Найти в Дзене
36ON

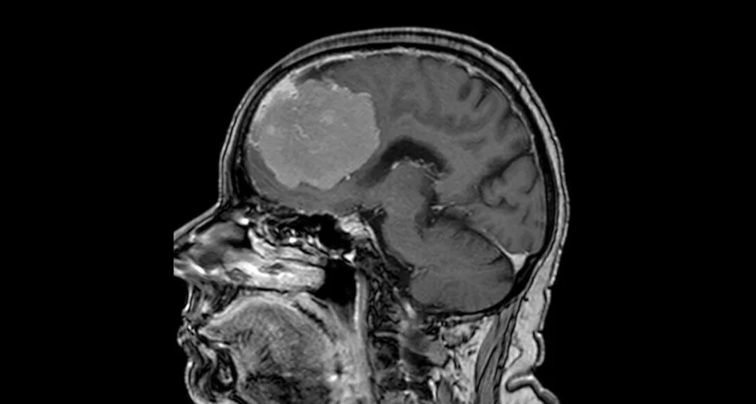
В Воронеже медики удалили из мозга пенсионерки опухоль размером с грейпфрут

Опухоль размером с грейпфрут удалили медики воронежской БСМП №1 из мозга 80-летней пенсионерки. Операция длилась шесть часов. В настоящее время пожилая женщина находится дома, чувствует она себя хорошо. Горожанка попала в больницу с подозрением на инсульт. Женщина жаловалась на слабость в правой руке, проблемы с речью. По итогу проведения обследования стало ясно, что инсульта у нее нет. Однако есть внушительных размеров – 6*7*8 см – новообразованием, затронувшее обе лобных доли. Операция прошла без осложнений, риск которых был велик, учитывая размеры опухоли. В процессе могли быть задеты жизненноважные сосуды, участки, отвечающие за речь и движение. Неврологическая симптоматика у пациентки пропала сразу после проведения хирургического вмешательства, отмечают в пресс-службе регионального департамента здравоохранения. Фото – региональный Минздрав. Не пропустить важное в ДЗЕН 36ON

Опухоль размером с грейпфрут удалили медики воронежской БСМП №1 из мозга 80-летней пенсионерки. Операция длилась шесть часов. В настоящее время пожилая женщина находится дома, чувствует она себя хорошо.

Горожанка попала в больницу с подозрением на инсульт. Женщина жаловалась на слабость в правой руке, проблемы с речью. По итогу проведения обследования стало ясно, что инсульта у нее нет. Однако есть внушительных размеров – 6*7*8 см – новообразованием, затронувшее обе лобных доли.

Операция прошла без осложнений, риск которых был велик, учитывая размеры опухоли. В процессе могли быть задеты жизненноважные сосуды, участки, отвечающие за речь и движение.

Неврологическая симптоматика у пациентки пропала сразу после проведения хирургического вмешательства, отмечают в пресс-службе регионального департамента здравоохранения.

Фото – региональный Минздрав.

Не пропустить важное в ДЗЕН 36ON