Найти в Дзене
Белка в позе

Дежурство с 10.05. На 11.05.25(длинное)

Здравствуйте🤝 Хорошо это или плохо , но дежурство наплывом посетителей особо не отличалось. Да , для нас-то хорошо , а для следующей смены не очень . Все вернутся с отдыха , с дач или с баз , и , вспомнив, что у них тут вот царапинка , а тут вот синячок , придут, никуда не денутся , так всегда бывает в последний выходной перед работой, а тут еще и длительные выходные. Мы уже привыкли к этому. Я всю смену подкалываю Петровну, которая , хоть и имеет стаж двадцать лет , но как работать на ЭОПах (рентгенаппарат) представление имеет смутное , если не сказать, что совсем никакого. Она , конечно, рассчитывает надавить на начальство , сыграв на том , что она "самый больной Карлсон в мире", только в этот раз , как показала практика , не выйдет сыграть на добросердечности начальства. –Ну , что ты ее дразнишь? –спросила Ульяна . –Видишь же , она злится уже. –Да потому что мне с ней работать, она будет делать "умный "вид за пультом управления ангиографом , а я буду в жилете жариться! –Ну ты же та

Здравствуйте🤝

Хорошо это или плохо , но дежурство наплывом посетителей особо не отличалось. Да , для нас-то хорошо , а для следующей смены не очень . Все вернутся с отдыха , с дач или с баз , и , вспомнив, что у них тут вот царапинка , а тут вот синячок , придут, никуда не денутся , так всегда бывает в последний выходной перед работой, а тут еще и длительные выходные.

Мы уже привыкли к этому.

Я всю смену подкалываю Петровну, которая , хоть и имеет стаж двадцать лет , но как работать на ЭОПах (рентгенаппарат) представление имеет смутное , если не сказать, что совсем никакого.

Она , конечно, рассчитывает надавить на начальство , сыграв на том , что она "самый больной Карлсон в мире", только в этот раз , как показала практика , не выйдет сыграть на добросердечности начальства.

–Ну , что ты ее дразнишь? –спросила Ульяна . –Видишь же , она злится уже.

–Да потому что мне с ней работать, она будет делать "умный "вид за пультом управления ангиографом , а я буду в жилете жариться!

–Ну ты же там будешь! Вот и подскажешь ей!

Ага) конечно) вот и пусть потерпит тогда мои милые подколы)

Днем я уже не смогла сдержаться от явного троллинга над Петровной. Кабинет помыли , пол высох, а пока происходила уборка, под кабинетом образовалась очередь из пациентов. Работать черёд Петровны.

–Петровна , пациенты ждут, –позвала я ее из сестринской.

Она пошла на выход из сестринской , собираясь поработать.

–Стой! Погоди , а ключ -то от кабинета возьми!

Та берет ключ(от сестринской) и идет к кабинету, не заметив , что я хихикаю .

Да ладно она его взяла, она ж и пыталась им открыть рабочий кабинет)) увидев , наконец , что я откровенно смеюсь(не то слово), до нее доходит , что кабинет у нас вообще не заперт, а ключ , которым она пыталась открыть замок так-то от сестринской))

Пришлось мне спешно ретироваться на улицу, Петровна показала мне кулак!))

***********************

Заходит парень , 20 лет. Назначили снимок лучезапястного сустава.

Рука чуть припухла.

–Бил что ли кого?

–Да скорее меня били! Вчера.

Нормально, на гипс потянет. Хорошо отпраздновал.

*********************

Завозит санитарка приемника каталку. На удивление , пациент раздет, проходит по отделению сочетанной травмы. Назначено снимать голову, легкие , таз и голень.

Подхожу к пациенту , и в нос шибает запах и немытого тела и перегара. Маска при этом не спасает.

Смотрю в базе , да , БОМЖ.

–Что случилось?

–С шестнадцатого этажа упал!

–С какого!?

–Да шучу я , метров с полутора.

–Почему упал?

–На салют вчера засмотрелся!

–Ну, и как салют?

–Зашибись(не то слово )! Понравился.

