Добавить в корзинуПозвонить
Найти в Дзене
Вести ПК

В Воронеже пациентку с травмой колена прооперировали необычным способом

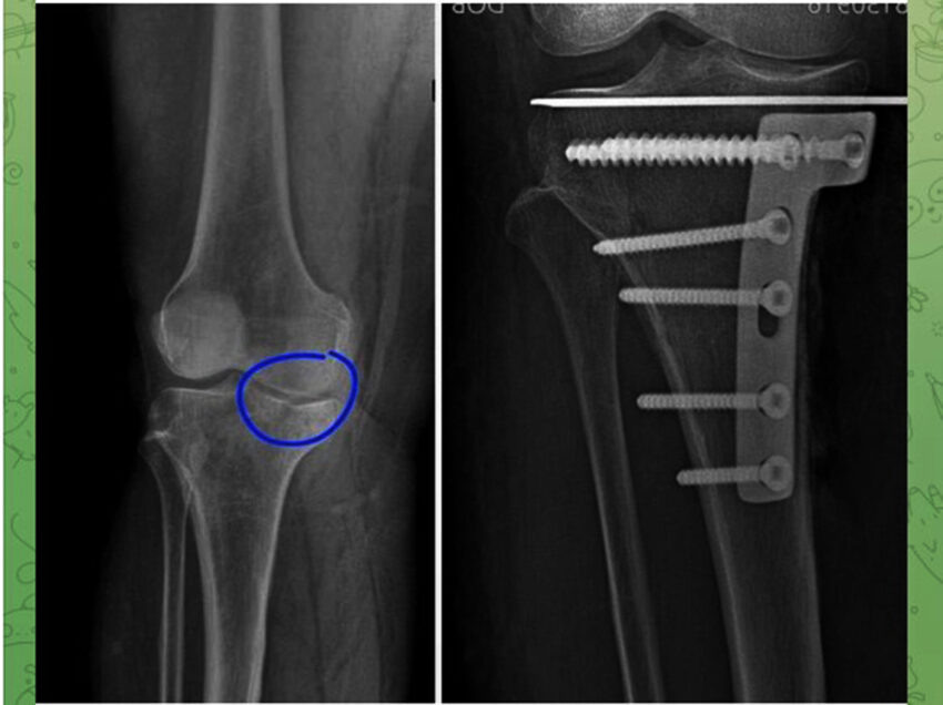
В Воронеже медики впервые провели операцию на колене, не вскрывая сустав. 56-летняя пациентка обратилась к врачам с жлобами на боль в колене, которая возникла после падения с лестницы. В травматологическом отделении ВГКБ №2 обследовали женщину, и выяснилось, что у нее оскольчатый компрессионный перелом медиального мыщелка левой большой берцовой кости со смещением отломков и кровоизлияние в полость левого коленного сустава. Бригада травматологов-ортопедов решила обратиться к остеосинтезу внутрисуставные компрессионных переломов под контролем артроскопии (с ее помощью врачи определили зону повреждения) — способу, который ранее не использовался в их практике. Без вскрытия сустава медики сопоставили отломки, после чего зафиксировали их спицей, опорной титановой платиной и винтами. В больнице отметили, что операция прошла успешно и у женщины, которая пока еще находится в стационаре, прогнозы благоприятные. Поскольку операция была малоинвазивной и малотравматичной, срок реабилитации будет н

В Воронеже медики впервые провели операцию на колене, не вскрывая сустав. 56-летняя пациентка обратилась к врачам с жлобами на боль в колене, которая возникла после падения с лестницы. В травматологическом отделении ВГКБ №2 обследовали женщину, и выяснилось, что у нее оскольчатый компрессионный перелом медиального мыщелка левой большой берцовой кости со смещением отломков и кровоизлияние в полость левого коленного сустава.

Бригада травматологов-ортопедов решила обратиться к остеосинтезу внутрисуставные компрессионных переломов под контролем артроскопии (с ее помощью врачи определили зону повреждения) — способу, который ранее не использовался в их практике. Без вскрытия сустава медики сопоставили отломки, после чего зафиксировали их спицей, опорной титановой платиной и винтами.

В больнице отметили, что операция прошла успешно и у женщины, которая пока еще находится в стационаре, прогнозы благоприятные. Поскольку операция была малоинвазивной и малотравматичной, срок реабилитации будет не долгим, да и риск послеоперационных осложнений сводится к минимуму.

Марина Хоружая,

Фото: Телеграм-канал «ДоброНовости Воронеж»