Найти в Дзене
Блокнот Воронеж

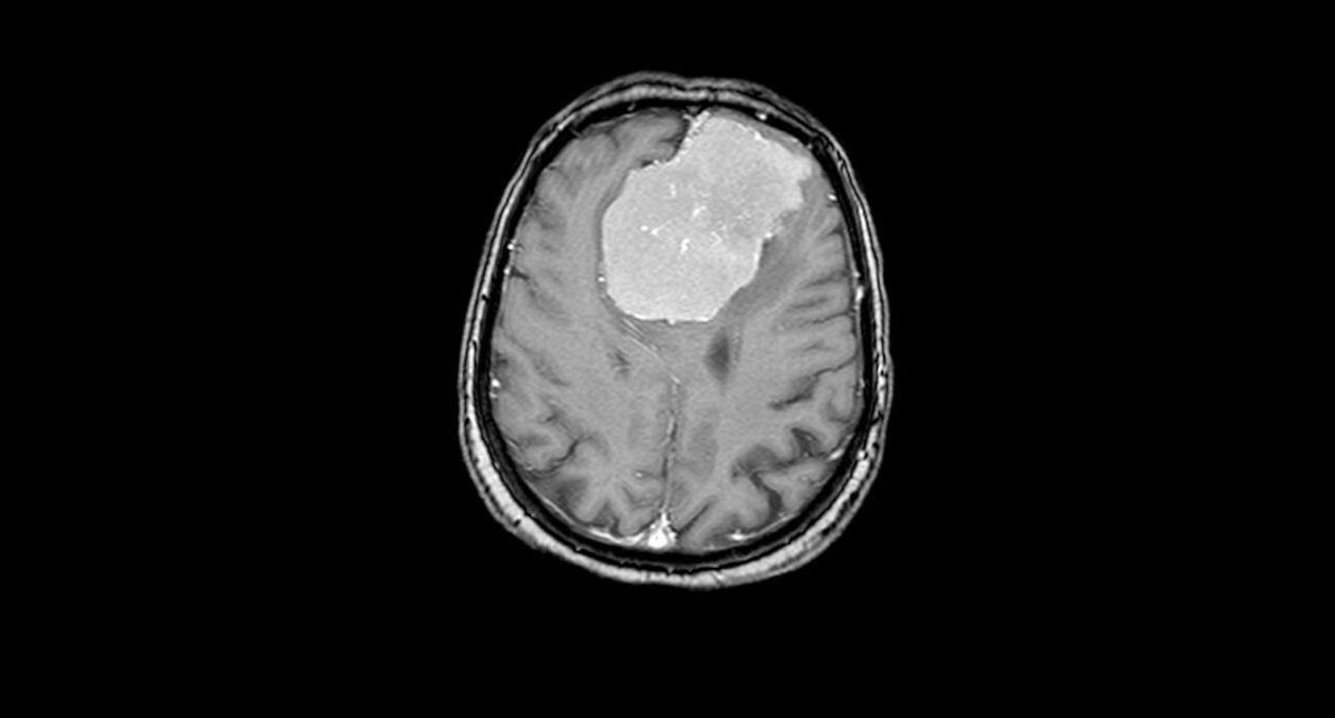
Опухоль размером с грейпфрут врачи удалили из мозга воронежской пенсионерки

В минздраве Воронежской области сообщили о героическом поступке врачей БСМП №1. В отделение нейрохирургии поступила 80-летняя пенсионерка. У нее были проблемы с речью и слабость в правой руке. Сначала медики думали, что у пожилой женщины подозрение на инсульт. Однако компьютерная томография показа, что инсульта нет. Есть опухоль в обеих долях мозга размером 6х7х8 см – с грейпфрут. Новообразование окутывало переднюю мозговую артерию, а также прорастало в переднюю треть сагиттального синуса (один из наиболее крупных венозных коллекторов головного мозга) и закрывала его. Операция длилась 6 часов. Врачи Павел Юров, Виталий Бойко, медсестры Анна Романова и Галина Сухотерина, анестезиолог Андрей Руденко смогли вырезать опухоль из мозга пенсионерки и сохранить важные сосуды. - Послеоперационный период у пациентки, по ее словам, проходит хорошо. Женщина обслуживает себя самостоятельно, а неврологическая симптоматика спала сразу после вмешательства. По состоянию на сегодняшний день, пациентка б

У пациентки это новообразование окутывало магистральные сосуды Велизиевого круга.

В минздраве Воронежской области сообщили о героическом поступке врачей БСМП №1. В отделение нейрохирургии поступила 80-летняя пенсионерка. У нее были проблемы с речью и слабость в правой руке. Сначала медики думали, что у пожилой женщины подозрение на инсульт. Однако компьютерная томография показа, что инсульта нет. Есть опухоль в обеих долях мозга размером 6х7х8 см – с грейпфрут.

Новообразование окутывало переднюю мозговую артерию, а также прорастало в переднюю треть сагиттального синуса (один из наиболее крупных венозных коллекторов головного мозга) и закрывала его.

Операция длилась 6 часов. Врачи Павел Юров, Виталий Бойко, медсестры Анна Романова и Галина Сухотерина, анестезиолог Андрей Руденко смогли вырезать опухоль из мозга пенсионерки и сохранить важные сосуды.

- Послеоперационный период у пациентки, по ее словам, проходит хорошо. Женщина обслуживает себя самостоятельно, а неврологическая симптоматика спала сразу после вмешательства. По состоянию на сегодняшний день, пациентка была выписана из медучреждения, - отмечают в минздраве.

Илья Ершов