Ночь бомж Сергей промучился , а утром вызвал скорую(не удивляйтесь, у него есть мобильник, да , простенький, но есть).

-2

Сломал знатно. Теперь будет обеспечен кровом и едой, как минимум на полгода. Его не выпишут после операции, некуда.А там смотреть уже будут , как по состоянию.

**********************

Заходит пациентка, 52 года , на снимок "плечевого" (так в направлении написано), рука крепко примотана платком к телу.

–Кто вам примотал так?

–Муж.

–А бюстгалтер не догадались снять?

–Нет.

–Ну , значит, сейчас потерпеть придется, нужно лямки спустить.

Под стоны и причитания начала стягивать лямки.

–Да вы разрежьте лучше лямку, –просит пациентка.

Пришлось взять ножницы и аккуратно срезать сзади по шву лямку.

–Где так упали?

–Да со стула , встала на него, и как "драбалызнулась"!

–На стул-то зачем полезли?

–За кастрюлей, там , на антресоли.

Снимаю сустав, он целый , но , я-то вижу , что там перелом есть. Ругаясь про себя, снимаю всю кость.

-3

Сломала. Ей выполнили репозицию , но к нам не госпитализировали, нет мест, за праздники пациентов наложили "мама не горюй". Отписали временно по месту жительства. В очередь поставят , наверное.

Кстати, репонировали очень хорошо

-4

**********************

Мужчина на снимок пришел, 50 лет, плечевой сустав назначили. Красное лицо выдает его с потрохами, что праздники проводил под градусом.

Сломал хирургическую головку.

Нужен второй снимок , трансторакальный(через бок), чтобы посмотреть на смещение.

–Закидывайте правую руку на голову, выше! –командую я.

–Не могу! –Вредничает пациент.

–Что с правой рукой?

–Тоже была сломана.

–Ну , потихоньку тогда и нагибайтесь вбок, вот таким способом, –наклоняю я корпус пациента в нужную позицию.

–Да ты что !? Не видишь что ли !? Не могу я!? –Не выдерживает пациент.

–Так, истерики мне не устраиваем! –Не выношу я алкогольных истерик от пациентов. Пить можете , значит , и постоять тоже сможете! –Эти снимки не мне нужны, а вам и врачам. Стоим, не двигаемся, снимок!

Вот , знаете , я почему -то тут все могу! И запахи перегара нюхать, и уговаривать. Может тоже затопать ножонками с криками , что я "не могу нюхать перегар уже"!

Маску же можно надеть , на такой случай!

Моя на мне меня не спасает)

**********************

Осторожный звонок в дверь. Открываю, женщина 33 года и ребенок 6 лет.

–Вот , возьмите, –протягивает мне пациентка два направления. –Нас двое.

–Ну , значит, заходите обе!–Приглашаю я "девчонок" с садинами на лицах, а у старшей еще и локоть забинтован. –Что с вами произошло?

–С велосипеда мы упали, –объяснила мама.

–Ну , кто первый пойдет на снимки? Кто смелый? Наверное, ты? –спрашиваю девчушку .

Та отрицательно мотает головой и слезки на колесках появляются.

Приходиться включать массовика-затейника 80-го левела(уровня).

–Все , поняла , ну, тогда мама будет первая , а мы с тобой ей будем снимки делать, будешь?

–Да, –соглашается ребенок.

Нарядила и маму и ребенка в защитные жилеты. На второй снимок девочка уже сама нажимала кнопку в пультовой. Сначала просто прикоснулась к кнопке, естественно , не дожав ее.

–Нет , милая , дави до конца , сильно!

Получилось. И на остальные снимки сама давила кнопку после команды"жмякай"!

И ей потом сделали снимки черепа. Сидела беспрекословно.Есть во мне что-то от бабушки и дедушки, к слову , профессиональных актеров театра.

Да я б и не против , когда есть время , и поговорить с испуганным после травмы и обстановкой ребенком , но , очередь же напирает.

Пока их снимала , дверь открылась:

–Можно? –задал в открытые двери вопрос пациент, с перебинтованной головой и в заляпанной красными пятнами рубашке.

–Нет , не можно, у нас занято, разве не видно? Приглашу.

