Добавить в корзинуПозвонить
Найти в Дзене
Azamatus

Рак желудка. Часть № 2. #карцинома желудка

При РЖ различают две основные гистологические формы: 1. Аденокарцинома различной степени дифференцировки. 2. Недифференцированный перстневидноклеточный рак – наиболее злокачественная опухоль желудка. В зависимости от количества соединительной ткани в строме опухоли выделяют медуллярную и скиррозную аденокарциному. Рак “in situ” – это поражение слизистой оболочки желудка без инфильтрации базальной мембраны эпителия. Ранний рак желудка – понятие местное и означает поражение опухолью слизистого и подслизистого слоёв стенки желудка. Выделяют три макроскопические формы раннего рака желудка: 1. Выбухающая- опухоль, выступающая в просвет желудка в виде небольшого образования с неровной шероховатой поверхностью. 2. Плоская – опухоль в виде небольшого участка слизистой с неровной поверхностью и измененными складками. 3. Эрозивная-опухоль в виде поверхностного дефекта слизистой. Запущенный (распространённый) рак желудка – поражение мышечного слоя и серозного слоя желудка. Выделяют 4 формы запу
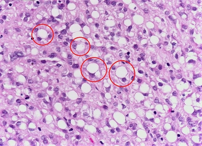
Микроскопическая картина перстневидно-клеточного рака желудка. Фото из открытых источников.
Микроскопическая картина перстневидно-клеточного рака желудка. Фото из открытых источников.

При РЖ различают две основные гистологические формы:

1. Аденокарцинома различной степени дифференцировки.

2. Недифференцированный перстневидноклеточный рак – наиболее злокачественная опухоль желудка.

В зависимости от количества соединительной ткани в строме опухоли выделяют медуллярную и скиррозную аденокарциному.

Рак “in situ” – это поражение слизистой оболочки желудка без инфильтрации базальной мембраны эпителия.

Ранний рак желудка – понятие местное и означает поражение опухолью слизистого и подслизистого слоёв стенки желудка.

Выделяют три макроскопические формы раннего рака желудка:

1. Выбухающая- опухоль, выступающая в просвет желудка в виде небольшого образования с неровной шероховатой поверхностью.

2. Плоская – опухоль в виде небольшого участка слизистой с неровной поверхностью и измененными складками.

3. Эрозивная-опухоль в виде поверхностного дефекта слизистой.

Запущенный (распространённый) рак желудка – поражение мышечного слоя и серозного слоя желудка.

Выделяют 4 формы запущенного рака желудка:

1. Полиповидная – выступающее в просвет образование, с неровной бугристой поверхностью, чаще широким основанием, чётко отграниченное от неизмененной слизистой (Borrman I).

2. Язвенная – опухоль желудка, имеющая вид глубокой язвы с неровным плоским дном, покрытым некротическим налётом и чётко выраженным кольцевидным валикообразным краем (Borrman II).

Первые две формы локализованные, т.к. имеют чёткую границу с нормальной слизистой.

3. Язвенно-инфильтративная – опухоль в виде плоской язвы с разрушенным краем, переходящая в инфильтрированную стенку желудка. Края язвы не выступают над слизистой. Граница между краем язвы и инфильтрированной слизистой отчётливо не прослеживается (Borrman III).

4. Диффузно-инфильтративная – опухоль инфильтрирующая стенку желудка на значительном протяжении, с её резким утолщением, ригидностью и множественными эрозиями ( Borrman IV)

Последние две формы запущенного рака желудка являются диссеминированными.