Найти в Дзене
N + 1

«Звездное небо» на томограмме мозга корейца оказалось проявлением туберкулеза

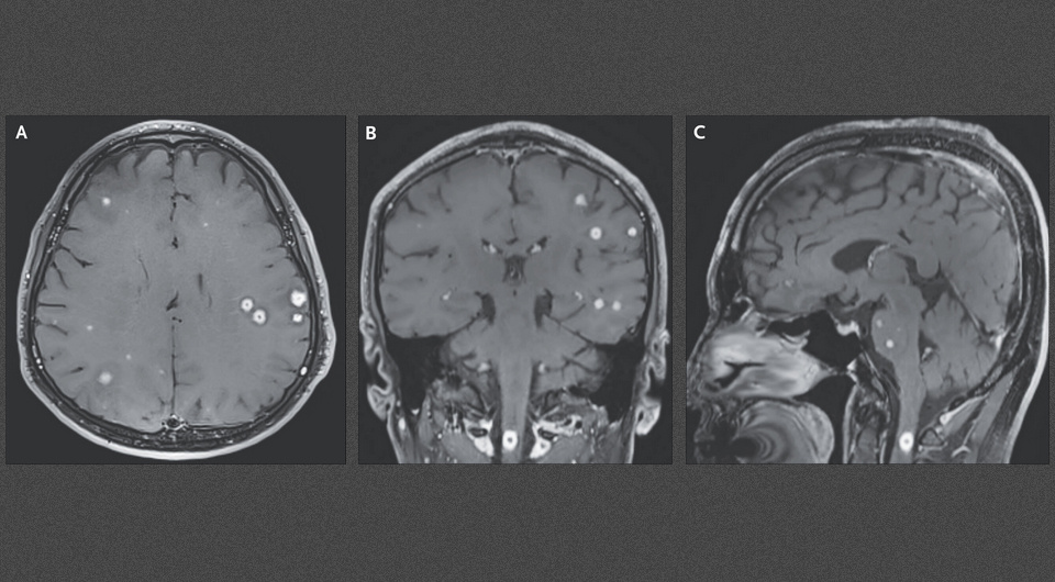
В корейскую клинику поступил 57-летний мужчина, ранее лечившийся от туберкулеза, с жалобами на головную боль, боль в шее и покалывание в кисти правой руки в течение двух недель. При осмотре определялась сниженная сила хвата правой руки. Компьютерная томография грудной клетки выявила милиарные узлы. На МРТ головы с контрастным усилением наблюдался феномен «звездного неба» — многочисленные мелкие сферические узлы с периферическим усилением сигнала в больших полушариях, базальных ганглиях, мозжечке и стволе мозга, а также в верхних отделах спинного мозга с окружающим отеком. Вовлечения мягких мозговых оболочек не наблюдалось. Анализ цереброспинальной жидкости был нормальным, бактерии из нее не высевались. Посев мокроты оказался положительным на туберкулезную микобактерию (Mycobacterium tuberculosis). Врачи Ин Сук Пэ (In-Suk Bae) и Юн Кхи Парк (Yung Ki Park) из Медцентров Ыльджи в Новонгу и Ыйджонбу описали этот случай в New England Journal of Medicine. По результатам обследования пациенту

В корейскую клинику поступил 57-летний мужчина, ранее лечившийся от туберкулеза, с жалобами на головную боль, боль в шее и покалывание в кисти правой руки в течение двух недель. При осмотре определялась сниженная сила хвата правой руки. Компьютерная томография грудной клетки выявила милиарные узлы. На МРТ головы с контрастным усилением наблюдался феномен «звездного неба» — многочисленные мелкие сферические узлы с периферическим усилением сигнала в больших полушариях, базальных ганглиях, мозжечке и стволе мозга, а также в верхних отделах спинного мозга с окружающим отеком. Вовлечения мягких мозговых оболочек не наблюдалось. Анализ цереброспинальной жидкости был нормальным, бактерии из нее не высевались. Посев мокроты оказался положительным на туберкулезную микобактерию (Mycobacterium tuberculosis). Врачи Ин Сук Пэ (In-Suk Bae) и Юн Кхи Парк (Yung Ki Park) из Медцентров Ыльджи в Новонгу и Ыйджонбу описали этот случай в New England Journal of Medicine.

  In-Suk Bae, Yung Ki Park / NEJM, 2025
In-Suk Bae, Yung Ki Park / NEJM, 2025

По результатам обследования пациенту поставили диагноз туберкулем центральной нервной системы на фоне милиарного туберкулеза легких. Туберкулемы центральной нервной системы представляют собой очаги гранулематозного воспаления в местах проникновения микобактерий через кровь из первичного очага, без лечения они со временем увеличиваются в размерах и подвергаются казеозному некрозу и кальцификации. Они могут сопровождаться или (как в этом случае) не сопровождаться туберкулезным менингитом. Мужчине назначили схему антимикобактериальной терапии и дексаметазон. Примерно через месяц симптомы заболевания начали уменьшаться, при контрольном обследовании через 18 месяцев они полностью отсутствовали, и МРТ головы была нормальной. Феномен «звездного неба» на МРТ чаще всего наблюдается при цистицеркозе — инвазии мозга личинками обитающего в кишечнике свиного цепня, но может возникать и при туберкулемах, шистосомозе, лихорадке Скалистых гор, японском энцефалите и некоторых других поражениях центральной нервной системы. В свою очередь, воспаление твердых мозговых оболочек может проявляться на МРТ признаком ночной Эйфелевой башни.