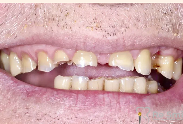
Молодой 23-летний парень разбил зуб, когда упал с электросамоката - "ушёл" почти наполовину. На приёме стоматолог предложил два варианта: нарастить или поставить коронку. Он растерялся - начал звонить в разные клиники, ходить на консультации к различным специалистам и только еще больше запутался:
А в чём разница? Один врач советует одно, другой - другое. Как понять, что лучше?
Разобраться в вопросе действительно непросто, особенно если впервые сталкиваешься с реставрацией зубов. Мы поговорили со специалистами клиники ReSmile, чтобы выяснить: когда выбирают наращивание, когда — коронку, в чём между ними отличие, и есть ли альтернативы.
Если зуб разрушен - это ещё не значит, что его нужно удалять
Современная стоматология умеет творить чудеса. Даже если от зуба осталась половина - или даже только корень, то его можно восстановить. И часто это делается без боли, за один-два визита.
Но важно понять: обычная пломба — не всегда выход. Если разрушена большая часть твёрдых тканей, нагрузка будет слишком большой, и пломба просто не выдержит. В таком случае используются два основных метода:
- Композитное наращивание.
- Установка коронки.
Оба метода эффективны, но применяются при разных клинических случаях. Давайте разберёмся, когда и зачем используется каждый из них.
Композитное наращивание: быстро, красиво, но не для всех случаев
Этот метод ещё называют "прямая художественная реставрация". Врач слой за слоем восстанавливает утраченную часть зуба с помощью специального композитного материала, подсвечивая каждый слой полимеризационной лампой. Форма зуба моделируется вручную, цвет подбирается под ваши естественные зубы - результат может быть почти неотличим от настоящего.
Когда подходит наращивание:
- мелкие сколы;
- трещины;
- потеря небольшого фрагмента зуба;
- восстановление эстетики (потемнение, щели, неправильная форма).
Чаще всего такой метод применяют на передних зубах - из-за их видимости и меньшей жевательной нагрузки.
Плюсы:
- быстро — за один визит;
- недорого;
- красиво (если делает грамотный врач).
Минусы:
- не выдерживает сильной жевательной нагрузки;
- срок службы — 3–5 лет;
- со временем может темнеть или стираться.
Важно: если разрушено больше 30% зуба - наращивание будет временным решением. В жевательной зоне такой вариант практически не используется.
Коронка: защита и долговечность
Коронка — это своего рода "колпачок", который надевается на подготовленный зуб. Она восстанавливает форму, цвет и жевательную функцию, при этом защищая зуб от дальнейшего разрушения.
Перед установкой зуб обтачивается, иногда депульпируется (если есть риск воспаления). Далее изготавливается индивидуальная коронка — по слепку или с помощью 3D-моделирования. Она точно "садится" на зуб и может служить 10 - 20 лет.
Когда ставят коронку:
- при разрушении более 30–50% коронковой части зуба;
- если зуб ослаблен после лечения кариеса или канала;
- при переломах;
- в жевательной зоне - почти всегда.
Плюсы:
- высокая прочность;
- равномерная нагрузка при жевании;
- защита остатка зуба от разрушения;
- эстетика (особенно при использовании керамики или циркония).
Минусы:
- более высокая стоимость;
- требуется время на изготовление (от 1 дня до 2 недель);
- иногда необходимо удаление нерва и обточка здоровых тканей.
А что с материалами? Какую коронку выбрать?
Сегодня стоматология предлагает разные виды коронок — от металлических до сверхпрочных циркониевых.
Выбор зависит от зоны установки (передняя/жевательная), бюджета и желаемой эстетики.
Варианты:
1. Металл. Очень прочный, недорогой, но неэстетичный. Обычно ставят на дальние моляры.
2. Металлокерамика. Металлический каркас + керамическое покрытие. Прочный и относительно красивый, но может "сереть" у десны.
3. Керамика. Отличный внешний вид, полностью имитирует зуб. Подходит для передней зоны. Раньше уступала в прочности, сейчас — уже нет.
4. Цирконий. Максимально прочный, биосовместимый, долговечный и красивый. Не вызывает аллергии, не темнеет, служит до 20 лет и дольше. Лучший выбор, если есть возможность.
Если зуб разрушен до корня — можно ли его восстановить?
Можно, если корень цел. Даже если от коронки остались "руины", зуб можно спасти. Обычно устанавливается штифт (стекловолоконный, металлический или анкерный), на который затем крепится либо пломба, либо коронка.
Чаще всего это делают при реставрации передних зубов, особенно у подростков или в эстетически значимой зоне.
Важно понимать: наращивание на штифте не всегда долговечно. Оно может использоваться как временное решение, например, до имплантации.
Есть ли альтернативы?
Да, в некоторых случаях возможны другие варианты:
Зубные вкладки. Похожи на микропротезы. Используются, если разрушено 30–50% жевательной поверхности. Изготавливаются индивидуально, фиксируются внутри зуба.
Керамические виниры. Эстетическая реставрация передних зубов. Маскируют щели, неровности, потемнение. На жевательные зубы не ставятся.
Имплантация. Если зуб разрушен полностью, корень спасти невозможно — вживляется имплантат, на который крепится коронка.
Итак, как понять, что вам подходит?
Всё индивидуально. Один пациент может восстановить зуб наращиванием, другой - только с помощью коронки. Всё зависит от:
- объёма разрушения;
- состояния корня и окружающих тканей;
- расположения зуба;
- ваших целей (эстетика или функциональность);
- бюджета.
Совет один: не откладывайте визит к врачу. Чем раньше вы восстановите зуб — тем больше шансов сохранить его надолго и обойтись без имплантации.
А если вы ищите клинику, которой хотели бы доверить свою здоровую улыбку - рекомендуем обращаться к нашим специалистам.
Стоматология ReSmile – это высокотехнологичный центр современной стоматологии и имплантологии, открытый в Москве у метро Бутырская при поддержке мирового производителя имплантационных систем TRATE AG (Швейцария). Мы решаем абсолютно любые проблемы с зубами:
- проводим имплантацию зубов (в том числе при полной адентии, при патологиях и частичном отсутствии зубов);
- занимаемся протезированием зубов (устанавливаем съемные протезы; бюгельные; виниры и люминиры; коронки и мостовидные протезы);
- проводим хирургические операции (пластику слизистых тканей, аугментацию костной ткани и так далее)
Переходите на наш сайт и жмите на кнопку "Заказать звонок", чтобы связаться с нашим специалистом. Любой человек, который обращается в нашу клинику, получает бесплатно специальные бонусы:
- Консультация 3-х специалистов
- Бесплатная компьютерная томограмма
- Бесплатная ортопантомограмма
- Комплексный план лечения
Если вы уже проходили реставрацию зуба - расскажите в комментариях. С какими трудностями столкнулись? Что в итоге выбрали: коронку, наращивание, или, может быть, имплант? Ваш опыт может подсказать решение тем, кто сейчас только ищет ответ.
И помните: один разрушенный зуб - это не приговор. Это повод сделать шаг навстречу здоровой и красивой улыбке.
