Найти в Дзене

Виниры. Вопросы и ответы.

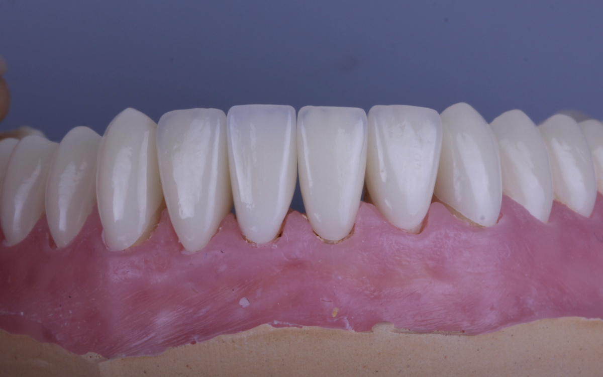
Q: Что такое виниры?
A: Это тонкие «накладки» для зубов из керамики. Их клеят на переднюю поверхность зубов, чтобы скрыть недостатки: трещины, пятна, неровности или щели. Толщина — (0,3–0,5 мм), поэтому зубы почти не стачивают. Q: А зачем их вообще ставят? Мода?
A: Не только! Есть две причины: Но да, многие приходят именно за идеальной улыбкой. Q: Говорят, под виниры зубы сильно обтачивают. Это правда?
A: Миф! Современные виниры требуют минимальной обточки. Но если зуб кривой или сильно разрушен, стачивают чуть больше. Эмаль не восстанавливается, поэтому мы всегда обсуждаем с пациентом риски. Q: А если поставить виниры, они быстро сломаются?
A: Служат 10–15 лет, если не грызть орехи, не открывать ими бутылки и не ронять лицо на асфальт 😉 Прочность керамики почти как у натуральной эмали. Но сколы случаются — тогда винир меняют. Q: Как ухаживать за винирами? Нужны спецсредства?
A: Всё просто:
✔️ Чистить зубы 2 раза в день.
✔️ Использовать ирригатор/нить.
✔️ Не злоупотреблять кофе

Q: Что такое виниры?
A: Это тонкие «накладки» для зубов из керамики. Их клеят на переднюю поверхность зубов, чтобы скрыть недостатки: трещины, пятна, неровности или щели. Толщина — (0,3–0,5 мм), поэтому зубы почти не стачивают.

-2

Q: А зачем их вообще ставят? Мода?
A: Не только! Есть две причины:

  1. Функция — например, восстановить стёртые зубы или защитить эмаль.
  2. Эстетика — если человек стесняется улыбаться из-за цвета, формы зубов или щелей между ними.

Но да, многие приходят именно за идеальной улыбкой.

Q: Говорят, под виниры зубы сильно обтачивают. Это правда?
A: Миф! Современные виниры требуют минимальной обточки. Но если зуб кривой или сильно разрушен, стачивают чуть больше. Эмаль не восстанавливается, поэтому мы всегда обсуждаем с пациентом риски.

Q: А если поставить виниры, они быстро сломаются?
A: Служат 10–15 лет, если не грызть орехи, не открывать ими бутылки и не ронять лицо на асфальт 😉 Прочность керамики почти как у натуральной эмали. Но сколы случаются — тогда винир меняют.

Q: Как ухаживать за винирами? Нужны спецсредства?
A: Всё просто:
✔️ Чистить зубы 2 раза в день.
✔️ Использовать ирригатор/нить.
✔️ Не злоупотреблять кофе и красным вином (могут слегка окрасить край винира).
✔️ Раз в полгода ходить на профгигиену.
Никакого «особого» ухода!

Q: Виниры — это вредно?
A: Если есть показания (например, стираемость эмали) — это необходимо. Если только для красоты — стоит подумать. Я всегда предлагаю сначала попробовать консервативно исправить ситуацию, например отбеливание. Но если пациент готов к небольшим жертвам (обточка), виниры — отличный вариант.

Q: Кому вы не советуете ставить виниры?
A:
При активном кариесе или болезнях дёсен — сначала лечим.
Если человек скрипит зубами (бруксизм) — нужна каппа.
Если у пациента неправильный прикус — сначала ортодонтическое лечение.

Q: Что бы вы сказали тем, кто мечтает о винирах?
A: Не спешите! Запишитесь на консультацию:

  1. Врач оценит состояние зубов.
  2. Сделает 3D-модель будущей улыбки.
  3. Расскажет про альтернативы (брекеты, отбеливание).
    И помните: даже с винирами главное — здоровье зубов. Без него любая улыбка будет недолгой.

P.S. Есть вопросы? Пишите в комментарии — я отвечу! 😊