Добавить в корзинуПозвонить
Найти в Дзене
TV Губерния

Воронежские врачи спасли девушку после падения с лошади

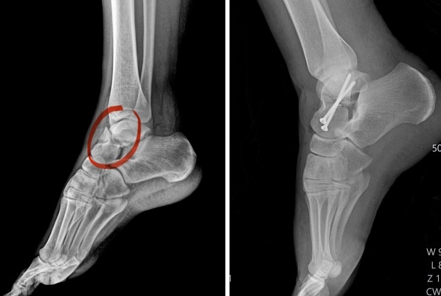
Воронежские врачи спасли 22-летнюю девушку с редким переломом, который она получила после падения с лошади. Как сообщили в облздраве, горожанка поступила в больницу в начале апреля. Медики выявили сложную травму - закрытый перелом левой таранной кости со смещением костных отломков. Специалисты решили провести операцию. Травматологи-ортопеды Олег Ипполитов и Евгений Козюбенко сопоставили отломки кости и зафиксировали их винтами под артроскопическим контролем. Это прибор, соединённый с камерой и осветителем, который вводят в полость сустава через небольшие проколы в теле. Преимущество такой операции - малоинвазивность и малотравматичность. Врачи смогли достичь полного анатомического сопоставления костных отломков. Пациентку выписали из стационара в удовлетворительном состоянии спустя четыре дня после операции. Александра ГАНИНА
    Фото: пресс-служба облздрава
Фото: пресс-служба облздрава

Воронежские врачи спасли 22-летнюю девушку с редким переломом, который она получила после падения с лошади. Как сообщили в облздраве, горожанка поступила в больницу в начале апреля.

Медики выявили сложную травму - закрытый перелом левой таранной кости со смещением костных отломков. Специалисты решили провести операцию. Травматологи-ортопеды Олег Ипполитов и Евгений Козюбенко сопоставили отломки кости и зафиксировали их винтами под артроскопическим контролем. Это прибор, соединённый с камерой и осветителем, который вводят в полость сустава через небольшие проколы в теле. Преимущество такой операции - малоинвазивность и малотравматичность. Врачи смогли достичь полного анатомического сопоставления костных отломков.

Пациентку выписали из стационара в удовлетворительном состоянии спустя четыре дня после операции.

Александра ГАНИНА