Найти в Дзене

Хочу снова почувствовать вкус мяса»: сложный случай восстановления зубов у бывшего военного

55 лет. Отсутствие зубов. Сложная хирургия. И мечта— просто поесть мяса. К нам в клинику обратился пациент— мужчина 55 лет, бывший военный. Суровый, собранный, сдержанный. Он сразу дал понять, что случай будет непростой не только технически, но и в плане коммуникации. С первого взгляда возникло ощущение, что будут разногласия — но стоило разговору перейти на личные темы, как всё изменилось. «Я давным-давно не ел вкусного мяса… Хочу снова почувствовать этот вкус». Эта фраза многое изменила. Мы поняли: за внешней строгостью — обычное человеческое желание жить полной жизнью. Пациент пришёл с жалобой на невозможность жевать пищу. Отсутствие зубов нарушило не только эстетику, но и работу височно-нижнечелюстного сустава. Казалось, что его организм "стареет" быстрее, чем положено— хотя мужчина ещё не пожилой. Ситуацию осложнял значительный дефицит костной и десневой ткани, фронтальные зубы были подвижны из-за проблем с пародонтом, а съемный протез доставлял дискомфорт. Но самое главное — эмоц
Оглавление

55 лет. Отсутствие зубов. Сложная хирургия. И мечта— просто поесть мяса.

К нам в клинику обратился пациент— мужчина 55 лет, бывший военный. Суровый, собранный, сдержанный. Он сразу дал понять, что случай будет непростой не только технически, но и в плане коммуникации. С первого взгляда возникло ощущение, что будут разногласия — но стоило разговору перейти на личные темы, как всё изменилось.

«Я давным-давно не ел вкусного мяса… Хочу снова почувствовать этот вкус».

Эта фраза многое изменила. Мы поняли: за внешней строгостью — обычное человеческое желание жить полной жизнью.

Жалобы и первичная диагностика

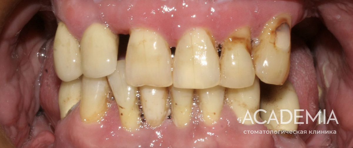
Пациент пришёл с жалобой на невозможность жевать пищу. Отсутствие зубов нарушило не только эстетику, но и работу височно-нижнечелюстного сустава. Казалось, что его организм "стареет" быстрее, чем положено— хотя мужчина ещё не пожилой. Ситуацию осложнял значительный дефицит костной и десневой ткани, фронтальные зубы были подвижны из-за проблем с пародонтом, а съемный протез доставлял дискомфорт.

Но самое главное — эмоциональная часть: его угнетало, что он должен был засыпать, оставляя зубы в стакане.

Хирургический этап, который вернул вкус

-3

Мы спланировали полный протокол имплантации:

  • 8 имплантов на верхней челюсти
  • 6 имплантов на нижней
  • Полное удаление оставшихся проблемных зубов
  • Установка временных коронок в день операции

Все лечение проходило под седацией, чтобы снизить стресс.

Было важно, чтобы пациент не остался без зубов даже на день. Мы пообещали ему, что в день удаления будут установлены временные коронки — и сдержали это обещание.

Проснувшись после операции, пациент впервые за долгое время почувствовал во рту не пустоту, а полноценный зубной ряд. Конечно, о шашлыке или стейке речь пока не шла — нагрузки ещё нельзя было давать — но даже это ощущение стало для него эмоциональным прорывом.

От временных коронок к новой жизни

Следующие три месяца прошли с временными конструкциями на верхней и нижней челюсти. За это время импланты полностью прижились, а пациент вновь научился говорить чётко, уверенно, без стеснения. И самое главное— снова начал есть нормальную еду. Ту самую, о которой мечтал.

У пациента был достаточно большой дефицит десневой ткани, поэтому к моменту установки постоянных коронок мы сделали аккуратный переход искусственной десной, чтобы добиться естественного вида. Финальный результат выглядел настолько гармонично, что никто бы не сказал: перед вами работа врача, а не природа.

Пациент, который стал другом

Прошло пять месяцев— и наш строгий бывший военный ушёл из клиники с ослепительной улыбкой и полной уверенностью в себе. Сегодня он регулярно приходит на осмотры, гигиенические чистки, присылает нам фото с шашлыков и поздравляет с праздниками.

Для нас это больше, чем просто результат лечения. Это история преодоления, доверия и настоящей трансформации.

Хотите такой же результат?

-6

Если вы или ваши близкие сталкиваетесь с похожими проблемами — не откладывайте. Даже самые сложные случаи можно решить, если действовать последовательно и в надёжных руках.

Записаться на консультацию в клинику можно прямо сейчас — и начать путь к новым ощущениям, уверенному прикусу и настоящей еде, которой вы снова сможете наслаждаться.

Запись на консультацию возможна через сайт, мессенджеры или по номеру телефона +7 (495) 198-10-00

Наши соц.сети:
Сайт
Вконтакте
Телеграм-канал
Instagram*

*Instagram является продуктом Meta, эта организация признана экстремистской и запрещена на территории России.

Автор: Магалашвили Леван Зурабович, стоматолог-ортопед в клинике “АКАДЕМИЯ”