Добавить в корзинуПозвонить
Найти в Дзене
XX2 ВЕК

Нарушение сердечного ритма связано с бактериями под нашими дёснами

Новые исследования показали, что бактерия P. gingivalis, связанная с заболеванием дёсен, может проникать в кровоток и внедряться в сердце. Там она постепенно приводит к накоплению рубцовой ткани, искажающей архитектуру сердца, нарушающей передачу электрических сигналов и увеличивающей риск фибрилляции предсердий (предсердной мерцательной аритмии – прим. перев.). Есть соблазн пропустить очередную чистку зубов нитью? Если вы ему не поддадитесь, ваше сердце скажет вам спасибо. В новом исследовании Университета Хиросимы (УХ) обнаружено, что бактерия, приводящая к заболеванию дёсен Porphyromonas gingivalis (P. gingivalis) может просочиться в кровоток и проникнуть в сердце. Там она постепенно приводит к накоплению рубцовой ткани, то есть к фиброзу, искажая архитектуру сердца, нарушая передачу электрических сигналов и повышая риск фибрилляции предсердий (ФП). Медработники давно заметили, что люди с периодонтитом, распространённой формой заболевания дёсен, чаще имеют проблемы с сердечно-сосуди
Оглавление
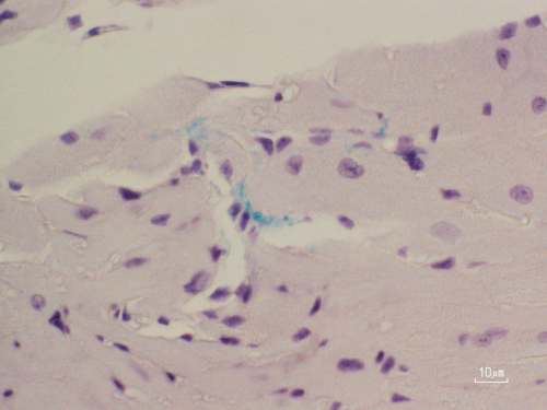
Иммуногистохимическое окрашивание у мышей показывает, что Porphyromonas gingivalis (зеленый) проникает в сердечную мышцу через мелкие кровеносные сосуды в левом предсердии. (Предоставлено Сюнсюке Мияучи/Университет Хиросимы)
Иммуногистохимическое окрашивание у мышей показывает, что Porphyromonas gingivalis (зеленый) проникает в сердечную мышцу через мелкие кровеносные сосуды в левом предсердии. (Предоставлено Сюнсюке Мияучи/Университет Хиросимы)

Новые исследования показали, что бактерия P. gingivalis, связанная с заболеванием дёсен, может проникать в кровоток и внедряться в сердце. Там она постепенно приводит к накоплению рубцовой ткани, искажающей архитектуру сердца, нарушающей передачу электрических сигналов и увеличивающей риск фибрилляции предсердий (предсердной мерцательной аритмии – прим. перев.).

Есть соблазн пропустить очередную чистку зубов нитью? Если вы ему не поддадитесь, ваше сердце скажет вам спасибо. В новом исследовании Университета Хиросимы (УХ) обнаружено, что бактерия, приводящая к заболеванию дёсен Porphyromonas gingivalis (P. gingivalis) может просочиться в кровоток и проникнуть в сердце. Там она постепенно приводит к накоплению рубцовой ткани, то есть к фиброзу, искажая архитектуру сердца, нарушая передачу электрических сигналов и повышая риск фибрилляции предсердий (ФП).

Медработники давно заметили, что люди с периодонтитом, распространённой формой заболевания дёсен, чаще имеют проблемы с сердечно-сосудистой системой. В одном недавнем мета-анализе была установлена связь этого заболевания с увеличением на 30% риска заболеть ФП, потенциально серьёзным нарушением сердечного ритма, которое может приводить к инсульту, сердечной недостаточности и другим опасным для жизни осложнениям. За последнее десятилетие заболеваемость ФП в мире почти удвоилась, с 33,5 миллионов в 2010 году до около 60 миллионов в 2019 году. Сейчас наблюдается рост интереса учёных к тому, каким образом заболевание дёсен может способствовать этому всплеску.

Предыдущие исследования в качестве причины указывали на воспаление. Когда иммунные клетки в дёснах объединяются для борьбы с инфекцией, подаваемые ими химические сигналы могут непреднамеренно проникнуть в кровоток, запуская системное воспаление, которое может повредить органы, находящиеся вдали от ротовой полости.

Но воспаление — не единственная угроза, которую несут воспалённые дёсны. Исследователи обнаружили ДНК вредоносных бактерий ротовой полости в сердечной мышце, клапанах и даже жировых артериальных бляшек. Изо всех их P. gingivalis привлекла особое внимание за свою предполагаемую роль в растущем списке системных заболеваний, включая болезнь Альцгеймера, диабет и определённые виды рака. Ранее она была обнаружена в мозге, печени и плаценте. Но оставалось неясным, каким образом ей удаётся завладеть сердцем. Это исследование, опубликованное в журнале Circulation, даёт первое явное свидетельство о том, что P. gingivalis в дёснах может пробить себе дорогу в левое предсердие как на модели животных, так и у человека, указывая на потенциальный микробный путь, связывающий периодонтит и ФП.

