Добавить в корзинуПозвонить
Найти в Дзене
Просто о сложном

Мужчина сдержал чихание и продырявил трахею

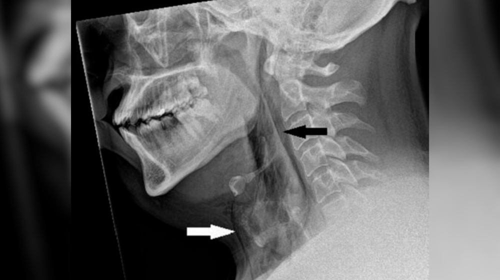
Этот медицинский случай из Великобритании заставил врачей пересмотреть привычные рекомендации. Пациент в возрасте 30+ лет обратился в отделение неотложной помощи с острой болью и отеком шеи. Симптомы появились мгновенно после того, как он подавил чихание, зажав нос и рот. Причиной стала аллергия на пыльцу, а провоцирующим фактором — вождение автомобиля. Что обнаружили врачи Хотя у пациента не было проблем с дыханием или речью, при осмотре медики услышали характерный хрустящий звук — крепитацию. Рентген показал наличие подкожной эмфиземы — скопления воздуха в глубоких тканях. Дальнейшая КТ подтвердила разрыв трахеи между третьим и четвертым шейными позвонками. Размер отверстия составил всего 2×2 мм, но этого хватило, чтобы воздух начал проникать в окружающие ткани и средостение. "Резкий скачок давления в дыхательных путях при подавленном чихании — вот что привело к разрыву", — заключили врачи. Как лечили необычную травму Хирургического вмешательства удалось избежать. Пациента госпитализ

Этот медицинский случай из Великобритании заставил врачей пересмотреть привычные рекомендации. Пациент в возрасте 30+ лет обратился в отделение неотложной помощи с острой болью и отеком шеи. Симптомы появились мгновенно после того, как он подавил чихание, зажав нос и рот. Причиной стала аллергия на пыльцу, а провоцирующим фактором — вождение автомобиля.

   Мужчина сдержал чихание и продырявил трахею
Мужчина сдержал чихание и продырявил трахею

Что обнаружили врачи

Хотя у пациента не было проблем с дыханием или речью, при осмотре медики услышали характерный хрустящий звук — крепитацию. Рентген показал наличие подкожной эмфиземы — скопления воздуха в глубоких тканях. Дальнейшая КТ подтвердила разрыв трахеи между третьим и четвертым шейными позвонками. Размер отверстия составил всего 2×2 мм, но этого хватило, чтобы воздух начал проникать в окружающие ткани и средостение.

"Резкий скачок давления в дыхательных путях при подавленном чихании — вот что привело к разрыву", — заключили врачи.

Как лечили необычную травму

Хирургического вмешательства удалось избежать. Пациента госпитализировали на 48 часов, контролируя уровень кислорода и другие показатели. Первые сутки он питался парентерально, затем получил обезболивающие и антигистаминные препараты. Через 5 недель повторная КТ подтвердила полное заживление.

  • Отказ от физических нагрузок на 14 дней
  • Мониторинг состояния дыхательных путей
  • Коррекция терапии аллергического ринита

Почему этот случай уникален

Спонтанные разрывы трахеи крайне редки. До этого фиксировались только случаи, связанные с:

  1. Травмами шеи
  2. Осложнениями после тиреоидэктомии
  3. Интубацией или эндоскопией

Это первый задокументированный случай, когда причиной стал подавленный чих. Исследования показывают: при зажатом носе и закрытом рте давление в дыхательных путях превышает обычное чихание в 20+ раз.

Что говорят эксперты

Профессор пульмонологии Александр Воронин в интервью для научного журнала отметил:

"Чихание — защитный рефлекс, и его подавление может привести не только к баротравме, но и к повреждению сосудов мозга или среднего уха."

Статистика осложнений после сдерживания чихания:

  • 5% — разрыв барабанной перепонки
  • 2% — повреждение сосудов глаз
  • 0.1% — травмы дыхательных путей

Выводы для каждого

Медики категорически не рекомендуют блокировать чихание. Если ситуация требует сдержать рефлекс (например, во время важных переговоров), лучше:

  1. Прикрыть рот локтем
  2. Наклонить голову вперед
  3. Сделать плавный выдох после чиха

Этот случай вошел в учебники как пример того, как безобидный бытовой момент может обернуться серьезной медицинской проблемой.