Добавить в корзинуПозвонить
Найти в Дзене

Восстановление передних временных зубов эстетическими коронками из диоксида циркония

Внешний вид зубов для современных пациентов, даже самых маленьких, не менее важен, чем их функциональность. Стоматологи предлагают установить коронки на молочные зубки неотличимые от натуральных зубов. В клиниках для детей и подростков Atribeaute для восстановления передних зубов в молочном прикусе мы используем самый современный и надежный на сегодняшний день метод — восстановление коронками из диоксида циркония. Это безметалловая конструкция, в составе которой — диоксид циркония, оксид иттрия и оксид алюминия. Показаниями к восстановлению коронками из диоксида циркония служат: В клинике есть набор стандартных коронок разных размеров, на приеме врач подбирает вариант под параметры зуба. Фиксация конструкции проводится в один визит на постоянный цемент, не требует снятия оттисков и отправления в лабораторию. Перед фиксацией коронки проводится лечение зуба по основному диагнозу (кариес/пульпит). К другим преимуществам восстановления зубов циркониевыми коронками по сравнению с реставраци

Внешний вид зубов для современных пациентов, даже самых маленьких, не менее важен, чем их функциональность. Стоматологи предлагают установить коронки на молочные зубки неотличимые от натуральных зубов.

В клиниках для детей и подростков Atribeaute для восстановления передних зубов в молочном прикусе мы используем самый современный и надежный на сегодняшний день метод — восстановление коронками из диоксида циркония. Это безметалловая конструкция, в составе которой — диоксид циркония, оксид иттрия и оксид алюминия.

Показания к применению

Показаниями к восстановлению коронками из диоксида циркония служат:

  • Кариес у детей младше 3 лет вне зависимости от объема разрушения.
  • Некариозные поражения (гипоплазия эмали).
  • Неудовлетворительная гигиена полости рта ребенка.
  • Ночные кормления.
  • Множественные поверхностные поражения.
  • Травма передних временных зубов.
  • Разрушения зубов около десны или ниже уровня десны на 1 мм.
  • Циркулярный кариес.
  • Рецидивы кариеса в анамнезе.

В клинике есть набор стандартных коронок разных размеров, на приеме врач подбирает вариант под параметры зуба. Фиксация конструкции проводится в один визит на постоянный цемент, не требует снятия оттисков и отправления в лабораторию. Перед фиксацией коронки проводится лечение зуба по основному диагнозу (кариес/пульпит).

К другим преимуществам восстановления зубов циркониевыми коронками по сравнению с реставрациями относятся:

  1. Герметично закрывают зуб, препятствуют образованию вторичного кариеса (один зуб — одно лечение).
  2. Коронки гладкие, на них меньше скапливается налет.
  3. Коронки эстетичные, белые со всех сторон, гипоаллергенные.
  4. Скорость установки коронки при обширных кариозных разрушениях выше, чем при восстановлении пломбировочным материалом.

Детские коронки из диоксида циркония не мешают проводить КТ, МРТ-исследования, с ними можно летать в самолете и проходить через рамку металлоискателя.

При смене зубов нет необходимости снимать отдельно коронку, она выпадает вместе с зубиком после рассасывания корней молочных зубов, так же как зуб без коронки.

Уход за коронкой не отличается от ухода за собственными зубами — очищение 2 раза в день, использование щетки, пасты, монопучковой щетки и зубной нити.

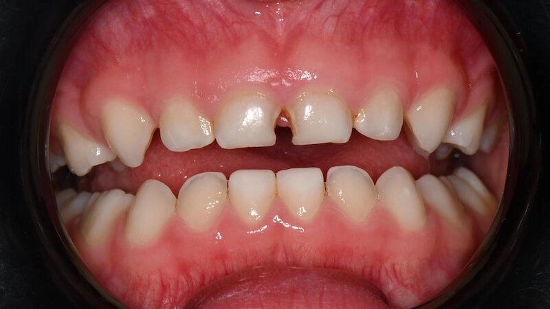
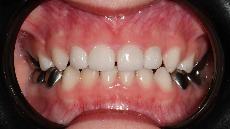
ПРИМЕРЫ:

КЕЙС 1

-2

КЕЙС 2

-3
-4

КЕЙС 3

-5
-6

КЕЙС 4

-7
-8

КЕЙС 5

-9
-10

КЕЙС 6

-11
-12

Так выглядят зубы, которые восстановили реставрациями/пломбами, спустя 2 года после лечения:

-13
-14

Так выглядят зубы, которые восстановили циркониевыми коронками, спустя 2 года после лечения:

-15