия ( выступание нижней челюсти вперед), открытый прикус, сужение верхнего зубного ряда, ретенция зубов 1.5,2.5 (непрорезавшиеся зубы), первичная адентия 3.5 (отсутствие зачатка постоянного зуба). Решение : лечение дисфункции сустава с последующим ортодонтическим на брекет-системе Этапы лечения: миорелаксирующая каппа на 3 мес (сплинт-терапия), далее ортодонтическое лечение на брекет-системе В результате: - Нормализовали прикус пациентки, добились правильного смыкания зубов. - Сопоставили центральные линии верхнего и нижнего зубных рядов, получив красивый, а главное, функциональный результат. Как вам итог? Пишите в комментариях, как вам изменение улыбки?

Доктор: Хачатрян Лариса Рубеновна

Пациент: Сироткина М.Ю

Проблема : Дисфункция височно-нижнечелюстного сустава. Мезиальная окклюзия ( выступание нижней челюсти вперед), открытый прикус, сужение верхнего зубного ряда, ретенция зубов 1.5,2.5 (непрорезавшиеся зубы), первичная адентия 3.5 (отсутствие зачатка постоянного зуба).

-2

Решение : лечение дисфункции сустава с последующим ортодонтическим на брекет-системе

Этапы лечения: миорелаксирующая каппа на 3 мес (сплинт-терапия), далее ортодонтическое лечение на брекет-системе

-3

В результате:

- Нормализовали прикус пациентки, добились правильного смыкания зубов.

- Сопоставили центральные линии верхнего и нижнего зубных рядов, получив красивый, а главное, функциональный результат.

-4

Как вам итог?

Пишите в комментариях, как вам изменение улыбки?