Добавить в корзинуПозвонить
Найти в Дзене

Полтора года в брекетах — и новая улыбка

Клинический случай. Врач: Афонина Евгения, ОранжДент.про Полтора года назад в клинику ОранжДент.про обратился пациент с жалобами на внешний вид зубов и затрудненное жевание. Он не мог в полной мере насладиться едой, избегал широких улыбок и чувствовал внутренний дискомфорт из-за положения зубов. Как и у многих взрослых пациентов, запрос был двойной: эстетика плюс функция. Решением занялась врач-ортодонт Евгения Афонина, которая провела диагностику и разработала пошаговый план лечения. Любое ортодонтическое лечение начинается с подробного изучения ситуации. В данном случае были проведены: Результаты показали выраженное нарушение прикуса, скученность зубов в переднем отделе, ротации (повороты зубов вокруг своей оси) и сужение боковых участков зубного ряда. Это приводило к: После анализа была выбрана классическая брекет-система. Несмотря на развитие элайнеров и других «модных» методик, в сложных случаях предпочтение отдают именно брекетам — как наиболее точному и управляемому инструменту.
Оглавление

Клинический случай. Врач: Афонина Евгения, ОранжДент.про

Полтора года назад в клинику ОранжДент.про обратился пациент с жалобами на внешний вид зубов и затрудненное жевание. Он не мог в полной мере насладиться едой, избегал широких улыбок и чувствовал внутренний дискомфорт из-за положения зубов. Как и у многих взрослых пациентов, запрос был двойной: эстетика плюс функция. Решением занялась врач-ортодонт Евгения Афонина, которая провела диагностику и разработала пошаговый план лечения.

Диагностика и планирование

Любое ортодонтическое лечение начинается с подробного изучения ситуации. В данном случае были проведены:

  • клинический осмотр,
  • компьютерная томография,
  • анализ окклюзии (прикуса) и положения каждого зуба,
  • фотофиксация «до» и составление цифровой модели челюстей.

Результаты показали выраженное нарушение прикуса, скученность зубов в переднем отделе, ротации (повороты зубов вокруг своей оси) и сужение боковых участков зубного ряда. Это приводило к:

  • дискомфорту при приеме пищи,
  • перегрузке отдельных зубов,
  • искажению овала лица и нарушению эстетики улыбки.

Выбор метода коррекции

После анализа была выбрана классическая брекет-система. Несмотря на развитие элайнеров и других «модных» методик, в сложных случаях предпочтение отдают именно брекетам — как наиболее точному и управляемому инструменту.

Брекеты — это несъемные ортодонтические аппараты, которые позволяют перемещать зубы в трехмерном пространстве. Ключевой элемент — ортодонтическая дуга, зафиксированная в пазах каждого брекета. Дуга «помнит» заданную форму и мягко возвращается к ней, тем самым перемещая зубы. Постепенно каждый элемент зубного ряда занимает свое физиологически правильное место.

Брекеты
Брекеты

Особенности лечения у взрослых

Работа с взрослыми пациентами имеет ряд отличий от подростковой ортодонтии:

  • Кость менее пластична, поэтому движение зубов происходит медленнее.
  • Часто есть уже установленные пломбы, коронки или протезы, которые требуют индивидуального подхода.
  • Мотивация выше — взрослый человек осознанно идет на лечение, готов соблюдать рекомендации и довести процесс до конца.
  • Эстетические ожидания более конкретны и требовательны — важно не просто выровнять зубы, но и сохранить черты лица, привычный прикус, дикцию.

В течение лечения пациент регулярно посещал врача. Визиты происходили с периодичностью от одного до двух раз в месяц. Это необходимо для контроля за перемещением зубов, замены дуг, активации системы и отслеживания стабильности результата.

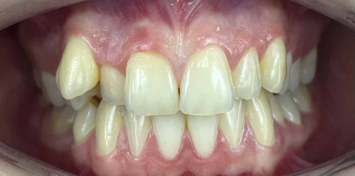
Результат — до и после

На фото «до» четко видно:

  • скученность и наложение передних зубов,
  • узкая дуга верхней челюсти,
  • смещение боковых зубов внутрь,
  • суженное пространство между зубами.

На фото «после» результат очевиден:

  • зубной ряд расширен,
  • все зубы стоят в одной линии,
  • прикус восстановлен,
  • нагрузка перераспределена физиологично,
  • улыбка стала шире, ровнее и естественнее.

Важно отметить, что изменения коснулись не только зубов. После ортодонтического лечения часто меняется осанка лица, расслабляется жевательная мускулатура, снижается риск стираемости эмали и нагрузок на височно-нижнечелюстной сустав.

Комментарий Геннадия Юрьевича Бирюкова, основателя клиники ОранжДент.про:

«Работа с прикусом — это не разовая услуга, а процесс, который требует системного подхода, вовлеченности и профессиональной точности. Евгения справилась с этим случаем блестяще. Пациент ушел не просто с новой улыбкой, а с новым уровнем комфорта и уверенности».

До
До
После
После
До
До
После
После
До
До
После
После

Что нужно для успешного ортодонтического лечения

  • Точная диагностика с применением КТ.
  • Индивидуальный план лечения.
  • Регулярные визиты к ортодонту для корректировки брекет-системы.
  • Мотивация и дисциплина пациента.
  • Тесная связка ортодонта и стоматолога общей практики (если требуется до или после лечения — реставрация, отбеливание, установка ретейнеров).

Вместо вывода

Многие взрослые продолжают считать, что ортодонтия — это «все в детстве, потом поздно». Это миф. Возраст — не препятствие. Главное — грамотный врач, современная диагностика и желание сделать свою улыбку по-настоящему здоровой.

Если вы давно откладывали ортодонтическое лечение — возможно, сейчас самое время начать.