Найти в Дзене

⚡️Переделка реставраций после элайнеров: когда и зачем нужна

⚡️Переделка реставраций после элайнеров: когда и зачем нужна?⚡️ 📌Часто после снятия элайнеров пациенты замечают, что ранее сделанные реставрации передних зубов требуют обновления. Давайте разберем основные причины и способы решения этой проблемы. ✅Почему возникает необходимость переделки: ⚡️Деформация режущего края- особенно актуальна для пациентов со стираемостью эмали ⚡️Несоответствие формы - зубы могут выглядеть короче или уже соседних ⚡️Повреждения стенок - возможны сколы или развитие кариеса под старыми реставрациями ⚡️Цветовые несоответствия - материал может потемнеть или отличаться от соседних зубов 🦷Какие методы используются: ✨Композитная реставрация - прямой метод, позволяющий восстановить форму за одно посещение ✨Контурирование эмали - коррекция только режущего края 🌪️Процесс переделки включает: 🌟Подбор оттенка материала 🌟Аккуратное снятие старых реставраций 🌟Восстановление правильной формы 🌟Полировку и финишную обработку 🌈Важные моменты:🌈 🌱 Лучше планирова

⚡️Переделка реставраций после элайнеров: когда и зачем нужна?⚡️

📌Часто после снятия элайнеров пациенты замечают, что ранее сделанные реставрации передних зубов требуют обновления. Давайте разберем основные причины и способы решения этой проблемы.

✅Почему возникает необходимость переделки:

⚡️Деформация режущего края- особенно актуальна для пациентов со стираемостью эмали

⚡️Несоответствие формы - зубы могут выглядеть короче или уже соседних

⚡️Повреждения стенок - возможны сколы или развитие кариеса под старыми реставрациями

⚡️Цветовые несоответствия - материал может потемнеть или отличаться от соседних зубов

🦷Какие методы используются:

✨Композитная реставрация - прямой метод, позволяющий восстановить форму за одно посещение

✨Контурирование эмали - коррекция только режущего края

🌪️Процесс переделки включает:

🌟Подбор оттенка материала

🌟Аккуратное снятие старых реставраций

🌟Восстановление правильной формы

🌟Полировку и финишную обработку

🌈Важные моменты:🌈

🌱 Лучше планировать реставрацию после стабилизации результата ортодонтического лечения

🌱 Необходимо дождаться полного привыкания к новому положению зубов

🌱 Рекомендуется выбирать опытного специалиста по эстетической стоматологии

Помните, что качественная реставрация - это инвестиция в вашу улыбку. Не стоит откладывать визит к врачу, если вы заметили несовершенства после снятия элайнеров.

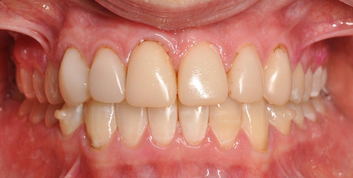
В данном клиническом случае мы исправили только четыре передних резца, но продолжение следует😅

P.S. фото сразу после снятия коффердама, через 3-4 дня десна будет в норме 👌

💬 Делитесь в комментариях — делали ли вы реставрацию после брекетов? Какой метод выбрали?

#реставрациязубов #элайнеры #красиваяулыбка #стоматология #эстетическаястоматология

-2
-3
-4