Найти в Дзене
АиФ Воронеж

Опухоль размером с грейпфрут удалили из мозга 80-летней женщины в Воронеже

   Опухоль размером с грейпфрут удалили из мозга 80-летней женщины в Воронеже
Опухоль размером с грейпфрут удалили из мозга 80-летней женщины в Воронеже

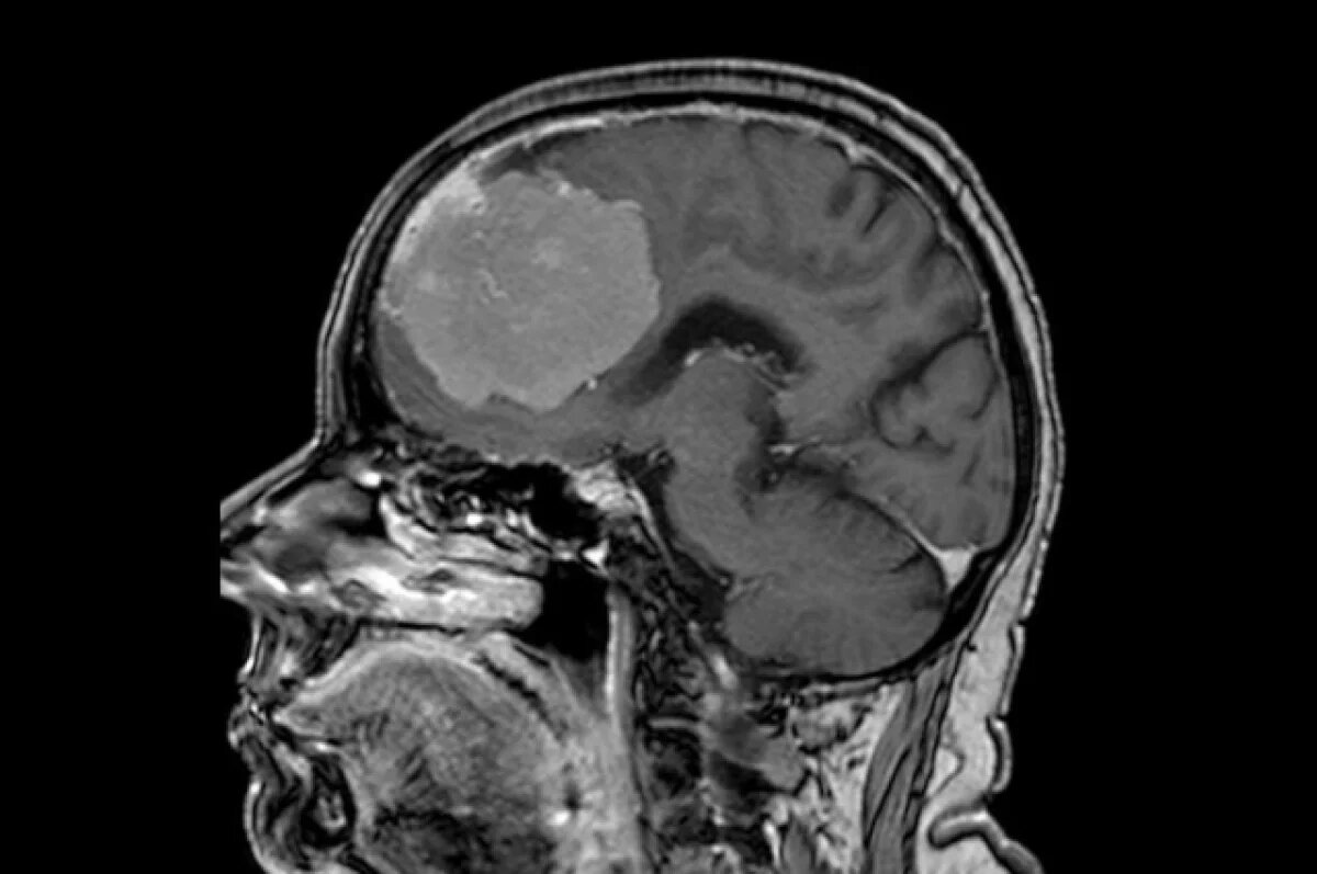
Нейрохирурги БСМП №1 в Воронеже провели сложную операцию по удалению опухоли из головного мозга 80-летней пациентки. Новообразование было размером с грейпфрут, сообщили в региональном министерстве здравоохранения в среду, 21 мая.

В больницу женщина попала с подозрением на инсульт. У пациентки была нарушена речь, а также наблюдалась слабость в правой руке. Обследование с помощью компьютерной томографии не подтвердило предполагаемый диагноз, однако оно показало опухоль в обеих лобных долях мозга.

Врачи отмечают, что подобные новообразования так или иначе затрагивают важные участки мозга – кровеносные сосуды и зоны, отвечающие за речь и движение.

В задачи нейрохирургов входило не только удаление опухоли, но и сохранение здоровья пациентки. Операция длилась шесть часов – врачи удаляли опухоль миллиметр за миллиметром и смогли сохранить все важные сосуды.

Спустя время пациентку выписали. Сейчас она самостоятельно себя обслуживает, а проблемы с речью и слабость в правой руке пропали после проведённой операции.