Найти в Дзене

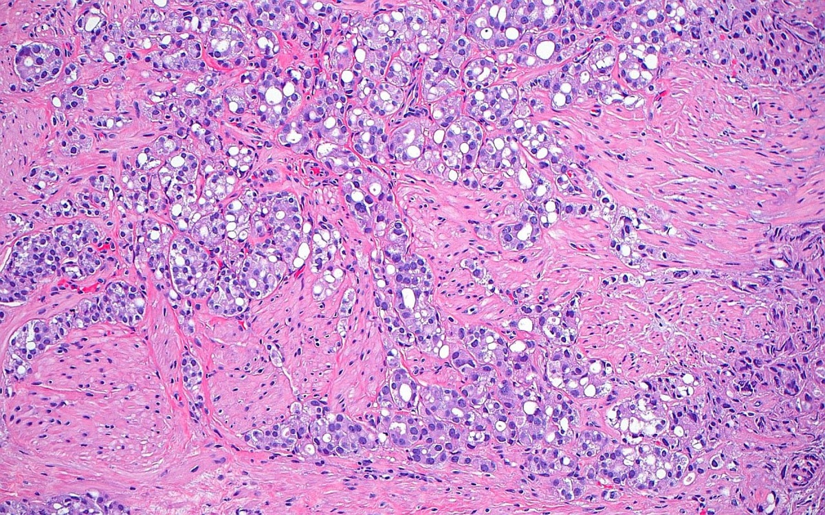
Рак предстательной железы, поражающий гладкомышечные пучки шейки мочевого пузыря

Рак предстательной железы, поражающий гладкомышечные пучки шейки мочевого пузыря. #гистология #мочевойпузырь #мочевыделительнаясистема #назаметку

Рак предстательной железы, поражающий гладкомышечные пучки шейки мочевого пузыря.

#гистология #мочевойпузырь #мочевыделительнаясистема #назаметку