Добавить в корзинуПозвонить
Найти в Дзене

🔴Делаете чистку, а налет появляется снова и снова

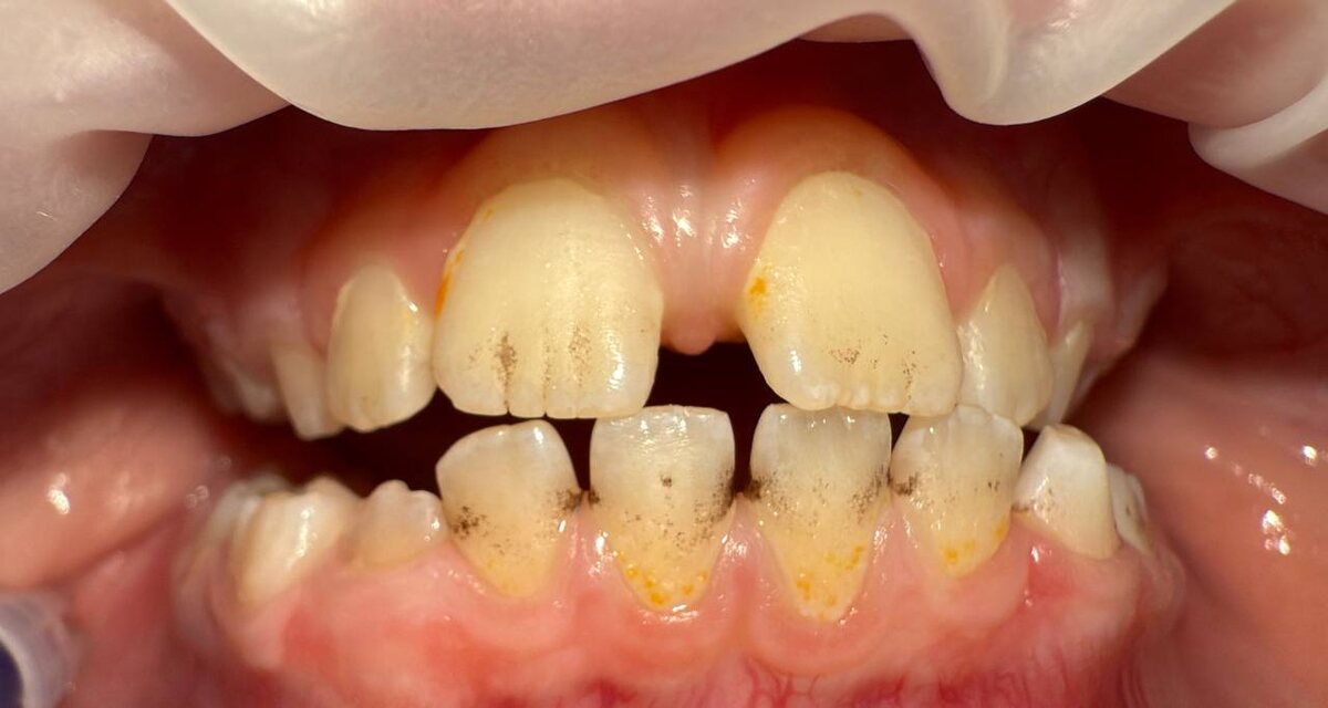
🔴Делаете чистку, а налет появляется снова и снова. ✔️Если появление налета связано с некачественной гигиеной, неправильной техникой чистки зубов - здесь все решается обучением гигиены, регулярной профессиональной гигиеной у стоматолога, мотивацией ребенка. 🔴Но бывает и другая ситуация. Когда сделали чистку, ухаживаете за зубами, соблюдаете все рекомендации-а налета все больше, пигментированный налет появляется в таком же количестве! ❗️Здесь проблема гораздо глубже. И с такими проблемами я успешно работаю! Налет который вы видите на фото, это то, что требует комплексного подхода и общего лечения. И это не просто плохая гигиена. #ДериглазоваПолезное ⬇️⬇️⬇️

🔴Делаете чистку, а налет появляется снова и снова.

✔️Если появление налета связано с некачественной гигиеной, неправильной техникой чистки зубов - здесь все решается обучением гигиены, регулярной профессиональной гигиеной у стоматолога, мотивацией ребенка.

🔴Но бывает и другая ситуация.

Когда сделали чистку, ухаживаете за зубами, соблюдаете все рекомендации-а налета все больше, пигментированный налет появляется в таком же количестве!

❗️Здесь проблема гораздо глубже.

И с такими проблемами я успешно работаю!

Налет который вы видите на фото, это то, что требует комплексного подхода и общего лечения.

И это не просто плохая гигиена.

#ДериглазоваПолезное

⬇️⬇️⬇️