Найти в Дзене

МРТ-Рассеянный склероз⁠⁠

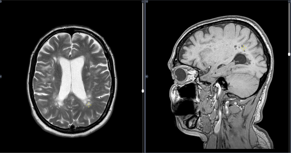
Рассеянный склероз – это хроническое аутоиммунное заболевание центральной нервной системы, при котором иммунная система ошибочно атакует миелиновую оболочку нервных волокон, вызывая воспаление и повреждение. В белом веществе полушарий головного мозга выявляются множественные очаги высокого МР- сигнала в Т2- ви и FLAIR, изо-, гипоинтенсивные в Т1, размерами до 7х7 мм. Большинство очагов паравентрикулярной локализации имеет продолговатую форму, ориентированы перпендикулярно оси мозолистого тела, отдельные расположены юкста- субкортикально, имеют округлую и неправильную форму, часть очагов в перивентрикулярных отделах со склонностью к слиянию. ОБЩЕЕ КОЛИЧЕСТВО ГИПЕРИНТЕНСИВНЫХ ОЧАГОВ В РЕЖИМАХ Т2-ВИ И Т2-FLAIR: - Юкстакортикальные/кортикальные очаги Т2: до 8 штук. - Перивентрикулярные очаги Т2: более 10 штук. - Инфрантенториальные очаги Т2: 2 очага. ОБЩЕЕ КОЛИЧЕСТВО ОЧАГОВ, НАКАПЛИВАЮЩИХ КОНТРАСТНОЕ ВЕЩЕСТВО В РЕЖИМЕ Т1-ВИ GD+: - Перивентрикулярные очаги Gd+: 1 очаг. Критерии пересмотра
Оглавление

Рассеянный склероз – это хроническое аутоиммунное заболевание центральной нервной системы, при котором иммунная система ошибочно атакует миелиновую оболочку нервных волокон, вызывая воспаление и повреждение.

Основные характеристики:

  1. Аутоиммунный процесс – иммунные клетки разрушают миелин (защитную оболочку нервов).
  2. Очаговое поражение – в головном и спинном мозге образуются множественные рубцы (склероз).
  3. Хроническое течение – болезнь прогрессирует с периодами обострений и ремиссий.

Симптомы:

  • Мышечная слабость, спазмы.
  • Нарушения координации (атаксия).
  • Онемение, покалывание в конечностях.
  • Проблемы со зрением (неврит зрительного нерва).
  • Усталость, когнитивные нарушения.
  • Нарушения мочеиспускания.

Факторы риска:

  • Женский пол (2-3 раза чаще, чем мужчины).
  • Возраст 20-40 лет.
  • Генетическая предрасположенность.
  • Дефицит витамина D.
  • Курение, вирусные инфекции.

-2
-3
-4

В белом веществе полушарий головного мозга выявляются множественные очаги высокого МР- сигнала в Т2- ви и FLAIR, изо-, гипоинтенсивные в Т1, размерами до 7х7 мм.

Большинство очагов паравентрикулярной локализации имеет продолговатую форму, ориентированы перпендикулярно оси мозолистого тела, отдельные расположены юкста- субкортикально, имеют округлую и неправильную форму, часть очагов в перивентрикулярных отделах со склонностью к слиянию.

ОБЩЕЕ КОЛИЧЕСТВО ГИПЕРИНТЕНСИВНЫХ ОЧАГОВ В РЕЖИМАХ Т2-ВИ И Т2-FLAIR:

- Юкстакортикальные/кортикальные очаги Т2: до 8 штук.

- Перивентрикулярные очаги Т2: более 10 штук.

- Инфрантенториальные очаги Т2: 2 очага.

ОБЩЕЕ КОЛИЧЕСТВО ОЧАГОВ, НАКАПЛИВАЮЩИХ КОНТРАСТНОЕ ВЕЩЕСТВО В РЕЖИМЕ Т1-ВИ GD+:

- Перивентрикулярные очаги Gd+: 1 очаг.

Критерии пересмотра MакДональда 2017 соблюдены:

1. Диссеминация в пространстве : >1 Т2 гиперинтенсивного очага > 3 мм по длинной оси - да

Перивентрикулярно: 1 и более очагов - да

Юкста--субкортикально: 1 и более очаг - нет

Инфратенториально: 1 и более очаг - да

Заключение:МР - признаки очаговых изменений головного мозга демиелинизирующего характера с признаками активности процесса.

Диагностические критерии Мак-Дональда (2017)- https://radiographia.info/article/mak-donalda-diagnostichesk...

Категория годности с диагнозом рассеянный склероз по ст.22(Воспалительные, демиелинизирующие болезни центральной нервной системы и их последствия:) а (Лица, страдающие рассеянным склерозом, освидетельствуются по пункту "а" вне зависимости от степени нарушения функций.)- Д (не годен к военной службе) по I, II, III графам.

https://t.me/MME_SurgeryRadiolodgy

https://vk.com/club223629464

https://boosty.to/mme_surgery_radiology