В общем , выпроводила "девчонок", пожелав на будущее не падать с велосипедов.

*********************

Пригласила того мужчину , который так бесцеремонно рвался в занятый кабинет.

–Вы разве не видели , что лампа горела с надписью "не входить", а на двери написано , что нужно позвонить? –Училка тоже во мне не дремлет.

–Извините, но голова так болит, не увидел совсем, сказали "иди на рентген", вот и пришел.

Он не наглый , да , я понимаю все, болит голова .

–А что с головой случилось?

–Да , драка небольшая вышла, мне бутылкой по голове дали.

К снимкам головы ещё и плечевой сустав назначили.

–А с плечом -то что? Упали?

–Нет, это уже остатки от бутылки в меня воткнули!

🤦

Ну что ж это за такое!

Да , по пациенту видно , что зашибает хорошо, но , так же видно , что воспитанный, видимо , жизнь не сложилась.

Целые косточки , пошел на ПХО (первичную хирургическую обработку раны).

**********************

Пришла пациентка , 46 лет , на снимок лучезапястного. Луч сильно распухший, но , имеются странные царапины.

–Собака покусала, –пояснила пациентка.

–Чужая?

–Нет , наша , овчарка, кинулась и за руку оттаскала!

К нам обычно с укусами не отправляют на снимки, ставят там противостолбнячную вакцину и выписывают, но тут вот отправили.

Кости к счастью целые.

**********************

Вечереет.

Завозят пациентку на сидячей каталке, 47 лет. Поскользнулась на траве. Назначили снимки левого лучезапястного сустава и правого колена.

–Это я еще сгруппировалась, а так бы совсем расшиблась!

Нет, уважаемая , это вы как раз не сгруппировались! Не успели потому что, для группировки нужен навык и скорость, а тут две разных стороны тела и лево и право.

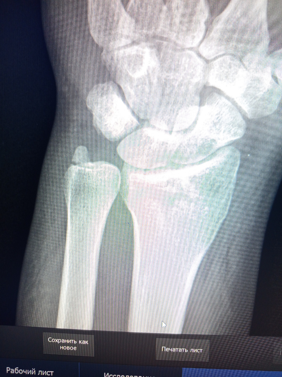
Коленка(кости) целая , а лучевую кость сломала.

-5

**************************

Мужчина , 37 лет , пришел на снимок кисти, какая-то стружка травмировала палец.

-6

Ну , точнее , не стружка, а полноценный отломок от какого-то сверла, да еще и с проникновением в костную ткань.

Кстати, такой отломок проще достать , чем мелкую стружку.

Так и вышло , чуть позже пришел на контроль.

-7

*************************

Пришла пациентка из приемника хирургии на снимок брюшной полости.

–Коронки проглотила, –пояснила она.

–Сегодня? –Спрашиваем . Это важно, нужно понимать , какую часть брюшной полости снимать.

–Нет , еще седьмого числа. Да я уже несколько раз рылась там, нет их , не выходят! Просмотреть точно не могла!

-8

Да, застряли коронки и в толстом кишечнике и вверху, в сальнике что ли?

–Что же сразу не пришли!? Не заметили что ли?

–Да почему же? Заметила , но , только я ведь умная , у меня сестра врач! Ждала , что вылезут естественным путем!

Галя! У вас сифонная клизма!

*************************

-9

11.05.

Дюнь-дюнь.

Ребенка принесли , тридцать шесть недель. Заносит папа со словами"нам сказали, что маме нельзя , она кормит".

Да , нежелательно, заплаканную маму отправляю подальше из коридора рентгенотделения.

–С какой стороны ударился ребенок?

–Да мы даже не знаем, –пояснил папа , но ответ не удивил.

–А точно ударилась?

–Она с машинки упала , со стиральной.

👀

Нам хоть и запретили комментировать действия родителей , но , не могу удержаться , чтобы не спросить:

–А почему она у вас лежала на стиральной машинке??

Нет , я точно телеграм заведу, хоть от души выскажусь))

–Нам там удобнее всего ее пеленать, машинка большая такая, знаете? А тут она повернулась и упала.

