Добавить в корзинуПозвонить
Найти в Дзене
Parodoctor

Как мы эмаль родную пилили варварски. А это и не эмаль была

Вчерашнее видео про удаление композитных виниров открыло портал в ад. Я и представить себе не могла, что народ не отличит несостоятельный композит от родной эмали человека. Раз в 5 минут заглядываю в комментарии, а там - сюрприз. Моя вера в человечество ещё никогда не была так близка к краху, держалась на последней нитке. Объяснять всем и каждому, что всё не так, как они подумали? У меня нет такого запаса душевных сил. Закрыла комментарии, решила написать эту статью. Надо попытаться обяснить людям, как отличить пломбу от зуба. Если в своём рту не различать пломбы и эмаль, то это опасно - надурить такой народ проще простого. Зубы, заметьте, есть (или были) у всех, это не только соседа касается. Давайте повышать уровень насмотрености и грамотности. Сколько открытий чудных сулит нам микроскопа новый мир, чую. То весь зуб мы разворошили, когда кариес лечили (а это пломба была!), то теперь, вот, до ортопеда неадекватного добрались (пилит хорошую эмаль, чертяка сумасшедший!). Вот, кто ещё
Оглавление

Вчерашнее видео про удаление композитных виниров открыло портал в ад. Я и представить себе не могла, что народ не отличит несостоятельный композит от родной эмали человека.

Раз в 5 минут заглядываю в комментарии, а там - сюрприз. Моя вера в человечество ещё никогда не была так близка к краху, держалась на последней нитке. Объяснять всем и каждому, что всё не так, как они подумали? У меня нет такого запаса душевных сил. Закрыла комментарии, решила написать эту статью.

Надо попытаться обяснить людям, как отличить пломбу от зуба. Если в своём рту не различать пломбы и эмаль, то это опасно - надурить такой народ проще простого. Зубы, заметьте, есть (или были) у всех, это не только соседа касается. Давайте повышать уровень насмотрености и грамотности.

-2
Сколько открытий чудных сулит нам микроскопа новый мир, чую. То весь зуб мы разворошили, когда кариес лечили (а это пломба была!), то теперь, вот, до ортопеда неадекватного добрались (пилит хорошую эмаль, чертяка сумасшедший!).

Вот, кто ещё не видел проделки ирода окаянного, полюбуйтесь:

Не являюсь поклонником и сторонником чёрного пиара и дешёвого хайпа, поэтому комментарии под видео открывать не буду. Не ожидала такого искажения реальности, когда выкладывала работу ортопеда в сеть. Для меня это был большой сюрприз.

В моём тг канале было меньше экспрессии и именно там вчера делилась грамотой - снимками до, пояснениями. А то тоже было грустно:

Я за разумное, доброе, полезное. Ведь именно такое направление выбрано - рассказывать, как правильно.

Сейчас разберёмся не в правильнонеправильном, а в базовой базе. Вы пломбы видели? Если не будет границы зуб/пломба - всё, не отличите хорошую реставрацию от плохой?

Тогда композитные виниры вам покажутся тем, что ПРИРОДА создала для защиты зубов и для пущей красоты. Но всё это очень не точно...

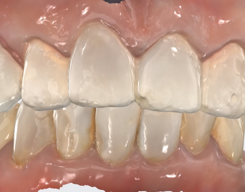
Композитные виниры на фронтальных зубах нижней челюсти
Композитные виниры на фронтальных зубах нижней челюсти

Композитные - созданные из пломб (а пломба у нас, обычно, сделана из светоотверждаемого материала - композита).

Виниры - реставрации, закрывающие ту часть зуба, что могут видеть другие люди, не заглядывая человеку глубоко в рот.

Похоже то, что сверху на фото, на эмаль человека? Как стоматолог отвечу за вас - нет. Даже при флюорозе и тетрациклиновых зубах эстетики больше наблюдается. Поэтому, вполне объяснимо желание пациента от таких реставраций избавиться.

Уверена, что будут и те, кто скажет/напишет/подумает, что лучше оставить всё, как есть и жить не отсвечивая. Это их выбор, любое решение имеет право на существование. Только тут человек выбрал иной путь. И это НОРМАЛЬНО.

