Добавить в корзинуПозвонить
Найти в Дзене

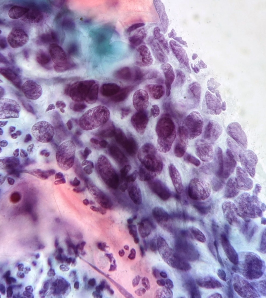
Традиционный цервикальный препарат, окрашенный по Папаниколау, от пациентки с HSIL

Традиционный цервикальный препарат, окрашенный по Папаниколау, от пациентки с HSIL. #назаметку #цитология #пап

Традиционный цервикальный препарат, окрашенный по Папаниколау, от пациентки с HSIL.

#назаметку #цитология #пап

-2
-3
-4