«Причинно-следственная связь между периодонтитом и ФП до сих пор не известна, но распространение бактерий периодонта через кровоток может связывать эти заболевания», — говорит первый автор исследования Сюнсуке Мияучи, профессор аспирантуры биомедицинских наук и наук о здоровье Университета Хиросимы.

«Среди различных бактерий периодонта P. gingivalis обладает высокой патогенностью при периодонтите и некоторых системных заболеваниях за пределами ротовой полости. В этом исследовании мы рассмотрели два ключевых вопроса: Переносится ли P. gingivalis в левое предсердие из поражённой периодонтитом ткани? Если да, приводит ли она к прогрессированию ФП?»

Исследование связи между заболеванием дёсен и ФП

Чтобы сымитировать то, как P. gingivalis может ускользнуть из ротовой полости и устроить погром в других местах, исследователи создали мышиную модель, используя агрессивный бактериальный штамм W83. Они разделили мышей в возрасте 13 недель на две группы: в одной штамм вводили в пульпу зуба, другую не инфицировали. Каждую группу затем разделили на подгруппы и наблюдали в течение 12 или 18 недель, чтобы проследить риск пролонгированного заражения.

Внутрисердечная стимуляция — диагностический метод при аритмии — не обнаруживала различий в риске заболеть ФП у инфицированных и неинфицированных мышей. Но к 18-й неделе тесты показали, что мыши, заражённые бактерией, имели в шесть раз больше шансов развития аномальных сердечных ритмов, при этом показатель индуцибельности составил 30% против всего 5% в контрольной группе.

Чтобы увидеть, что их модель точно воспроизводит периодонтит, исследователи изучили нарушения челюстей и обнаружили их пресловутые признаки. Они обнаружили разрушение зубной пульпы и микроабсцессы, вызванные P. gingivalis. Но разрушения этим не ограничивались. Они также обнаружили бактерию в левом предсердии, где инфицированные ткани стали окоченевшими и волокнистыми. Используя петлевую изотермическую амплификацию для обнаружения специфических генетических маркеров, учёные подтвердили, что введённый ими штамм P. gingivalis присутствовал в сердце. Напротив, незаражённые мыши обладали здоровыми зубами и не имели никаких признаков бактерии в образцах сердечной ткани.

Через двенадцать недель после инфицирования, мыши, заражённые P. gingivalis уже демонстрировали большее количество сердечных рубцов, чем их неинфицированные собратья. Через 18 недель рубцевание у инфицированных мышей подскочило до 21,9% по сравнению с вероятно вызванным возрастом показателем в 16,3% в контрольной группе, предполагая, что P. gingivalis может не просто инициировать повреждение сердца, но также ускорять его с течением времени.

И эта тревожная связь наблюдалась не только у мышей. В отдельном исследовании на людях, исследователи проанализировали ткань левого предсердия от 68 пациентов с ФП, перенёсших хирургическую операцию на сердце. Там тоже была обнаружена P. gingivalis, и в больших количествах у пациентов с запущенным заболеванием дёсен.

Мастер скрытного нападения

Предыдущие исследования показали, что P. gingivalis может внедряться в клетки хозяина и уходить от уничтожения автофагосомами, бригадой уборщиков клеточного мусора. Эта способность скрываться внутри клеток предполагает способ, благодаря которому она может просачиваться сквозь иммунную защиту и вызвать ровно столько воспаления, сколько необходимо для причинения вреда, чтобы при этом самой не попасть в мусоропровод. Инфицированные мыши демонстрировали скачок в содержании галектина-3, биомаркера фиброза, и повышенную экспрессию Tgfb1, гена, связанного с воспалением и рубцеванием.

Результаты предполагают, что чистка зубов щёткой, нитью и регулярный осмотр зубов может не только способствовать гигиене ротовой полости, это также может защитить сердце. Содержание дёсен в чистоте может заблокировать путь для инвазии P. gingivalis.

«P. gingivalis внедряется в систему циркуляции через повреждения дёсен и затем перемещается в левое предсердие, где её бактериальная нагрузка коррелирует с клинической тяжестью периодонтита. Достигнув предсердия, она усиливает его фиброз, что приводит к повышению индуцибельности ФП, — говорит Мияучи. — Следовательно, лечение периодонта, которое может блокировать путь к перемещению P. gingivalis, может играть важную роль в профилактике и лечении ФП».

Сейчас группа работает над усилением междисциплинарного сотрудничества между медиками и стоматологами в префектуре Хиросима для улучшения сердечно-сосудистой обстановки.

«На этом этапе мы исследуем специфические механизмы влияния P. gingivalis на кардиомиоциты предсердия, — говорит Мияучи. — Также теперь мы сконцентрированы на установлении системы взаимодействия медиков и стоматологов в префектуре Хиросима для лечения сердечно-сосудистых заболеваний, включая ФП. В будущем мы нацелены расширить это начинание на всю страну».

Автор статьи — Микас Мацудзава (Mikas Matsuzawa).

Перевод — Андрей Прокипчук, «XX2 ВЕК». Источники.

Материалы предоставлены Университетом Хиросимы (Hiroshima University).

Вам также может быть интересно: