Найти в Дзене
TV Губерния

Врачи удалили из мозга пациентки опухоль размером с грейпфрут

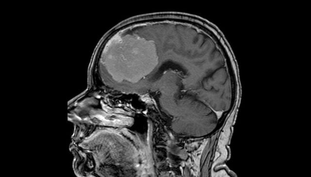
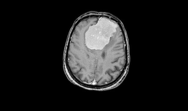
Опухоль размером с грейпфрут удалили воронежские нейрохирурги из лобных долей мозга пациентки. Сложнейшую операцию 80-летней пенсионерке провели медики БСМП №1. Об этом сообщили в пресс-службе регионального Минздрава в среду, 21 мая. Женщину привезли в больницу с подозрением на инсульт. У неё ослабела правая рука. Также пациентке было тяжело говорить. Компьютерная томография показала, что инсульта нет. Однако результаты обследования оказались не менее тревожны. У пенсионерки нашли в обеих лобных долях мозга опухоль размером 6х7х8 см. – Подобные новообразования так или иначе затрагивают важные участки мозга – кровеносные сосуды и зоны, отвечающие за речь и движение, – объясняют суть проблемы специалисты. – Дополнительное исследование с контрастом показало, что опухоль окутывала магистральные сосуды Велизиевого круга – переднюю мозговую артерию, а также прорастала в переднюю треть сагиттального синуса (один из наиболее крупных венозных коллекторов головного мозга) и закрывала его. Разуме
    Фото предоставлено пресс-службой Минздрава Воронежской области
Фото предоставлено пресс-службой Минздрава Воронежской области

Опухоль размером с грейпфрут удалили воронежские нейрохирурги из лобных долей мозга пациентки. Сложнейшую операцию 80-летней пенсионерке провели медики БСМП №1. Об этом сообщили в пресс-службе регионального Минздрава в среду, 21 мая.

Женщину привезли в больницу с подозрением на инсульт. У неё ослабела правая рука. Также пациентке было тяжело говорить. Компьютерная томография показала, что инсульта нет. Однако результаты обследования оказались не менее тревожны. У пенсионерки нашли в обеих лобных долях мозга опухоль размером 6х7х8 см.

– Подобные новообразования так или иначе затрагивают важные участки мозга – кровеносные сосуды и зоны, отвечающие за речь и движение, – объясняют суть проблемы специалисты. – Дополнительное исследование с контрастом показало, что опухоль окутывала магистральные сосуды Велизиевого круга – переднюю мозговую артерию, а также прорастала в переднюю треть сагиттального синуса (один из наиболее крупных венозных коллекторов головного мозга) и закрывала его.

-2

Разумеется, найденную опухоль надо было удалять. И теперь медикам предстояло сделать это, не повредив жизненно важных сосудов и участков мозга. Команду врачей БСМП возглавил заведующий нейрохирургическим отделением Павел Юров. Прежде чем провести шестичасовую операцию, нейрохирурги воспользовались специальной навигационной системой, чтобы спланировать действия. Опухоль они удаляли частями, буквально миллиметр за миллиметром.

После операции пациентка может обслуживать себя самостоятельно. Неврологические симптомы исчезли. В итоге к 21 мая женщину из больницы выписали.

Ранее врачи Борисоглебской районной больницы спасли мужчину с тромбом в сонной артерии. Как сообщили в пресс-службе регионального облздрава, 66-летнего мужчину госпитализировали в апреле. Пациент не мог ни говорить, ни двигать правыми руками и ногами.

Виктор ЧАШКИН