Конечно , ребенок уже во всю вертится в таком возрасте, и зачем его пеленать , мне лично неясно, да и бортиков на машинке нет!

Все, молчу, ничего не говорю. Малышка спит, но нужно точно знать , нет ли перелома.

По снимкам кости целые, решено было откатать на КТ. И по КТ картина без особенностей.

Может , хоть после этого на машинку ребенка укладывать не будут?

**********************

Хирургия завозит пациента, 50 лет, на снимок легких. Нож.. ое.Пациент в сознании, явно проникающего нет.

–Кофту снимайте!

Кассету заворачиваю в пакет.

–Да там просто кофта!

–Нет , она с рисунком , нужно снять!Кто вас так?

–Подруга любовницы! Повело ее , за подружку обиделась.

–Трезвая?

–Да ну щас прям! Расследование она по соцсетям провела! И давай предъявлять!

Сняла легкие. Хорошо , что предъявляла поверхностно только)

*********************

Смотрю , что в базе "висит" пациентка, но , до меня не дошла , а значит , пошла ее искать сама.

Стоит девушка с полицейским, дает объяснения , значит , травма криминального характера.

–Такая-то?

–Да.

–Пойдемте , снимки нужно сделать.

Замечаю слева неплохой такой синяк , только-только набирающий цвет.

–Ударили?

–Ну да , с кулака прямо, я и сознание потеряла даже.

–Случайно?

–Прям! Бывший мой , успокоится не может! Пришел на "поговорить".

–А не говорить с ним нельзя?

–Пробовала, а утром мусор убирала!

–?

–Я в частном доме живу, а он принес с ближайшей мусорки пакеты с мусором и всю ночь , судя по количеству мусора , высыпал мне за ограду. Мстил. Самое интересное, он взрослый уже , на двадцать лет меня старше!

Да ,первые пятьдесят лет детства у мужчины самые сложные!

–А нельзя вам парня найти , который объяснит вашему бывшему , что так вести себя не подобает?

–Вот мне тоже уже посоветовали! Я в раздумьях!

Девушка такая хорошая! Надеюсь , избавится от бывшего.

************************

Рука правая от постоянного ношения кассет 35 на 35 заболела, они , к слову нелегкие, мышца натрудилась , болит.

Пойти что ли в травмпункт?)))

Слышу , какая-то возня в коридоре и разговоры, выглядываю.

Идет какой-то молодой парень , но в сопровождении двух "скоряков" и девушки. Вижу , что ко мне.

Парень ругается , высказывает недовольство , но без матов.

–Ты бумажку отдай, –говорит фельдшер парню , увидев , что я протянула руку за направлением.

–Заходите, вот на стул усаживайтесь, –завожу недовольного.

Я думала , что ему лет 16, ан , нет , 22 года.

–Что ты ругаешься , что случилось?

–Да а почему они мне так говорят?

–Они –это кто , ты про кого сейчас?–Парень нетрезв, поэтому к действительности относится не совсем адекватно

–Да про врачей!

–Со скорой помощи?

–Нее, эти нормальные , заметьте , я им слова плохого не сказал! Ну , как и вам. К этим же зашел , так начали мне , мол , ты нетрезвый , да люди служат, а ты! А что я? Я так-то тоже отслужил! Да какое право они имеют? Сами так в тепле , а я там везде был, недавно вернулся!

Сегодня дежурит сам заведующий травмпункта, он у нас мужчина суровый, но врач отличный. За словом в карман не лезет , видимо ,молодой пациент что-то сказал такое , на что наш заведующий отреагировал крепким словом и понеслось...

Пришлось молодого пациента немного осадить, напомнив , где он находится и кто мы здесь.

Понял , вроде , уходил обратно , заметно успокоившись.

Целые кости кисти.

***********************

Ульяна меня сменила, надо б идти уже, раз провожают. Выходного у меня не будет, только отсыпной, 12-го на сутки в приемник.

Некому работать, говорят.

Как некому, мы -то на что?

Пошла я спать, не люблю я это "сутки через сутки". А еще и 13 -го на маммографию с утра. Первый раз пойду.

Всем спать и на рабочую неделю собираться!