Добавить в корзинуПозвонить
Найти в Дзене

Тренируем цитологическую насмотренность

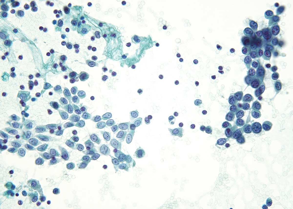
Тренируем цитологическую насмотренность Перитонеальная жидкость от пациенты с метастатической аденокарциномой желудочно-пищеводного перехода. Доброкачественные мезотелиальные клетки — слева, карцинома — справа. #цитологияжидкостей #цитология #жкт

Тренируем цитологическую насмотренность

Перитонеальная жидкость от пациенты с метастатической аденокарциномой желудочно-пищеводного перехода.

Доброкачественные мезотелиальные клетки — слева, карцинома — справа.

#цитологияжидкостей #цитология #жкт