Как отличить пломбу от эмали

Вся фронтальная поверхность зубов состоит из несостоятельных пломб
Вся фронтальная поверхность зубов состоит из несостоятельных пломб

Пока пломба свежа и блестяща, отличить её от тканей зуба бывает сложно даже профессионалу. Но это от мастера зависит, который пломбу устанавливал. Со временем без полировок и ТО композит, который выполняет роль винира, теряет блеск, получает те или иные повреждения, в местах прилегания к зубу окрашивается.

Я не буду обсуждать плюсы и минусы композитных виниров сейчас, статья о другом.

Родная эмаль у даного человека темнее композитных реставраций. Так же она более гладкая и равномерная (не считая истираемости на режущих краях и налёта в пришеечных областях некоторых зубов).

Если так отличить не удаётся, то в помощь на рентгенология. Пломбировочные материалы, в подавляющем своём большинстве, рентгеноконтрастны. Так же, как и различные коронки. Посмотрим на Rg пациента, из-за чьих зубов случился холивар:

Своя родная эмаль не будет столь ярко светиться почти никогда
Своя родная эмаль не будет столь ярко светиться почти никогда

Так же как и каналы зубов, подвергшихся эндодонтическому лечению.

-8

Посмотрим на мои зубы - пара пломб да коронка (правая сторона головы):

Родные ткани не контрастируют ярко, в отличие от пломб
Родные ткани не контрастируют ярко, в отличие от пломб

Ну и визуализацию КТ тоже оценим, раз уж такое дело серьёзное у нас с вами сегодня:

Верхний снимок - фронтальная поверхность, нижний - вид со стороня языка и нёба (виниры)
Верхний снимок - фронтальная поверхность, нижний - вид со стороня языка и нёба (виниры)

Надеюсь, теперь хоть кому-то будет легче отличить пломбу от родных тканей зуба.

Разбор видео - спилили хорошую эмаль

Кадры нарезала, пометки поставила. Смотрим:

Белое - не эмаль
Белое - не эмаль

Спиливают никакую не эмаль. Это композитный материал.

Светлое - не эмаль!
Светлое - не эмаль!

Родной цвет зубов можно наблюдать под слоем композитного материала. Ортопед почти снял виниропломбы (остались в межзубных пространствах):

-13

А вот теперь убрал основную часть (черновая обработка зубов под коронки):

Обработка зубов под коронки, убраны старые реставрации
Обработка зубов под коронки, убраны старые реставрации

То есть, это не за счёт эмали зубы стояли друг к другу близко, а за счёт искусственного материала. Сами по себе зубы не толстые, достаточно небольшие. Скорее всего, под композитные виниры тоже было препарирование (не нами проводилось).

А вот тут можно посмотреть предварительную ширину уступа (то, на что будет опираться будущая коронка):

-15

В общем, никто не творил дичь. Всем показалось. Вот такая она, работа стоматолога. Надо чётко различать где реставрация, где зуб, где зубные отложения, а где кариес.

Мы всегда за щадящую обработку, даже в этом случае ортопед хотел установить виниры E-max и выполнить обработку под них, не затрагивая язычную поверхность зубов. Но воля пациента - человеку более надёжным кажется вариант коронок. Без проблем.

Вывод

Оказывается, то, что понятно мне и другим врачам-стоматологам как ясный день, для людей сторонних дремучий лес. Банальные вещи требуют объяснения.

Не смогу подстелить соломку, с 2023 года активно веду канал и мне чётко виделось, что подписчики уже всё понимают и во всём разбираются. Я, конечно, слышала о других людях, кто далёк от зубной темы совершенно, но настолько замылилось восприятие, что даже не осознавала их близость. А тут, оказывается, даже давние обитатели моих соцсетей стушевались.

Люди - не стоматологи. Белое на фото и на видео для них - хорошая эмаль (никто не всматривается толком). Бором вжуууххх это хорошебелое - ужасная экзекуция свершилась!

Так как я представить не могу,какая ещё базовая штука может народ испугать, то угадывать не берусь. Как случится переполох - будем объясняться и разбираться.

Микроскоп, повторюсь, открывает новую эру контента. То, что видит своими глазами врач в момент работы, теперь доступно глазам сторонним. Такого на камеру смартфона и/или иную видеокамеру не заснять - в рот не залезешь с большим инструментом съёмочным.

Как мы работали с челюстью верхней, можно посмотреть в статье (и почему них оставлять в прежнем виде было бы странно):

На вопросы оперативно отвечаю в тг канале:

Parodoctor

С уважением, Лежачёва Наталия Александровна, хирург-пародонтолог и главный врач стоматологии Parodent, СПб.